무후각증 환자에서 흡수성 비강 충전물을 이용한 직접적인 Triamcinolone 적용의 단기 효능과 안정성
Short-Term Efficacy and Safety of the Direct Triamcinolone Application Using Absorbable Nasal Packing in Anosmic Patients
Article information
Trans Abstract
Background and Objectives
The most common treatment for olfactory dysfunction is the use of glucocorticoids. However, using systemic glucocorticoids is limited due to systemic side effects, and topical glucocorticoids are less effective than systemic glucocorticoids. The aim of this study is to evaluate short-term therapeutic effects of direct triamcinolone (TA) application using absorbable nasal packing material on anosmia patients.
Subjects and Method
This was a retrospective study that evaluated patients who were diagnosed with anosmia and treated with oral prednisolone (PD) pulse therapy or 2 times of a 20 mg dose of TA impregnated absorbable nasal packing in both olfactory clefts. Information of the demographic features, the self-reporting olfaction scores (visual analogue scale [VAS], 0-10), and the threshold, discrimination, identification (TDI) scores of Korean version of the Sniffin’ stick test II were collected and analyzed.
Results
The data of 72 patients were analyzed in this study: 30 patients were treated with TA nasal packing, and 42 patients with oral PD. In both group, VAS and TDI scores were significantly improved 2 weeks after treatment. The rate of significant olfactory improvement of TA nasal packing group was higher than oral PD group (60.0% vs. 47.6%), but there was no statistically significant difference (p=0.300). There was no significant systemic adverse effect after TA nasal packing treatments.
Conclusion
Direct TA application using absorbable nasal packing is a possible treatment option in anosmic patients.
서 론
후각은 위험을 감지하는 수단일 뿐 아니라 대인 관계에 영향을 주고, 식음료의 풍미를 느끼게 하는 등 삶의 질을 유지하는데 중요한 역할을 담당하고 있다[1]. 전체 인구의 5%에서 무후각증이 나타나고[2], 연령이 증가함에 따라 후각장애의 유병률도 증가하는 경향을 보이며[3], 파킨슨병이나 알츠하이머 치매와 같은 신경퇴행성 질환과의 연관성을 보이는 경우도 보고되고 있어[4], 최근 노령 인구 비율이 증가하고 있는 우리 나라에서도 후각장애에 대한 관심이 크게 증가하고 있다.
후각장애의 원인은 크게 두부 혹은 뇌, 후각 상피에 외상을 입은 경우, 바이러스에 의한 상기도 감염 후 발생한 경우, 만성 비부비동염이나 비용종과 같은 비부비동 질환이 동반된 경우가 있으며, 그 외에 신경퇴행성 질환이나 뇌종양 등에 연관되어 나타나는 경우나 원인 미상인 경우도 있다[5]. 일반적으로 비부비동 질환에 의한 후각장애에서 수술적 치료가 효과적인 치료로 인정받고 있는 것 이외에, 다른 원인들에 의한 후각장애에 대해서는 효과적이라고 폭넓게 인정받고 있는 치료법이 아직까지 매우 제한적인 상황이다[6].
현재 후각장애 환자에서 가장 보편적으로 시도되고 있는 치료는 부신 피질 호르몬 투여로, 특히 비부비동 질환에 의한 후각장애에서 항염증 작용을 통해 좋은 효과를 보이고, 바이러스성 상기도 감염 후 발생한 후각장애와 외상성 후각장애에서도 일부 효과를 보인다[6]. 부신 피질 호르몬은 경구 투여할 경우, 전신적인 부작용의 위험성이 있으므로 용량과 기간, 기저질환 유무에 주의해야 하는 제한점이 있다[7]. 국소적으로 투여할 경우 전신 부작용의 위험성을 줄일 수 있으나, 비강의 상부에 위치하고 있는 후각 상피까지 복잡한 비강 내부 구조를 지나 약물을 도달시켜야 하고, 비강의 점액 섬모 청소능에 반하여 치료 효과를 기대할 수 있는 적절한 농도의 약물이 흡수될 수 있도록 해야 하는 문제가 있다[8]. 하지만 최근 비부비동 질환에서 흡수성 비강 충전물을 통해 부신 피질 호르몬을 비강 내 원하는 위치에 전달하는 방법이 사용되고 있다[9].
이에 저자들은 부신 피질 호르몬이 후각 상피에 보다 장기간 직접 전달될 수 있도록 흡수성 비강 충전물을 사용한 경우와 기존의 경구 부신 피질 호르몬 투여한 경우의 치료 효과를 비교하여, 무후각증에 대해서 흡수성 비강 충전물을 통한 국소 triamcinolone (TA) 투여의 치료 효과와 안전성을 확인하고자 하였다.
대상 및 방법
2016년 3월부터 2020년 2월까지 계명대학교 동산병원 이비인후과에 내원한 환자 중 무후각증이 진단된 환자를 대상으로 후향적 의무기록 분석을 시행하였다. 해당 기간 본원에서 시행된 한국형 후각 인지 역치 검사(Korean version of the Sniffin’ stick test II, KVSS II) 결과 중 threshold, discrimination, identification (TDI) 총점이 15점 이하였던 환자들의 의무기록을 확인하였다. 의무기록상 내원 환자 병력 청취 중 후각 저하를 호소하였는지 확인하였고, 냄새를 전혀 인지하지 못하는 상태를 0, 가장 민감하게 인지하는 상태를 10으로 표시한 visual analogue scale (VAS)을 사용하여 환자 스스로 후각 저하를 인지하기 전 평소 본인 후각이 어느 정도였는지, 그리고 현재 저하된 정도는 어느 정도인지 표시하도록 하였을 때, 주관적으로 평소 후각에 비해 30% 이상의 저하가 확인된 경우를 무후각증 환자로 분류하였다. 전체 무후각증 환자 중 수술이나 항생제, 항히스타민제 등의 경구 약물, 비강 스테로이드 스프레이 등의 다른 치료가 먼저 시행되지 않고, 무후각증에 대한 첫 치료로 경구 prednisolone (PD) pulse therapy로 치료받았거나, 또는 흡수성 비강 충전물(Cutanplast Standard; Mascia Brunelli, Milano, Italy)을 이용한 TA 국소 요법으로 치료받았던 환자를 대상으로 분석하였다. 본 연구는 본원 의학연구윤리심의위원회(IRB No. 2022-11-060)의 심의 및 승인하에 시행되었다.
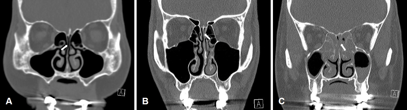
대상 환자의 의무 기록에서 증상 발생 기간, 흡연 여부, 비부비동 질환이나 상기도 감염의 과거력, 증상 발현 전 두부 외상 혹은 뇌수술 여부, 고혈압, 당뇨병, 소화성 궤양 등 기저 질환 여부를 확인하였으며, 신체 검진상 비내시경 소견을 확인하여 비염이나 비용종과 같은 비부비동 질환 유무를 확인하였다. 이전에 무후각증으로 치료를 받았던 경우, 6개월 이내에 스테로이드 치료를 받은 병력이 확인된 경우, 악성종양이나 심근경색과 같은 중증 전신 질환이 확인된 경우 대상에서 제외하였다. 두부 외상이나 뇌수술 병력이 확인된 경우, 알츠하이머병과 같이 후각 중추에 영향을 미칠 수 있는 신경 퇴행성 질환이나 뇌졸중, 뇌출혈 등 신경계 기저질환이 확인된 경우는 중추성 후각장애 가능성을 배제하기 위해 대상에서 제외하였다. 병력에서 확인되지 않은 두개 내 혹은 후구(olfactory bulb) 자체의 외상성 손상이나 종양, 뇌연화증 등 중추 신경계 질환으로 인한 중추성 후각장애 여부와 비부비동 질환 여부를 확인하기 위해 부비강 전산화단층촬영 결과를 검토하였고, 비부비동 상태는 Lund-Mackay 점수로 평가하였다. 후열의 개존 상태는 부비강 전산화단층촬영 관상면에서 양측을 각각 평가하였을 때 후열이 완전히 열려있는 상태를 0점, 부분적인 폐쇄가 관찰되는 경우를 1점, 완전히 폐쇄된 경우를 2점으로 하여 총 0-4점으로 평가하였다(Fig. 1). 부비강 전산화단층촬영에서 종양 혹은 외상이 확인되거나 중추성 후각장애로 판단되는 환자는 대상에서 제외하였다.
Patency of olfactory cleft in coronal scan of paranasal sinus CT. A: Well opened right olfactory cleft (patency of olfactory cleft=0). B: Partially obstructed left olfactory cleft (patency of olfactory cleft=1). C: Totally obstructed left olfactory cleft (patency of olfactory cleft=2). White arrow: olfactory cleft.
연구 대상에 포함된 무후각증 환자의 치료 기록을 검토하여 경구 PD pulse therapy로 치료받았는지, 또는 흡수성 비강 충전물 TA 국소 요법으로 치료받았는지에 따라 경구 PD 요법 군과 TA 국소 요법 군으로 분류하였다. 본원에서 무후각증 환자에게 시행되었던 경구 PD 요법은 환자들에게 처음 7일간 1 mg/kg의 PD을 경구 투여한 후, 하루 2/3씩 감량하며 4일에 걸쳐 서서히 중단하는 방법이었고, 치료 반응은 약물 중단 2주일 경과 이후에 시행된 VAS를 이용한 자가 보고 후각 점수와 KVSS II 검사상 TDI 점수를 조사하여 평가하였다. TA 국소 요법은 비내시경을 보고 환자의 양측 후열 부위에 1:100000 epinephrine 용액이 점적된 비강용 거즈를 각각 30초간 삽입하여 점막을 수축시켜 공간을 확보한 후, 흡수성 비강 충전물을 납작하게 압박하여 1-2 mm 두께로 만들어 2×1 cm 크기로 2장 잘라서 TA 40 mg/mL 1 vial (1 mL)을 모두 흡수시키고, 양측 후열을 통해 각각의 충전물이 비강의 후상부에 위치하도록 삽입하는 방법으로 총 2차례 시행하였고, 첫 번째 TA 국소 요법 시행 1주일 후 두 번째 TA 국소 요법이 시행되었다. 치료 반응은 두 번째 TA 국소 요법 시행 3주일 경과 이후에 시행된 자가 보고 후각 점수와 KVSS II 검사상 TDI 점수를 조사하여 평가하였다. 본원에서 TA 국소 요법을 시행 받는 환자들은 TA에 의한 전신적 부작용 가능성에 대한 추적 관찰이 필요하므로[9] 오전 식전 공복 상태에서 혈청 cortisol, ACTH, glucose 수치를 측정하며, 본 연구에서는 각각의 국소 요법 시행일과 치료 반응 평가를 위한 외래 방문일 등 총 3차례의 결과를 조사하였다. 경구 PD 요법과 TA 국소 요법 모두 치료 도중 중단하였거나 치료 전후 검사 자료가 없는 경우는 분석에서 제외하였다.
각 측정 결과에 대한 통계처리는 SAS (version 9.4; SAS Institute, Cary, NC, USA) 프로그램을 이용하였으며, Shapiro-Wilk 검정으로 각 측정값의 정규 분포 여부를 확인하였다. 각 군의 스테로이드 치료 전후 자가보고 증상 점수와 KVSS II 검사상 TDI 점수 변화는 정규 분포를 따르는 결과치는 대응표본 T 검정(paired T-test)을, 따르지 않는 결과치는 윌콕슨 부호 순위 검정(Wilcoxon signed rank test)을 통하여 분석하였고, 기존의 경구 PD 투여 군과 TA 국소 요법군 간의 측정 결과 변화량 비교는 정규 분포를 따르는 결과치는 독립표본 T 검정(Student’s T-test)을, 따르지 않는 결과치는 윌콕슨 순위 합계 검정(Wilcoxon rank sum test)을 통하여 분석하였다. 치료 후 TDI 점수가 호전되는 정도에 영향을 미치는 인자들을 알아보기 위해 다중 선형 회귀분석을 시행하였고, 분산 팽창 지수(variance inflation factor)>10이면 다중 공선성이 발생한 것으로 간주하였다. 모두 p값이 0.05 미만인 경우를 유의한 것으로 간주하였다.
결 과
인구사회학적 특성
전체 대상 환자는 총 72명으로 TA 국소 요법을 시행받은 환자는 30명, 경구 PD 요법을 시행받은 환자는 42명이었다. 전체 대상 환자의 나이는 평균 52.8±13.2세이고, TA 국소 요법 군 54.1±9.3세, 경구 PD 요법 군 51.4±10.0세로 통계적으로 유의한 차이는 없었다(p=0.372). 전체의 성별은 남자 34명, 여자 38명이었고, 두 군 간에 유의한 성별 분포 차이는 없었다(p=0.576). 그 외에 처음 증상 발현 후 경과된 기간, 흡연자의 비율도 두 군 간의 유의한 차이는 없었다(p=0.316, 0.931). 동반된 비부비동 질환은 경구 PD 요법 군에서 알레르기 비염 19예, 만성 비부비동염 16예, 비용종 5예로 한 가지 이상의 비부비동 질환이 동반된 경우는 총 32예(76.2%)였고, TA 국소 요법 군에서는 알레르기 비염 13예, 만성 비부비동염 11예, 비용종 3예로 한 가지 이상의 비부비동 질환이 동반된 경우는 총 22예(73.3%)로 두 군 간의 유의한 차이는 없었다(p=0.783). 부비강 전산화단층촬영으로 평가한 치료 전 Lund-Mackay 점수는 경구 PD 요법 군이 평균 7.3±4.2점, TA 국소 요법 군이 평균 6.8±3.5점이었고, 후열 개존 정도는 경구 PD 요법 군이 평균 1.8±1.2점, TA 국소 요법 군이 평균 1.8±1.3점으로 모두 두 군 간의 유의한 차이는 없었다(p= 0.352, 0.807). 경구 PD 요법 군에서 과거력상 확인된 전신 질환은 고혈압 3예, 고지혈증 2예, 총 5예였고, TA 국소 용법 군에서는 당뇨병 20예, 소화성 궤양 4예, 총 24예로 단기간의 전신적 부신 피질 호르몬 사용 시에도 부작용 위험이 높은 전신 질환의 비율은 TA 국소 요법 군에서 유의하게 높았다 (p<0.001) (Table 1).
자가 보고 후각 점수의 변화
TA 국소 요법 군의 증상 발생 전 자가 보고한 후각의 평균 VAS는 8.1±1.1이고 경구 PD 투여 군은 7.9±1.5으로, 증상이 발생하기 전 평소 주관적인 후각 점수는 두 군 간의 유의미한 차이가 없었다(p=0.519). 후각 저하 발생 후 치료를 시작하기 전 TA 국소 요법 군의 자가 보고 후각 평균 VAS는 0.9±0.9였고 치료 종료 후 평균 VAS는 6.8±2.7으로 치료 후 유의하게 회복되었다(p<0.001). 치료 전 경구 PD 투여 군의 자가 보고 후각 평균 VAS는 0.8±0.5였고 치료 종료 후 평균 VAS는 6.1±3.0으로 유의하게 회복되었다(p<0.001). 치료 시행 후 자가 보고 후각 점수의 회복된 정도 (치료 후 VAS치료 전 VAS)는 두 군 간의 유의한 차이가 없었다(p=0.393) (Fig. 2).
KVSS II 검사의 TDI 점수 변화
치료 전 TA 국소 요법 군의 KVSS II 검사상 TDI 점수는 평균 12.9±1.6점, 경구 PD 투여 군은 평균 13.2±1.2점으로 두 군 간에 유의한 차이는 없었다(p=0.363). TA 국소 요법군과 경구 PD 투여 군 모두 치료 후 TDI 점수가 평균 18.7±5.4점과 17.8±5.0점으로 유의하게 호전되었으며(p<0.001, 0.001), 치료 시행 후 TDI 점수가 호전된 정도(치료 후 TDI 점수-치료 전 TDI 점수)는 두 군 간의 차이가 없었다(p=0.354). 치료 후 임상적으로 유의미한 TDI 점수 호전(치료 후 TDI 점수-치료 전 TDI 점수≥6)10)을 보인 경우는 TA 국소 요법 군에서 18명(60.0%), 경구 PD 투여 군에서 20명(47.6%)으로 두 군 간의 유의한 차이는 없었다(p=0.300) (Fig. 3).
The changes of TDI score of Korean version of the Sniffin’ stick test II after treatment. TDI, threshold, discrimination, identification; PD, prednisolone; TA, Triamcinolone.
치료 후 TDI 점수가 호전되는 정도에 영향을 미치는 인자들과 부비동 전산화단층에서 확인되는 염증의 정도, 후열 개존 상태가 미치는 영향을 알아보기 위해 다중 선형 회귀분석을 시행한 결과, 동반된 비부비강 질환이 있는 경우, 증상 발현 후 치료 시작까지 경과 기간이 짧을수록, 그리고 치료 시작 전 부비강 전산화단층촬영상에서 후열의 폐쇄가 심할수록, 치료 후 TDI 점수의 회복 정도가 높았다(p=0.017, 0.011, 0.025/adjusted R2=0.416) (Table 2).
TA 국소 요법과 경구 PD 요법의 부작용
TA 국소 요법 군에서 TA 국소 요법시행 전 측정된 혈청 cortisol 수치는 평균 12.0±3.6 μg/dL였고, 혈청 ACTH 수치는 평균 33.8±14.3 pg/mL였다. 두 번째 TA 국소 요법 시행 전 측정된 평균 혈청 cortisol 수치와 ACTH 수치는 13.2±3.9 μg/dL와 28.3±13.8 pg/mL였고, 치료 종료 후 자가 보고 후각 점수 및 KVSS II 추적검사 확인일에 측정된 평균 혈청 cortisol 수치와 ACTH 수치는 12.8±3.7 μg/dL와 32.6±15.0 pg/mL였으며, 모두 오전 혈청 cortisol 수치의 정상 범위인 6-23 μg/dL와 오전 혈청 ACTH 수치의 정상 범위인 9-52 pg/mL 이내를 보였다. TA 국소 요법 군 중에서 기저 질환으로 당뇨병이 있었던 19명에서 치료 전 혈청 glucose 수치는 평균 129.3±9.5 mg/dL였고, 두 번째 TA 국소 요법 시행 전에는 평균 124.7±8.3 mg/dL, 치료 종료 후 자가 보고 후각 점수 및 KVSS II 추적검사 확인일에는 평균 126.1±8.6 mg/dL를 보였고, 모든 환자에서 치료 시작 전과 비교하여 임상적으로 유의미하게 아침 식전 공복 혈당 수치가 증가한 경우는 없었다.
경구 PD 투여 군에서 치료 기간 중 18명(42.9%)은 상복부 불편감을 호소하였고 3명(7.1%)은 사지 부종감을 호소하였으나 치료 종료 후 모두 추가적인 처치 없이 호전되었다. TA 국소 요법 군에서 9명(30.0%)은 흡수성 비강 충전물을 후열에 삽입할 때 통증의 수치 평가 척도(0점 무통증, 10점 최대 통증) 5점 이상의 중등도 통증을 호소하였고, 이 중 3명(10%)은 처치 후 1일째까지 두통이 지속되어 진통제를 복용하였으나 치료 종료 후까지 지속되는 경우는 없었다. 또한 처치 후 3-4일간 간헐적인 비폐색을 호소한 경우가 2명(6.7%), 처치 후 3일간 간헐적인 비루를 호소한 경우가 1명(3.3%) 있었으나 모두 추가적인 처치 없이 저절로 호전되었다.
고 찰
후각은 삶의 질에 중요한 요소로, 지속적인 후각장애를 호소하는 환자 중 상당수가 삶의 질 저하로 인한 우울감을 동반하게 되므로[5] 후각장애는 반드시 적절한 치료가 필요한 질환이다. 그러나 청각이나 시각에 비해 후각에 대한 연구는 그동안 덜 발전된 편이고, 후각장애의 치료에 대한 연구 역시 뚜렷한 성과를 보이지 못하였다[11]. 아직까지 후각 장애에 대한 유효한 치료는 후각장애를 일으킨 원인에 대한 치료가 가능할 때 비로소 이루어지는데, 대표적으로 비부비동 질환에 의한 후각장애에서 내시경 부비동 수술을 시행하거나 부신 피질 호르몬 제재를 사용하는 것이다. 비부비동 질환 이외의 원인에 의한 후각장애에서 후각 수용체 뉴런의 재생성을 기대하며 caroverine, alpha-lipoic acid, theophylline, Zinc 등의 다양한 약물 치료가 시도되고 있으나 아직까지 잘 설계된 대규모의 임상 시험에서 치료 효과가 증명된 경우는 없는 상태이다. 최근 Hummel 등[12]이 제안한 후각 재활 훈련이 후각장애 치료에 있어서 괄목할 만한 연구 성과로 주목받고 있으나, 아직까지 명확한 작용 기전에 대해서는 연구 중인 상태이다.
현재 후각장애의 치료로 가장 보편적으로 적용되는 것은 부신 피질 호르몬 제재인데, 전신적으로 부신 피질 호르몬 제재를 사용하면 비부비동 질환에 의한 전도성 후각장애뿐 아니라 바이러스성 상기도 감염 후 또는 특발성 후각장애에서도 치료 효과를 얻을 수 있다. 이는 부신 피질 호르몬 제재 투여 시 항염증 작용에 의해 점막 종창 등 후열 주변의 폐쇄성 병변이 호전되면서 전도성 후각장애가 이차적으로 개선되는 것 이외에도[13] 당질 코르티코이드 수용체를 통해 후각 상피 점액의 분비가 조절되고[14], 후각 상피의 Na-K-ATPase를 조절하여 후각 상피 점액과 후각 수용체 뉴런 주변의 이온 농도가 조절되기 때문이다[15]. 국소적으로 사용하는 부신 피질 호르몬 제재의 경우 주로 비강 분무제나 점비액 형태로 사용하며, 전신적으로 사용할 때에 비해 시상하부-뇌하수체-부신 축의 내분비계 교란에 의한 전신 부작용 위험성을 감소시킬 수 있지만, 후각장애 치료에 있어서 전신적으로 사용하는 경우에 비해 치료 효과는 떨어지는 것으로 알려져 있다. 대표적으로 비강 스테로이드 스프레이의 경우, Blomqvist 등[16]이 시행한 이중 맹검 무작위 위약 대조군 임상시험에서 초기 10일간 전신적으로 부신 피질 호르몬 제재와 비강 스테로이드 스프레이를 단독 사용한 후, 6개월간 비강 스테로이드 스프레이와 위약을 사용한 결과를 비교하였을 때 추가적인 이득은 없는 것으로 나타났다.
국소적 부신 피질 호르몬 제재 사용의 치료 효과가 떨어지는 가장 큰 이유는 후열이 비갑개에 가려져 있는 구조로 인해 후각 상피까지 도달할 수 있는 약물의 양이 매우 제한적 이어서 충분한 효과를 거두기 부족하고[8], 그나마 도달한 약물도 점막에 흡수되기 전에 비강의 점액 섬모 청소 기전에 의해 소실될 수 있으며[17], 염증에 의한 변화가 후각 상피 주변에만 국한되지 않고 사상판(cribriform plate)이나 후구(olfactory bulb)에서도 나타날 수 있기 때문이다[7]. 이를 극복하여 국소적으로 투여된 약물이 후각 상피에 보다 잘 분포될 수 있도록 하기 위해 다양한 방법들이 제시되고 있다. 대표적으로 head-down forward position이나 ‘Kaiteki’ position처럼 신체 체위를 바꿔 국소 약제가 후열 쪽에 보다 잘 분포할 수 있게 하는 방법이 있고[18,19], 초음파 분무기(ultrasonic nebulizer)를 사용하거나[20] 고농도 약물로 비강 세척을 시행하는 방법[21], 그리고 긴 주사기를 이용하여 후열 부위에 직접 짜 넣는 방법도 소개되었다[17]. 그러나 이러한 방법들을 통해 약제의 분포를 개선한다고 하더라도 도달된 약물이 치료 효과를 거둘 정도로 충분히 후각 상피에 흡수될 때까지 중력과 점액 섬모 청소능에 반하여 후각 상피 주변에 오랫동안 머물 수 있는지는 미지수이다.
최근 부비동 내시경 수술 후 자주 재발하는 비용종에 대한 치료로 부신 피질 호르몬 제재를 점적한 흡수성 비강 충전물을 수술 부위에 삽입하는 방법이 각광받고 있는데, 많은 연구에서 경구로 부신 피질 호르몬을 투여한 경우와 비슷한 치료 효과를 보이고 있으며, 전신적인 부작용의 위험을 최소화할 수 있는 것으로 보고하였다[22,23]. 그러나 TA를 점적한 흡수성 비강 충전물(Nasopore; Polyganics BV, Groningen, Netherlands)을 비강에 삽입한 후 전신 반응에 대해 조사했던 이전 연구에서는 일시적으로 혈청 cortisol과 osteocalcin 수치가 대조군에 비해 유의하게 억제되는 결과를 보였다[9].
특히 Bardaranfar 등[24]과 Xu 등[22]은 부비동 내시경 수술 시행 후 흡수성 비강 충전물을 이용한 부신 피질 호르몬 국소 요법 시행 후 항 염증 효과와 함께 후각 기능의 개선이 있음을 보고하였다. 저자들은 무후각증 치료에서 경구 부신 피질 호르몬 투여가 적용되었을 때 효과를 보이는 주된 기전 역시 항 염증 작용이란 점에 착안하여 수술을 시행하지 않은 환자에서도 비슷한 효과를 보일 것으로 기대하였고, 이에 경구 부신 피질 호르몬 투여가 제한적인 환자에서 이를 일부 적용하고 있다. 따라서 본 연구에서 무후각증에 대한 첫 치료로 부신 피질 호르몬 치료가 적용된 대상자들의 치료 방법이 나뉘게 된 주된 기준 역시 단기간 전신적 부신 피질 호르몬 사용시 부작용의 위험성이 있는 과거력 여부였다. TA 국소 요법 군 중 6명은 전신적 부신 피질 호르몬 투여에 영향을 받는 과거력은 없었지만, 경구 부신 피질 호르몬 투여 시 발생 가능한 부작용에 대해 설명을 듣고 다른 치료방법을 원했던 경우로 확인되었다.
본 연구에서는 후각 상피 부위에 보다 직접적으로 TA를 전달하고 약물이 충분히 오랫동안 머물게 하기 위해 흡수성 비강 충전물을 사용하였다. 비내시경을 통해 후열을 확인하고 후각 상피 부위에 충전물이 위치하는 것을 확인할 수 있으므로 약물을 전달하고자 하는 위치에 정확히 분포시킬 수 있을 뿐 아니라, 충전물이 분해되기 전까지 지속적으로 약물이 후각 상피 주변에 흡수될 수 있으므로 충분한 양의 약물이 전달된 것으로 생각된다. 또한, 이전 연구에서 국소 요법으로도 일시적인 혈청 cortisol과 osteocalcin 억제가 나타났던 점을 고려하여 이전 연구에서 사용했던 충전물(Nasopore)에 비해 보다 빠르게 분해되는 충전물(Cutanplast)을 선택하고 1주일의 간격을 두고 2회에 걸쳐 나누어 투여함으로써 전신적인 부작용의 가능성을 줄이고자 하였다.
본 연구에서 사용한 TA 40 mg은 PD 50 mg에 해당하는 용량으로, 경구 투여나 주사가 아닌 비강 점막을 통한 생체 흡수율을 고려하였을 때 이보다 훨씬 적은 양이 비강 충전물이 분해되는 2-3일간에 걸쳐 점진적으로 전신 흡수되었을 것으로 예상된다[25]. 임상적으로 유의미한 시상하부-뇌하수체-부신 축의 내분비계 억제는 매일 20 mg 이상의 PD를 3주 이상 투여할 경우 발생할 수 있다고 알려져 있는데[26], TA 국소 요법은 PD 100 mg에 해당하는 TA를 1주일 간격으로 2번 나누어 비점막을 통해 투여한 것이므로 총 흡수량과 흡수 속도를 고려하였을 때 임상적으로 전신 부작용의 위험성을 피할 수 있는 용량이었을 것으로 생각된다. 본 연구 결과에서도 TA 국소 요법 시행 후 KVSS II 검사상 TDI 점수의 호전 정도와 임상적으로 유의미한 치료 반응률은 경구 PD 투여와 비교하여 동일한 치료 효과를 보였고, 혈청 cortisol 수치나 ACTH 수치는 정상 범위를 유지하였다. 또한 당뇨병 환자에서도 유의미한 혈당치 변화는 관찰되지 않았다. 따라서 기저 질환에 의해 경구 PD 투여가 제한되는 무후각증 환자군에서 TA 국소 요법은 전신 부작용을 피할 수 있는 치료적 대안이 될 수 있다.
본 연구에서 한 가지 이상의 비부비동 질환이 동반된 경우 치료 후 무후각증이 호전되는 정도가 유의하게 높았는데, 이는 경구 PD 투여나 TA 국소 요법 모두 비부비동 질환에 의한 점막의 염증을 감소시키는 효과가 있기 때문이라고 여겨진다. 특히 만성 비부비동염의 경우 조직학적 특징에 따라 호산구성 만성 비부비동염과 비호산구성 만성 비부비동염의 부신 피질 호르몬에 대한 치료 반응 차이가 있을 수 있는데, 만성 비부비동염이 확인되었던 대상자 중 나중에 부비동 내시경 수술을 시행받아 조직검사 결과까지 확인된 대상자는 총 5명으로, 경구 PD 투여 군 3명 중 조직 내 염증세포의 침윤 정도가 400배 고배율에서 평균 100개 이상의 호산구가 관찰된 호산구성 만성 비부비동염은[27] 1명, 비호산구성 만성 비부비동염은 2명이었고, TA 국소 요법 군 2명 중 호산구성 만성 비부비동염은 1명, 비호산구성 만성 비부비동염은 1명으로, 조직형에 따라 치료 반응을 비교 분석하기에는 대상자 수가 적었다. 이를 보완하기 위해 비부비동 질환의 염증 정도를 부비강 전산화단층촬영 결과로 평가한 Lund-Mackay 점수와 후열 개존 정도에 따른 치료 반응을 비교하였으며, Lund-Mackay 점수는 치료 후 호전 정도와 관련성이 없었다. 이는 후각 상피 주변에 존재하는 염증이 주로 치료 결과에 영향을 주고 후각 상피와 무관한 부위에 존재하는 염증은 치료 결과와 무관하기 때문에 후열 개존 정도는 치료 결과와 관련성이 있지만 부비동 전체의 염증 상태를 반영하는 Lund-Mackay 점수의 경우 관련성이 없었던 것으로 생각된다.
본 연구의 제한점으로는 연구 대상자 수가 적고, 후향적 의무기록 분석에 의한 것이므로 선택 편향이 있을 수 있으며, 치료 종료 2주 후의 결과로 후각의 장기적인 변화에 대한 평가가 이루어지지 않은 점이다. 또한 바이러스 감염 후 후각장애나 특발성 후각장애는 비부비강의 염증성 질환에 의한 후각장애와 비교하여 병태 생리와 치료 반응에 있어서 차이가 있기 때문에 후각장애의 원인에 대한 분류가 필요하나, 후향적 연구에서의 한계로 바이러스에 의한 후각 수용체 및 신경의 손상을 확인하기 어렵고, 의무 기록상에서 상기도 감염 증상을 보고한 이후 발생한 후각장애라 하더라도 실제로는 바이러스에 의한 신경 손상 외에 감염성 비염에 의한 염증성 변화가 주 원인인 경우가 혼재되어 있어 정확한 원인에 따른 분류와 분석이 시행되지 못한 점이다. 마지막으로 무후각증의 자연 회복 경과에 대한 대조군이 설정되어있지 않아, 비부비강의 염증성 질환이 주 원인이 아닌 경우 부신 피질 호르몬 치료의 효과를 제대로 반영하지 못한 점이다. 따라서 TA 국소 요법의 치료 효능과 안전성을 확인하기 위해서는 앞으로 보다 대단위의 전향적 무작위 비교 연구가 이루어져야 할 것으로 생각된다.
결론적으로, 흡수성 비강 충전물을 이용한 TA 직접 적용 요법은 무후각증 치료에 있어서 치료 선택지로서의 가능성이 있다.
Acknowledgements
None
Notes
Author Contribution
Conceptualization: Jong In Jeong, Hyo Yeol Kim. Data curation: Jong In Jeong, Jae Seok Park. Formal analysis: Jong In Jeong, Jae Seok Park. Methodology: Jong In Jeong. Supervision: Hyo Yeol Kim. Writing—original draft: Jong In Jeong. Writing—review & editing: Hyo Yeol Kim.
