비중격 돌기 절제술 시행 이후 발생한 빈코증후군 1예
A Case of Empty Nose Syndrome Developed After Septal Spur Removal
Article information
Trans Abstract
Empty nose syndrome (ENS) is a rare complication of turbinate surgery, in which patients suffer from symptoms such as paradoxical nasal obstruction, nasal dryness, facial pain and feeling excessive nasal openness. Its occurrence is generally attributed to excessive turbinate reductive procedures. However, theoretically, any procedure which can cause increased nasal airflow and decreased nasal resistance may have a risk of causing ENS. We recently experienced a case of ENS developed after septal spur removal without turbinate reduction, which has not previously been reported in the literature. Here we present the case history of this unusual occurrence.
서 론
빈코증후군(empty nose syndrome)은 비강 내 수술 이후 드물게 발생하는 질환으로, 수술 후 비강 내 용적과 비강 기류가 과도하게 증가하고 이에 따른 이차적인 비점막 위축이 발생하여 생기는 것으로 알려져 있으며, 빈코증후군 환자들은 위축성 비염과 유사하게 주로 점막의 건조감, 비폐색, 안면통, 과도한 작열감 등을 호소한다[1,2]. 빈코증후군은 주로 비갑개의 전절제 후에 발생하는 것으로 알려져 있으나 비갑개의 점막하 절제술, 점막하 소작술, 냉동요법 등의 부분적 비갑개 시술 이후에도 발생할 수 있다[3]. 빈코증후군이 비중격 수술 후에도 발생하였다는 보고가 있으나 이는 주로 동반하여 시행된 하비갑개의 과도한 절제로 인해 발생했던 것으로 여겨졌으며[4], 실제로 수술 후 하비갑개 용적이 작을수록 비강 내 건조감과 안면 통증 등의 증상이 유의미하게 증가한다는 것이 밝혀진 바 있다[5].
그러나 비중격 수술 시 하비갑개의 용적을 감소시키기 위한 조작을 시행하지 않았는데도 빈코증후군 증상이 발생한 경우에 대해서는 현재까지 보고된 바가 없었다. 본 증례 보고에서 저자들은 비갑개의 용적 축소 혹은 소작 없이 비중격 수술만을 시행한 후 발생한 빈코증후군 증례에 대해 문헌 고찰과 함께 보고하고자 한다.
증 례
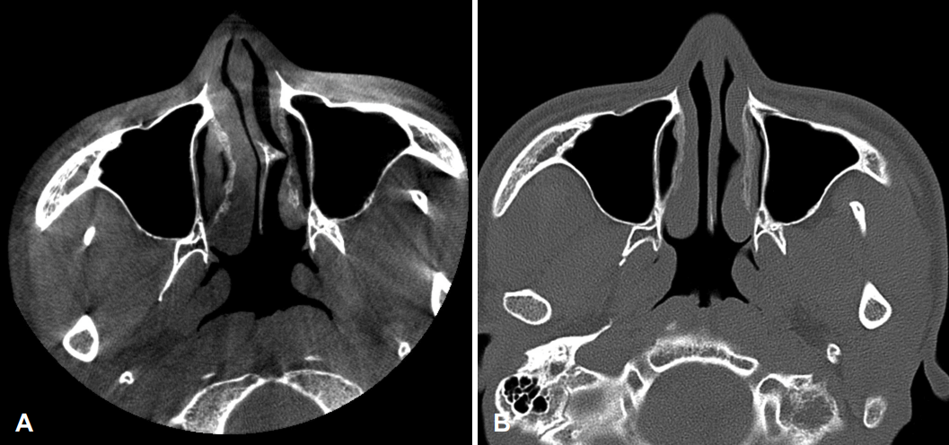
특이 병력이 없는 24세 남자 환자가 1년 전부터 발생한 우측 비폐색 및 간헐적인 수양성 비루, 후비루를 주소로 내원하였다. 비내시경 소견상 좌측으로 편향된 비중격 만곡 및 돌출된 비중격 돌기(septal spur)가 관찰되었고 좌측 하비갑개는 돌출된 비중격 돌기로 인해 함몰되어 있었다(Fig. 1). 타원에서 촬영했던 cone beam CT상에서도 좌측으로 편향된 비중격 및 좌측으로 돌출된 비중격 돌기를 확인할 수 있었으며 부비동염은 관찰되지 않았다(Fig. 2A). 피부 단자 검사는 음성 소견으로 확인되었고, 음향 비강 통기도검사상 좌측 비강이 하강하는 W 모양으로 우측에 비해 좁아져 있는 소견이 확인되었다(Fig. 3A). 상기 소견을 종합해보았을 때 좌측으로 편향된 비중격 만곡증 및 우측의 보상성 하비갑개 비대로 인한 비폐색으로 진단하였으며, 이에 대해 비중격 수술을 계획하였다.
Endoscopic finding of nasal cavity before septoplasty showing septal deviation and spur toward the left nasal cavity with dimpled left inferior turbinate.
CT image of the patient. A: CT finding before septoplasty showed left septal deviation with dimpled inferior turbinate. B: Postoperative CT demonstrated showed straightened septum with persisting dimple on the left inferior turbinate.
Acoustic rhinometry before and after septoplasty. A: Acoustic rhinometry before septoplasty. B: Acoustic rhinometry after septoplasty. First MCA of left side did not change, but cross-sectional area posterior to 1st MCA site increased. MCA, minimal cross-sectional area.
수술은 전신마취로 이루어졌으며 비중격 및 우측 하비갑개에 1:200000 에피네프린 및 리도카인 혼합 용액을 국소 주사하였다. 좌측 비중격 돌기에서 1-2 mm 전방의 비중격 점막에 절개를 가한 뒤 freer elevator로 주변부 점막을 국소적으로 박리하였다. 그 후 비내시경시야 하에 노출된 비중격 돌기뼈 및 그 주변의 비중격 연골 일부를 제거하였다. 제거 후에는 절개된 점막을 덮은 뒤 silastic sheet를 삽입하였다. 양측 하비갑개의 조직은 제거하거나 소작하지 않았으며, 우측 하비갑개 외향 절골술만을 시행하였다. 수술 다음날 특별한 합병증 없이 퇴원하였다.
환자는 수술 후 12일째 내원 시 수술 전에 있던 코막힘이 호전되어 편안하게 지낸다고 하였다. 내시경 소견상 수술 전부터 있던 좌측 하비갑개의 함몰은 여전히 있었으나 비중격 만곡은 해소되어 곧게 유지되고 있었고(Fig. 4A), 특별한 합병증 없어 이후 경과 관찰 없이 지내기로 하였다.
Endoscopic view of left nasal cavity. A : Endoscopic examination of left nasal cavity at postoperative day 12 of septoplasty. B: Endoscopic examination of left nasal cavity after inferior turbinate medialization.
그러나 환자는 수술 후 3개월째부터 좌측 코의 건조감, 좌측 코를 통해 목으로 공기가 지나치게 많이 들어오는 코 안의 개방감, 호흡과 연관된 목 통증 및 목의 건조감이 발생하여 외래에 다시 내원하였다. 환자는 코막힘과 코의 답답함은 호소하지 않았으나 상기 증상으로 인해 일상생활 시 큰 불편을 느끼고 있었으며, 수면을 유지하지 못하고 계속 깨는 등 삶의 질이 크게 떨어졌다고 지속적으로 호소하였다. 이러한 증상은 좌측 하비갑개 하단에 cotton ball을 삽입 후 20분가량 기다렸을 때 호전되는 것을 관찰할 수 있었다. 내시경 소견상 비중격은 마지막 경과 관찰 당시와 마찬가지로 곧게 유지되고 있었고 하비갑개의 크기 또한 육안상으로 뚜렷한 변화는 관찰되지 않았다. 이에 빈코증후군 의증 하 RectogesicⓇ ointment (glyceryl trinitrate 0.2%; Ilchung Dental, Seoul, Korea)를 비강 내에 도포하도록 하여 비갑개 점막의 충혈에 의한 확장 및 증상 호전을 유도하였고, 외래 내원시마다 지속적으로 환자를 안심시키는 등 최대한 정서적 지지를 할 수 있도록 노력하였다.
해당 약제를 약 1개월 반 사용한 뒤 재평가를 시행하였으나 환자는 여전히 호흡과 연관된 목의 건조감 및 통증을 심하게 호소하였다. CT 검사를 새로 시행한 결과 좌측 비중격 돌기가 제거되어 비중격의 좌측 편향은 호전되어 있었으나 하비갑개의 용적과 위치에는 뚜렷한 차이점이 관찰되지 않았다(Fig. 2B). 음향 비강 통기도검사상 점막 수축 미시행 시 좌측에 하강하는 W 모양의 비밸브 협착이 여전히 확인되었으나 수술 전 콧구멍으로부터 2.8 cm 떨어진 위치에 존재하였던 2nd minimal cross-sectional area (MCA)부터는 수술 전에 비해 비강 내 용적 확장이 이루어진 것이 관찰되었다(Fig. 3B).
수술 후 코의 개방감과 건조감이 발생하였고 cotton test 양성 소견이 확인되었으므로 빈코증후군으로 진단하였으며, 비강 내 기류 저항을 증가시키기 위해 양측 하비갑개 내향 절골술을 계획하여 시행하였다.
하비갑개 내향 절골술 시행 후 10일 뒤 비강 내 소견상 하비갑개는 수술 전에 비해 안쪽으로 편위된 상태로 유지되었고(Fig. 4B), 숨 쉴 때 코에 느껴지는 불편한 개방감은 다소 호전되었으나 호흡 시 발생하는 목 통증은 호전되지 않았다. 수술 후 41일 째에 외래에 내원하였을 때는 우측 코의 저항감이 새롭게 발생하였고 좌측 코의 개방감 또한 재발하여 그로 인한 심한 불편감을 호소하였다. Empty Nose Syndrome 6-Item Questionnaire (ENS6Q)를 시행하였으며 코가 휑하게 뚫려있는 느낌이 4점으로 심하게 느껴진다고 호소하였으나 좌측 하비갑개 아래를 cotton으로 막고 20분 뒤 증상을 비교했을 때는 이러한 개방감이 2점으로 호전되었다. 이에 대한 치료적 시도로 일시적인 하비갑개 용적 증가 및 하비갑개 점막의 회복 촉진을 위해 외래에서 환자의 정맥혈을 채혈하여 좌측 하비갑개에 주입하였다. 전주 정맥(antecubital vein)에서 약 4 cc 정도의 정맥혈을 채취하고 하비갑개 부분에 1:200000 epinephrine - lidocaine pledget으로 표면마취를 시행한 뒤, 채취한 혈액을 하비갑개 전후방에 21G 주사침을 이용하여 천천히 주입하였다. 환자가 느끼는 감각 개선을 위해 LyricaⓇ cap (pregabalin; Viatris Korea, Seoul, Korea) 75 mg 경구약을 처방하여 하루 1회 복용하도록 하였으며 점막 팽창을 위한 RectogesicⓇ ointment를 다시 처방하여 좌측 비강 내에 도포하도록 하였다. 이러한 처치에도 불구하고 개방감과 호흡 연관 목 통증 증상은 유지되었으나 솜으로 좌측 비강을 막으면 일상생활이 가능하여 우선 외래에서 경과 관찰 시행하기로 하였으며, 추후 환자 희망시 좌측 비중격 보강 수술을 시행할 예정이다.
고 찰
빈코증후군을 진단할 수 있는 객관적인 진단 기준이나 검사가 아직 확립되어 있지 않기 때문에 진단은 주로 주관적인 증상과 병력에 의존하여 이루어진다. 비과 수술력 확인 및 비내시경, 전산화단층촬영 등의 검사가 필요하며, 진단 및 수술 후 예후 평가를 위해 cotton test를 시행해볼 수 있다[6]. 또한 최근 연구 결과에 의하면 ENS6Q 설문이 빈코증후군의 진단에 도움이 되는 것으로 알려진 바 있다[2]. 기존에 알려진 진단 기준에 따르면 비강 내 공간이 열려 있음에도 환자들이 역설적인 코막힘이나 코의 불편감을 호소할 때, 해당 환자가 하비갑개 용적 축소 수술을 시행받은 병력이 있고, cotton test가 양성이며, 하비갑개 재건 수술의 대상자에 해당한다면 그 환자가 호소하는 임상 증상은 빈코증후군으로 정의되었다[3]. 본 환자의 경우 하비갑개 용적 축소를 시행 받지는 않았으나, 비강 내 공간이 열려 있음에도 불구하고 코의 불편감을 호소하며 cotton test 양성 소견이 확인되었다. 또한 제거된 비중격 돌기로 인해 넓어진 공간을 다시 되돌리기 위한 수술이 고려되는 환자이므로 임상적으로 빈코증후군으로 진단하였다.
빈코증후군의 치료로는 연고 및 비강 세척 등의 보존적 치료를 우선 시도해볼 수 있으나, 보존적 치료로 증상 호전이 없을 때에는 수술적 치료를 시행하며 하비갑개 아래의 비강 측벽에 hydroxyapatite 주입, 무세포 진피 동종 이식, 자가 연골 이식 등을 시행할 수 있다[3,7,8].
일반적으로 빈코증후군의 원인으로는 여러가지 기전들이 제시되고 있으며, 대부분은 하비갑개 용적의 감소와 정상 점막의 제거에 초점이 맞춰져 있었다. 구체적으로는 하비갑개 점막이 제거되고 표면적이 감소하면 온도수용체 기능 이상이 발생하여 공기 흐름을 감지하지 못하고, 온도 및 습도 조절도 제대로 이루어지지 않아 빈코증후군 증상이 발생한다는 설이 유력하게 받아들여진다. Sozansky와 Houser [9]에 의하면 비강 내부로 공기가 흐르면서 열전도 및 비강 내 수분 증발이 일어나 온도수용체인 TRPM8 수용체가 활성화되고, 그 신호가 호흡중추로 전달되어 기류의 흐름을 감지한다. 따라서 비갑개의 과도한 절제를 시행하면 비강 내 통로의 전체 표면적이 감소하고 와류가 형성되지 않아 코막힘, 숨막힘 등의 증상을 느낄 수 있다. Naftali 등[10]은 비강 모형을 이용한 연구를 시행한 바 있는데, 하비갑개를 절제한 그룹에서 비교적 다량의 흡기 기류가 비강을 통해 들어가면서 동시에 온도 및 습도 조절은 상대적으로 비효율적으로 이루어지는 것을 관찰하여 보고한 바 있다. 이러한 비강 구조 변화는 호기시 공기 중에 포함된 수분의 재흡수를 어렵게 하며 코의 건조감과 가피 형성을 유발할 수 있다.
그러나 본 증례에서는 하비갑개의 용적 축소가 이루어지지 않았으며, 하비갑개 전단에 위치한 내비밸브의 단면적 변화 또한 없었다. 비강 통기도 검사상 내비밸브를 의미하는 첫 번째 MCA는 수술 전 콧구멍에서 1.56 cm 거리에 위치하였으며 면적은 0.46 cm2였고, 수술 후에 콧구멍으로부터 1.43 cm 거리에 0.43 cm2의 면적으로 측정되어 수술 전과 큰 차이를 보이지 않았다. 두 번째 MCA는 수술 전에는 콧구멍에서 2.77 cm 거리, 면적 0.66 cm2로 측정되었으나 수술 후에는 콧구멍에서 4.32 cm 거리, 면적은 1.24 cm2로 측정되었는데, 수술 전에 비중격의 돌기로 인해 형성되었던 두 번째 MCA가 수술 후 콧구멍으로부터 약 4 cm 거리에 위치하는 일반적인 두번째 MCA인 중비갑개의 전단부위로 바뀌었음을 시사한다. 즉, 본 증례에서 해부학적 구조 변화는 비갑개가 아닌 비중격의 교정에 의해 주로 발생하였음을 알 수 있다.
따라서 상기 기전에서 기술한 하비갑개의 점막 절제 및 비밸브에서의 기류 증가만으로는 본 증례에서의 비강 내 구조 변화 만으로 발생한 ‘비강의 지나친 개방감’, ‘호흡과 연관된 목 통증’ 등의 증상을 호소하는 경우를 설명하기 어렵다.
이와 관련하여 흡기 시 비강 내에서 공기가 흐르는 위치와 관련하여 빈코증후군의 기전과 비내 개방감, 호흡 연관 목 통증 등의 증상을 설명하려는 시도가 이루어져왔다. Scheithauer [11]은 일찍이 비강 내에서 공기가 흐르는 양상에 대한 시뮬레이션을 시행한 바 있는데, 정상인에서 비강 내 기류는 비갑개 부근에서 속도가 저하되고 와류를 형성하는 반면 빈코증후군 환자의 비강 내 기류 흐름은 비강 상부 3분의 2 부위를 통하여 느린 층류를 형성하며 흘러가는 양상을 확인하여 보고하였다. 해당 저자는 이러한 공기 흐름 변화로 인해 흡기 기류와 점막의 상호작용이 저해될 수 있다고 보았다. 뿐만 아니라 빈코증후군 환자의 시뮬레이션 시행 결과 후비공 부근에서 빠른 기류가 발생하는 것을 확인하였고, 이러한 현상이 인두 점막의 건조감을 설명할 수 있다고 기술하였다[11]. Li 등[12]의 연구에서도 유사한 연구가 이루어진 바 있는데, 일반인에서 흡기 기류가 하비도 및 중비도 전반에 걸쳐 비교적 균일하게 와류를 형성하며 흐르는 경향을 보인 반면, 빈코증후군 환자들의 경우 하비갑개 하방으로는 오히려 기류의 속도가 감소하고 하비갑개 상방으로 흐르는 기류가 층류를 이루며 빠른 흐름을 형성하는 것을 관찰하였다. 공기가 콧구멍으로 진입할 때 상방을 향하여 진입한 뒤 비강 내에서 90도로 꺾이며 중비도로 진입하므로, 기류를 방해하는 장해물이 없어진다면 이러한 현상이 나타날 수 있다고 해당 저자는 저술하였다. 동시에 비강 내벽의 최대 전단응력(peak wall shear stress)이 감소하는 경향을 관찰하였는데, ‘코의 지나친 개방감’ 증상이 중비갑개 부근에서의 최대 전단 응력 감소와 유의미한 연관성을 보이는 것을 확인하였다고 보고하였다. 즉 비강으로 들어간 공기가 중비갑개 부근에서 층류를 이루며 저항없이 중비도를 빠르게 통과하고, 결과적으로 공기와 점막 사이의 상호작용이 감소하여 코의 개방감이 유발되었을 가능성이 있다는 것이다. 이러한 연구 결과들은 수술로 인해 하비갑개의 용적이 감소하거나 비밸브 면적이 증가하지 않더라도 본 증례와 같이 중비도 부근의 비강 내 구조가 크게 변한다면 기류의 흐름이 변화하여 빈코증후군의 증상이 유발될 수 있다는 것을 시사한다. 다만 빈코증후군의 발현은 다양한 요인들이 복합적으로 작용하여 이루어지며, 본 환자에서만 적용되는 개별적 요인을 모두 알기 어렵기 때문에 추가적인 증례 보고 및 연구가 본 가설을 뒷받침하는 데 필요하겠다.
본 증례에서 저자들은 비강세척이나 안연고 도포 이외에 다양한 보존적 치료를 시도하였다. Nitroglycerin ointment는 혈관 확장을 유도하는 국소용 제재로, 일반적으로 항문 열창의 치료 및 증상 완화 등에 사용하는 약제이다. 기관 삽관 시 비강 내에 도포하여 혈압 상승을 억제시키는 등의 용도도 연구된 바 있으며, 점막 확장으로 인해 코막힘을 유발한다는 보고가 있어[13] 빈코증후군 환자에 적용을 시도하고 있으나 그 효과에 관한 증거는 아직 부족하다. 또한 자가 혈액 주입술을 시행하였는데, 외측상과염(lateral epicondylitis)에서 자가 혈액 주입술이 증상 호전과 인대 회복에 유의미한 도움이 된다는 연구 결과가 있어[14] 빈코증후군에서도 이러한 치료를 시도 중이다. 복부 지방에서 채취한 자가 기질 혈관 분획 주입이 비강 점막의 염증성 사이토카인 농도를 저하시킨다는 연구 결과가 있었으나 빈코증후군에서의 실제 치료 효과에 대해서는 추가적인 연구가 필요하다[15]. 본 환자에서는 보존적 치료에 뚜렷한 개선이 없어 하비갑개 내향 절골술을 시행하여 비강 내 저항을 증가시키고 기류 흐름을 변화시키고자 하였으나 뚜렷한 호전이 없었다. 하비갑개 절제술 후 발생한 빈코증후군에서 이식 수술을 이용한 치료 후 증상 개선 효과가 다수 보고된 바 있으므로[3,7,8], 이를 참고하여 본 증례에서도 추후 비중격 점막하 동종 진피 혹은 자가 연골 이식수술을 시도해 볼 수 있을 것이다.
본 논문의 한계점으로는 수술 전 CT 해상도 저하로 CT measurement를 이용한 해부학적 평가를 시행하지 못하였다는 점이 있다. 추후 이와 관련된 추가적인 보고가 있다면 빈코증후군의 기전을 밝히는 데 도움이 될 것이다.
결론적으로, 하비갑개 용적 축소 수술을 시행하지 않고 비중격 수술만을 시행하더라도 빈코증후군 증상이 발생할 수 있다는 것을 저자들은 본 증례에서 확인하였다. 비중격 수술 등 비강 내 구조를 변화시키는 수술을 시행할 때 이러한 증상이 발생할 수 있다는 사실을 염두에 두고 수술 전 환자에게 그 가능성에 대하여 인지시키고 수술을 시행할 필요가 있겠다.
Acknowledgements
None
Notes
Author Contribution
Conceptualization: Yong Ju Jang. Data curation: Chol Ho Shin. Supervision: Yong Ju Jang. Writing—original draft: Chol Ho Shin. Writing—review & editing: Yong Ju Jang.
