유사한 조직소견으로 인해 사르코이드증과의 감별이 어려웠던 비인두 결핵 1예
A Case of Nasopharyngeal Tuberculosis Which Was Difficult to Differentiate From Sarcoidosis
Article information
Trans Abstract
Nasopharyngeal mass is a disease that can cause unilateral or bilateral nasal obstruction. Common diseases that can cause nasal obstruction include antrochoanal polyp, adenoid remnants, juvenile nasopharyngeal angiofibroma, and nasopharyngeal carcinoma. Nasopharyngeal tuberculosis and nasopharyngeal sarcoidosis are two rare diseases that involve the nasopharynx and manifest as nasopharyngeal mass, and they share common histopathologic findings of granulomatous inflammation. We report a case where a patient complaining of nasal obstruction was found with nasopharyngeal mass with smooth surface, which was difficult to differentiate nasopharyngeal tuberculosis from nasopharyngeal sarcoidosis due to similar clinical manifestations and histopathologic findings.
서 론
비인두 종물은 양측 혹은 편측의 코막힘을 유발할 수 있는 원인들 중 하나로, 성인의 비인두 종물에서 감별해야 할 질환들로는 편평세포암이나 림프종 같은 악성종양, 진균감염, 결핵이나 사르코이드증 같은 육아종성 염증, 베게너 육아종 같은 자가면역 질환 등이 있다[1]. 결핵은 흔한 감염성 질환 중 하나로, 특히 우리나라에서 높은 발병률을 보이고 있지만 결핵균에 의한 상기도 감염은 약 1.8% 정도로 드문 편이며, 비인두 감염은 상기도 감염의 1% 미만으로 아주 드물다[2,3]. 사르코이드증은 만성적으로 다기관을 침범하는 원인 불명의 비건락성 육아종성 질환으로, 상기도 침범은 6% 정도로 드문 편이며 비인두를 침범하는 경우는 더욱 드물다[4].
저자들은 비인두 종물을 주소로 내원하여 시행한 조직검사상 비특이적인 육아종성 염증이 확인되었고, 이후 비인두 조직 배양검사상 결핵균이 확인되었으나 동반된 경부 종물의 조직검사에서는 사르코이드증이 의심되어 정확한 진단이 어려웠던 증례 1건을 보고하고자 하며, 이를 통해 비인두 종물로 발현될 수 있는 비교적 드문 질환인 비인두 결핵의 임상 양상과 비인두 사르코이드증과의 감별 등에 대해 고찰하고자 한다.
증 례
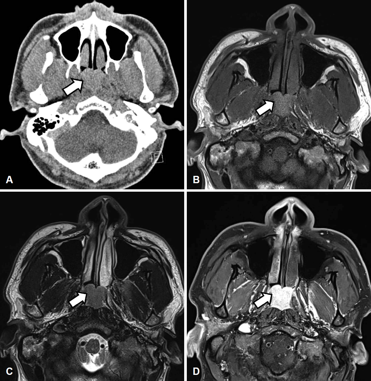
45세 남자 환자가 내원 20년 전부터 시작된 양측 코막힘 주소로 내원하였다. 콧물 및 후비루는 없었으나 코골이, 구호흡, 수면 무호흡증을 호소하였다. 시행한 코 내시경 검사상 우측으로 편위된 비중격 소견 및 양측 후비공을 완전히 막고 있는 부드러운 표면을 가진 비인두 종물이 확인되었다. 조영증강 전산화단층촬영 영상에서는 좌측 접형동의 부비동염과 함께 조영 증강되는 약 2.5 cm의 비인두 종물이 확인되었다. 이후 시행한 조영 증강 자기공명영상에서는 비인두 종물이 T1, T2 강조영상에서 모두 고강도 신호로 나타났으며, 조영증강 시 균질하게 조영 증강되어 양성 림프구 증식증, 림프종, 악성 종양 등이 의심되었다(Fig. 1). 이에 부비동 내시경 수술, 비중격 교정술 및 비인두 종물 절제 수술을 계획하였다. 수술장 소견상 매끈하고 둥근 모양의 비인두 종물이 확인되어 내시경적 절제술을 시행하였고 수술 시 종물을 겸자로 잡으면 잘 부서지고 출혈이 잘 되는 소견이 있어 piece meal로 제거하여 지혈하였다(Fig. 2). 수술 과정에서의 특별한 합병증이나 수술 후 후유증 없이 잘 회복되어 퇴원하였다.
Preoperative imaging study of the nasopharyngeal lesion. A: Contrast-enhanced CT image shows about 2.5 cm enhancing mass (arrow). B: MRI T1 weighted image shows well-defined hyperintensity mass (arrow). C: MRI T2 weighted image shows well-defined mass with high-signal intensity (arrow). D: MRI T1-enhanced image shows homogenous enhancing mass (arrow).
Endoscopic findings of the nasopharyngeal mass. A: Nasopharynx was filled with round and smooth mass. B: Mass was easily bled during the excision.
비인두 종물의 조직 검사에서 이영양성 석회화와 괴사를 동반한 육아종성 염증(granulomatous inflammation with dystrophic calcifications and necrosis) 소견이 관찰되었으며 항산균 도말검사, 결핵 중합효소 연쇄반응 검사(polymerase chain reaction for M. tuberculosis, TB-PCR)에서 음성소견을 보였다(Fig. 3). 비건락성(non-caseating) 괴사가 조직의 소수에서 관찰되며 대부분에서는 괴사없이 육아종이 덩어리로 잘 발달하여 분포하는 점, 항산균 도말검사에서 음성인 점에서 사르코이드증을 더 고려할 수 있으나 결핵도 단계에 따라 비건락성 육아종 소견을 보이므로 배제할 수 없다고 보고되었다.
Histopathologic findings of the nasopharyngeal mass (hematoxylin and eosin stain). A: Plump granulomas were seen at ×40 magnification. B: Necrosis inside granulomas was seen at ×100 magnification (arrow). C: Microcalcification (arrow) and multinucleated giant cell (arrowhead) were seen at ×400 magnification. D: Granuloma mainly composed of epithelioid histiocytes and lymphocytes, and partial necrosis (arrow) were seen at ×400 magnification.
수술 후 1달 째 환자의 경부 종물 크기가 증가하여 경부 전산화단층촬영을 시행하였고, 양측 경부 구역 1b, 2, 3과 좌측 경부 5b, 이하선 내측에서 비괴사성 저음영의 림프절병증이 확인되었다(Fig. 4). 임파선 절제 생검에서도 비인두 종물의 조직소견과 같은 비건락성 육아종으로 사르코이드증에 가까운 소견을 보였으나 수술 후 40일 째에 비인두 조직 배양검사에서 결핵균의 배양이 확인되어 항결핵제 이소니아지드(isoniazid), 에탐부톨(ethambutol), 리팜핀(rifampin), 피라진아미드(pyrazinamide) 복용을 시작하였다. 흉부 단순촬영상에서 폐결핵 소견은 보이지 않았고, 환자가 알고 있는 결핵 병력은 없었으나 QuantiFERON-TB 검사상 양성소견이었다. 이때 흉부 전산화단층촬영을 권유하였으나 환자가 거부하여 수술 후 6개월째에 시행한 결과, 폐 우상엽과 좌하엽에서 경계가 뚜렷하지 않은 불분명하고 비특이적인 미세결절성 침윤이 확인되었다(Fig. 5). 결핵과 사르코이드증이 정확히 감별되지 않았으나 호흡기내과와 협진으로 비인두 조직 배양검사상 결핵균이 확인되었기에 결핵에 의한 병변으로 판단하여 치료하는 것이 적절하다고 생각하였다.
Neck CT findings 1 month after the operation. Axial (A) and coronal (B) image of neck CT showed multiple non-necrotic hypoattenuated lymphadenopathy in left intraparotid (arrow), both level 1b, 2 (arrowhead: left level 2), 3, and left level 5b.
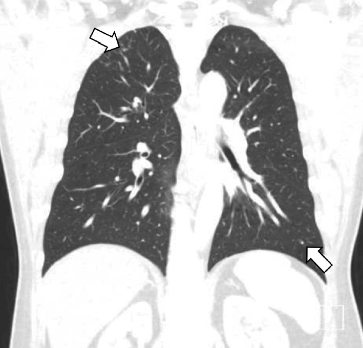
Chest CT scan findings. Equivocal ill-defined micronodular infiltration at right upper lobe apex and left lower lobe were found (arrows).
수술 후 6개월의 항결핵제 치료 종결 후, 7개월째 시행한 비내시경 검사와 부비동 전산화단층촬영에서 비인두 종물의 재발은 확인되지 않았으며 경부 종물도 호전되었다(Fig. 6).
고 찰
비인두의 종물을 보일 수 있는 흔한 양성 질환으로는 만성 비인두염(62%), 반응성 림프절 증식증(24%), 토른발트 낭종(Thornwaldt cyst) (1%) 등이 있고 림프종, 편평세포암종 등의 악성 질환도 약 11%를 차지한다. 그 외에도 드물지만 비인두 결핵, 사르코이드증, 탄지에르병(Tangier disease), 아밀로이드증(amyloidosis) 등 다양한 질환에 의해 나타날 수 있기 때문에 정확한 감별이 필요하다[5]. 감별 진단을 위해서는 내시경 검사와 함께 전산화단층촬영, 자기공명영상 등의 영상 검사들을 보조적으로 활용할 수 있으며, 만약 영상검사상 국소적으로 팽창한 종물없이 점막의 미만성 비후가 확인되는 경우는 종양성 병변보다는 염증성 반응의 가능성을 고려할 수 있을 것이다[4].
조직검사는 진단을 위한 중요한 검사 중 하나로, 이러한 염증성 반응을 일으킬 수 있는 비교적 드문 질환인 비인두 결핵과 비인두 사르코이드증의 경우, 조직검사상 공통적으로 육아종성 염증 소견을 보일 수 있다. 비인두 결핵에서는 조직검사상 전형적으로 랑한스거대세포(Langhans giant cell)와 이물거대세포(foreign body giant cell)를 동반한 건락성 육아종성 염증(caseating granulomatous inflammation) 소견을 확인할 수 있으며, 괴사를 동반하기도 한다[3]. 사르코이드증에서는 유상피세포(epithelioid cell)와 랑게르한스거대세포를 포함한 비건락성 육아종성 염증(non-caseating granulomatous inflammation)이 확인되며, 거대세포의 세포질내봉입체(intracytoplasmic inclusion)에는 샤우만소체(Schaumann bodies)와 성상소체(asteroid bodies)들이 있다[6]. 본 증례의 조직검사 경우 육아종성 염증이 주를 이루고 비건락성 괴사가 부분적으로 융합되어 나타나며, 거대세포 및 샤우만 소체 등이 확인되어 사르코이드증을 의심할 수 있었으나 결핵에서도 단계에 따라 비괴사성 육아종이 나타날 수 있고, 샤우만 소체가 사르코이드증에서만 보이는 것이 아니며 랑게르한스거대세포와 이물 소견도 있었기 때문에 두 질환을 병리적으로 감별하기는 어려웠다.
조직검사를 통해 많은 경우에서 정확한 진단을 내릴 수 있지만, 본 증례와 같이 명확한 구분이 어려운 경우에는 적절한 임상적 고려가 필요하다. 폐외결핵은 전체 결핵의 15%를 차지하며, 경부 림프절, 후두, 인두 등 두경부 영역을 침범하는 경우는 약 10%까지 보고되고 있다[7]. 비인두 결핵의 경우 코막힘과 코피, 후비루 같은 코 증상들, 이충만감이나 중이염 등을 일으키며 내시경 소견에서는 정상 소견부터 불규칙한 점막이나 궤양성 병변, 종창이나 튀어나온 종물, 백색 반 등의 소견을 확인할 수 있다[8,9]. 질병의 단계에 따라 증식기에는 비인두 벽의 팽윤처럼 보일 수도 있고 박탈기에서는 불규칙한 점막, 궤양을 동반한 점막 비후와 같은 악성 종괴의 소견을 보이기도 한다[10,11]. 반면 사르코이드증은 어느 기관이나 침범할 수 있지만 주로 폐나 흉강 내 림프절, 피부, 눈 등으로 침범하는 경우가 많으며, 경부 림프절에도 발병할 수 있다. 비인두를 침범하는 경우는 드물지만 침범 시 비인두 종양, 비인두 협착을 일으킬 수 있다[4,12]. 비인두 사르코이드증은 내시경 소견상 적황색의 비교적 경계가 명확한 분엽성(lobulated) 침윤을 보일 수 있다[13].
비인두 결핵은 전산화단층촬영 혹은 자기공명영상에서 용종형 종물(polypoid mass), 비인두 점막의 미만성 비후, 비인두 병변 안쪽에만 국한된 괴사 등의 소견을 보이며, 비인두를 넘어선 주변조직이나 전척추근(prevertebral muscle), 비강, 구인두와 같은 주변 기관들로의 침범은 드문 편이다[10,11]. 사르코이드증 역시 영상검사상 유사하게 주변 구조물을 침범하지 않는 비인두 점막의 미만성 비후나 연조직 종물 소견을 확인할 수 있다[4].
이외에도 비인두 결핵의 확진법으로 조직 배양 검사를 통해 결핵균의 배양을 확인하는 방법이 있으나 이는 4-6주의 기간이 소요된다는 단점이 있으며, 약 11.2%의 오차(위양성과 위음성)를 보일 수 있다[14]. 항산균 도말검사나 TB-PCR을 통해서도 진단할 수 있으나 결핵 TB-PCR은 약 6.7% 정도의 위음성률을 보인다[3,15].
결핵과 사르코이드증은 모두 비인두를 침범하여 코막힘을 유발할 수 있으며, 내시경 소견상 유사한 모양의 비인두 종물로 나타날 수 있다. 또한 두 질환 모두 폐와 경부 림프절을 흔하게 침범한다는 점에서 많은 유사증상들을 보일 수 있으며 앞서 소개한 바와 같이 조직검사에서도 비슷한 소견을 보일 수 있다. 미열, 권태감, 체중감소와 같은 비특이적 전신 증상도 두 질환 모두에서 나타날 수 있다[3,6]. 본 증례는 비인두 종물에서의 조직검사 및 경부 종물의 조직검사상 비인두 결핵과 사르코이드증이 명확히 감별되지 않았고, 항산균 도말검사 및 TB-PCR에서도 음성이 확인되어 초기에 정확한 진단이 어려웠던 증례였다. 이후 결핵 조직 배양검사상 결핵균이 배양되었고 환자는 항결핵제 복약 이후 비인두, 경부 림프절 병변이 호전된 양상을 보였기 때문에 최종적으로 비인두 결핵으로 확진할 수 있었다.
비인두 종물로 나타나는 질환들 중 비인두 결핵은 드문 편이지만 임상양상 및 검사소견이 비특이적일 수 있고 감별이 필요한 다른 질환과는 치료방향 설정에 큰 차이가 있기 때문에 면밀한 병력청취와 검사가 중요할 것이다. 특히 사르코이드증과는 공통적인 침범기관으로 인한 유사증상 등을 가지며 조직검사에서도 비슷한 소견을 보일 수 있기 때문에 감별에 각별한 주의가 필요할 것으로 생각되어 보고하는 바이다.
Acknowledgements
None
Notes
Author Contribution
Conceptualization: Dong Hyuk Jang, Ji Sun Kim, Ho Chan Kim. Formal analysis: Ji Sun Kim, Ho Chan Kim. Investigation: Dong Hyuk Jang. Resources: Dong Hyuk Jang. Supervision: Ji Sun Kim, Ho Chan Kim. Writing—original draft: Dong Hyuk Jang. Writing—review & editing: Ji Sun Kim, Ho Chan Kim, Young Ok Hong.
