접형동에서 발생한 역형성 림프종 키나제 음성 역형성대세포림프종 1예
A Case of Anaplastic Lymphoma Kinase Negative Anaplastic Large Cell Lymphoma of Sphenoid Sinus
Article information
Trans Abstract
Anaplastic large cell lymphoma (ALCL) is a rare subtype of peripheral T cell lymphoma, which is clinically, pathologically, and genetically heterogeneous. The disease is characterized by large CD30 positive anaplastic cells that usually have horseshoe or kidney-shaped nuclei and infiltrate lymph nodes. Given the rarity of ALCL and its non-specific symptoms, it is challenging to consider a differential diagnosis at first; however, meticulous tissue biopsy and immunohistochemical staining can diagnose it. Recently, we encountered a patient who complained of facial pain, trismus and numb of lip for three months and was diagnosed with anaplastic lymphoma kinase negative ALCL of the sphenoid sinus. Here we report this rare case with review literature.
서 론
역형성대세포림프종(anaplastic large cell lymphoma)은 비호지킨 림프종 중 말초 T세포 림프종의 아형으로, chimeric fusion protein인 nucleophomsin (NPM) 및 역형성 림프종 키나제(anaplastic lymphoma kinase, ALK) 단백질 발현 유무에 따라 추가로 구분할 수 있다[1]. ALK 단백질은 인슐린 수용체 superfamily의 막 수용체 티로신 키나제이며 중추 및 말초 신경계의 신호 전달 체계에 관여한다. 역형성대세포림프종은 주로 아시아인에게서 발생하며, 특히 소아 및 청소년에서 호발하는 것으로 알려져 있다[2-4]. 역형성대세포림프종은 림프절을 침범하는 것을 특징으로 하며, World Health Organization classification에 의하여 원발성 피부질환 또는 전신질환으로 분류되기도 한다[5,6].
비부비동에서 발생한 ALK 음성 역형성대세포림프종의 경우 매우 드물어 국내에서는 보고된 바가 없다. 역형성대세포림프종이 비부비동에 발생한 경우는 세계적으로 8예가 보고되어 있으며, 그중 2예만이 ALK 음성으로 확인되었다. 해당 원발부위는 각각 사골동 및 비강이었으며, 접형동이 원발부위인 경우는 보고된 바가 없다[2,7]. 이에 저자들은 접형동에서 발생한 ALK 음성 역형성대세포림프종 1예를 성공적으로 치료하였기에 이를 보고하는 바이다.
증 례
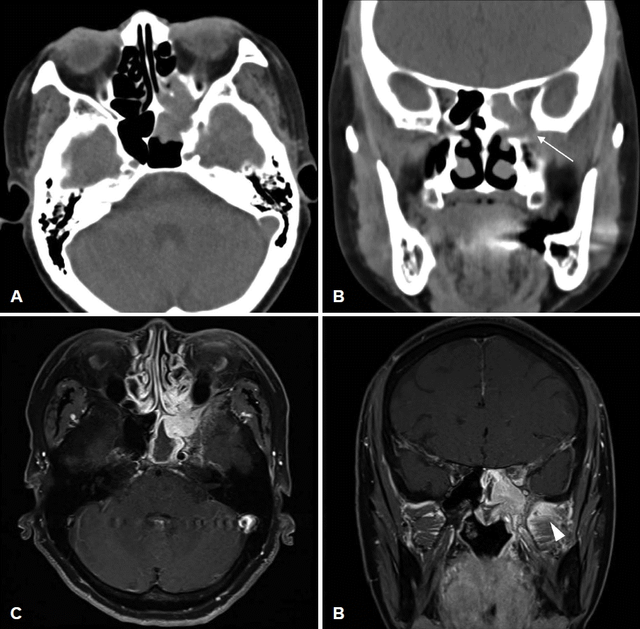
68세 여자 환자가 내원 3개월 전부터 시작된 좌측 안면부 통증 및 개구장애, 입술 감각 저하를 주소로 본원 신경과에 내원하였으며, 자기공명촬영에서 접형동의 종물 소견이 보여 이비인후과로 의뢰되었다. 과거력에서 고혈압, 고지혈증, 2형 당뇨, 불면증으로 경구 약제를 복용 중인 것 외에는 특이소견은 없었으며, 발열, 야간 발한은 호소하지 않았으나 최근 5개월간 63 kg에서 57 kg으로 6 kg의 체중 감소를 호소하였다. 비내시경검사에서 특이소견은 관찰되지 않았으며, 안과에서 시행한 시력검사, 시야검사, 안구운동검사에서 특이소견은 관찰되지 않았다. 부비동 컴퓨터 전산화단층촬영에서 좌측 접형동 및 후사골동의 연조직 음영이 관찰되었고 접형동 전외측벽의 골미란 및 골결손 소견이 보였다. 자기공명영상에서는 좌측 접형동 내에 T1, T2 강조영상에서 저신호를 보이고 gadolinium으로 균질하게 조영증가 되는 종양이 관찰되었다(Fig. 1).
A: Preoperative axial CT scan of the paranasal sinus shows soft tissue density opacity in the left sphenoid sinus and posterior ethmoid sinus. B: Coronal view shows bony erosion (arrow) of the anterolateral wall of the sphenoid sinus. C: Preoperative gadoliniumenhanced axial MRI shows a well-enhancing homogenous mass in the left sphenoid sinus. D: Coronal view shows increased enhancement at left masticator space (arrowhead), indicating tumor infiltration.
환자의 증상 및 영상소견을 종합하여 접형동을 침범한 악성종양을 의심하여 치료계획을 수립하기 위해 수술적 조직검사를 계획하였다. 영상학적 검사상 종괴가 시신경의 해부학적 주행과 인접하게 위치하여, 전신마취하에 수술을 시행하였으며, 부비동내시경 수술을 통해 좌측 후사골동 및 비강내 접형동 개방술을 시행하였다. 후사골동 및 접형동 내에는 점액농성의 분비물이 존재하였으며, 접형동 전외측 골결손 부위를 확인하였고 접형동 내벽에 존재하는 노란색과 회색을 띠는 부드러운 괴사성 조직을 확인하여 조직검사를 의뢰하였다(Fig. 2). 괴사성 조직은 대부분 제거하였으나 접형동 전외측 골결손 부위로 파급되어 있어 최종 조직병리검사 결과 확인 후 치료방침을 결정하기로 하였다. 수술 후 Merocel(Medtronic Inc., Minneapolis, MN, USA)을 이용하여 비강 패킹을 시행하였으며, 패킹은 수술 후 2일째에 제거하였고 환자는 수술 후 3일째에 특이 합병증 없이 퇴원하였다.
Intraoperative endoscopic findings. Intranasal sphenoidotomy and posterior ethmoidectomy were done, and sinuses were explored. Between yellow and gray-colored necrotic tissue (star) was exposed, and a biopsy was done.
조직병리검사에서 두드러진 핵을 가진 다형성의 큰 종양성 세포가 관찰되었고, T세포 표지자인 CD3, CD45R0을 사용한 면역조직화학 염색에서 국소적 양성을 보였다. 추가적으로 시행한 면역조직화학 염색에서 CD30에 강한 양성을 보였으며 CD20, CD56, cytokeratin, ALK, smooth muscle actin, myoglobin, S100, HMB45에는 음성을 보여 결과를 종합하여 ALK 음성 역형성대세포림프종으로 최종 진단되었다(Fig. 3). 혈액학적 검사상 lactate dehydrogenase는 216 IU/L (106-211 IU/L)였으며 전신 전이 유무 평가 및 병기 결정을 위해 시행한 복부 및 흉부 전산화단층촬영에서 특이소견은 없었고, 양측 골반뼈에서 시행한 골수검사에서 림프종 침윤소견은 없었다. 염색체 검사에서도 특이소견은 없었으나 양전자단층촬영에서 좌측 경부 및 후인두림프절의 전이가 의심되는 소견이 있었다(Fig. 4).
Histopathologic features of ALK-negative anaplastic large cell lymphoma. A: The neoplastic cells are large, pleomorphic, and contain prominent nucleoli (hematoxylin and eosin staining, ×200). B: Tumor cells are strongly positive for CD30 with membranous or golgi pattern (immunohistochemical staining, ×200). C-E: Tumor cells are negative for CD20 (C), CD3 (D), and ALK (E) (immunohistochemical staining, ×200). ALK, anaplastic lymphoma kinase.
Post-operative PET-CT of the patient. A and B: Post-operative PET-CT shows FDG uptake in the left retropharyngeal lymph node (A), and neck lymph node (B). C: Post-operative PET-CT suggests there is no distant metastasis with FDG uptake. FDG, fluorodeoxyglucose.
좌측 접형동에서 발생하여 경부 림프절을 침범한 Ann Arbor Stage IIE의 ALK 음성 역형성대세포림프종으로 최종 진단 후 6차례의 복합항암요법(cyclophosphamide, doxorubicin, vincristine, prednisone, CHOP)을 실시하였다. 치료 시작 후 3개월째 시행한 양전자단층촬영에서 접형동 및 경부 림프절의 종괴는 더 이상 관찰되지 않았으며, 최초 진단 후 13개월째 시행한 비내시경 소견상 수술부위의 재발 소견은 없었다(Fig. 5). 현재 최초 진단 후 16개월째 완전 관해 상태로 재발소견 없이 외래 추적 관찰 중이다.
고 찰
악성 림프종이 비부비동을 침범한 경우 초기증상은 비특이적이며, 증상이 있는 경우 비폐색, 비루, 후비루, 비출혈, 안면 부종 등의 다양한 증상이 나타날 수 있으며, 이러한 비특이적 증상으로 인해 조기에 진단하는 것이 힘들어 치료가 늦어지거나 다른 조직으로 침습되기도 한다[8,9]. 현재까지 보고된 ALK 음성 역형성대세포림프종의 경우 주증상으로 비강내 종물, 안구주위 부종을 호소하였으며, 이는 원발 부위가 각각 비강, 사골동이었던 점을 고려하면 특이적인 증상이라기 보다는 원발 부위에 따른 증상이라고 할 수 있겠다[2,7]. 본 환자는 안면통, 입술 감각저하, 개구장애를 호소하였으며 이는 종양이 접형동에 위치하여 삼차신경마비 및 삼차신경통을 야기하고 저작근 공간 및 내측 익상근을 침습하여 발생한 것으로 생각되며, 완전 관해 후 해당 증상은 모두 호전되었다.
역형성대세포림프종의 경우 일반적으로 복합항암요법 및 방사선 치료에 반응을 보이기 때문에, 수술의 역할은 종양의 완전 절제보다는 조직검사 결과를 얻는 데에 그친다[3]. 감별 진단으로는 저분화 편평상피암종, 선낭암종, 선암종, 부비동 미분화암 등의 상피성 악성종양, 악성림프종, 형질세포종, 흑색종 등의 비상피성 악성종양 등이 있으며, 비강 용종, 반전성 유두종, 침습성 진균성 부비동염, 베게너 육아종증과 같은 양성질환도 포함된다[2,4].
조직병리학적으로 말발굽 모양의 핵과 풍부한 세포질을 가진 크고 다양한 림프세포가 관찰되며, 면역조직화학 염색에서 CD30에 양성을 보이며 일반적으로 T세포 혹은 계통 특이적인 항원을 발현한다[10]. 역형성대세포림프종의 약 60% 정도에서는 ALK 단백질 과발현을 보이며 이를 ALK 양성, 과발현이 보이지 않을 때 ALK 음성이라 하며, 소아와 청소년에서는 더욱 높은 양성 비율을 보인다(>90%) [7]. ALK 양성 역형성대세포림프종의 70%-80%에서 전형적인 염색체 이상인 t(2;5)(p23;q35)를 보이는데, 2번 염색체에 위치한 ALK 유전자와 5번 염색체에 위치한 NPM 유전자가 융합하여 NPM-ALK 융합 단백질을 코딩하게 되며 이는 tyrosine kinase 활성을 가진다. NPM-ALK 융합 유전자는 기본적으로 oncogene으로 작용하는 것으로 알려져 있다[6]. 아직 ALK 음성 역형성대세포림프종에서는 전형적인 염색체 이상이 규명되지 않은 상태이며, 병인을 파악하기 위하여 분자유전학적 접근을 시도하고 있다[11]. 2007년 Lamant 등[12]은 ALK 양성과 ALK 음성 역형성대세포림프종이 다른 유전자 내 발현 프로파일을 가지는 것을 밝혀 이 두 질환이 서로 다른 질환군임을 확인하였다.
임상 양상에서도 ALK 음성 역형성대세포림프종은 ALK 양성 역형성대세포림프종과 다른 것으로 알려져 있다. ALK 음성 역형성대세포림프종은 50-70세의 고령 환자에서 주로 보고되며 B증상을 동반한 진행된 병기로 진단되는 경우가 더 빈번하다. 흔히 림프절 외 침범을 보이며, 골수 침범은 약 30%에서 관찰된다[13].
비강 및 부비동에 발생한 악성 림프종의 예후는 5년 생존율이 52% 정도로, 생존율과 연관되는 가장 중요한 예후인자는 임상적 병기, 조직학적 분화도와 환자의 연령이다[14]. 일반적으로 역형성대세포림프종의 5년 생존율은 각각 ALK 양성의 경우 약 70%, ALK 음성의 경우 약 49%로 ALK 음성인 경우가 예후가 좋지 않은 것으로 알려져 있다[6].
부비동에 발생한 역형성대세포림프종의 경우 매우 드물어 확립된 치료법은 없으나, 일반적인 역형성대세포림프종의 치료는 CHOP 또는 cyclophosphamide, doxorubicin, vincristine, prednisone, etoposide을 사용한 복합항암요법을 3-6회 시행하며 stage I, II의 제한된 병기에서는 복합항암요법 시행 후 방사선 치료를 시행하여 완전 관해율을 82.6%까지 향상시킬 수 있다는 연구가 있으나, 본 환자는 6회의 복합항암요법 시행 후 완전 관해를 달성하여 추가적인 방사선 치료는 시행하지 않았다[1,15].
현재까지 보고된 부비동에 발생한 ALK 음성 역형성대세포림프종 2예의 경우 각각 발생 부위가 비강 및 사골동으로 보고되어 있으며, 비강에 발생한 경우는 cyclophosphamide, vincristine, prednisone을 사용한 복합항암요법을 1회, cyclophosphamide, etoposide, vincristine, prednisone을 3회 시행 후 involved-field radiotherapy (IFRT)를 4주간 시행하였다[7]. 사골동에 발생한 경우는 CHOP을 사용한 복합항암요법을 시행후 IFRT를 시행하였다[2]. 두 증례 모두 복합항암요법 시행 후 방사선 치료를 시행하여 완전 관해를 달성하였으나 본 증례에서는 복합항암요법 시행 후 완전 관해를 달성하여 추가적인 처치는 시행하지 않았다. 완전 관해를 달성하였으나 향후 재발의 가능성이 있어 지속적으로 추적 관찰을 시행 중이다. 비부비동에서 ALK 음성 역형성대세포림프종이 매우 드물게 발생하므로 비부비동의 악성 종양이 의심되는 경우 이를 감별진단에 고려하여야 하며, 앞으로 추가적인 증례 발표와 연구가 이어져야 할 것으로 생각된다.
Acknowledgements
None
Notes
Author Contribution
Conceptualization: Chan Hyeon Park, Seong Kook Park. Resources: Ha Young Park. Supervision: Seong Kook Park, Ha Young Park. Writing—original draft: Chan Hyeon Park, Eung Rok Yeon. Writing—review & editing: Chan Hyeon Park, Eung Rok Yeon, Seong Kook Park.
