다결절성 갑상선종 환자에서 갑상선 병변으로 오인된 수술용 장갑 1예
A Case of Surgical Gloves Mimicking a Thyroid Lesion in a Patient With Multinodular Goiter
Article information
Trans Abstract
Retained surgical bodies are usually associated with procedures that involve large surgical spaces, such as thoracic or abdominal cavities; however, caution must also be taken with otorhinolaryngology surgeries as they also involve various potential surgical spaces. Retained surgical bodies usually reported are the remainders of surgical materials or instruments, but as surgical drains or packing materials may be left behind, special care must be taken when removing them. In this article, we report, with a literature review, as case of retained surgical body from a surgery 33 years ago that was mistaken for a thyroid nodule.
서 론
2009년 세계보건기구(World Health Organization)는 안전한 수술을 위한 지침(Guidelines for Safe Surgery)을 발표하며 모든 수술에서 수술계수(surgical count)를 권고하였으나, 수술 후 체내 잔류 이물 사고는 현재까지도 여전히 보고되고 있다. 수술 후 체내 잔류 이물은 환자에게 신체적, 정서적 문제와 함께 심각한 후유 장애를 유발할 수 있으며 불필요한 수술과 법적 분쟁을 초래한다[1]. 잔류 이물은 복강, 골반, 흉강 등 수술공간이 상대적으로 큰 부위의 수술 후에 주로 발견되지만[2], 이비인후과 비부비동 수술, 경부 수술 후에도 수술재료와 관련한 이물이 남을 수 있어 주의를 요구한다. 수술과 관련된 이물의 종류로는 수술용 스펀지, 거즈, 수술기구, 바늘 등 수술재료가 주를 이룬다[3]. 잔류 이물 환자 중 69%의 환자에서 이물 제거를 위해 수술 창을 다시 개방하게 되는 재수술을 필요로 한다고 보고되어 있으며, 장폐색, 감염, 농양 등을 유발하는 것으로 보고되었다[4].
저자들은 다결절성 갑상선종 환자에서 초음파상 석회화를 동반한 갑상선 결절로 의심되었던 병변을 수술적 절제를 통하여 제거 후 체내 잔류 수술장갑으로 진단하였던 증례를 경험하여 문헌 고찰과 함께 보고하고자 한다.
증 례
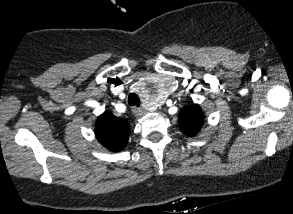
62세 여자 환자가 1년 전부터 좌측의 재발하는 압통과 크기 증가를 동반한 전경부 종물을 주소로 본원 내분비내과로 내원하였다. 1987년 우측 갑상선 일엽절제술 과거력이 있었으며, 갑상선기능검사상 thyroid stimulating hormone (TSH) 0.10 μIU/mL (0.27-5.0), Free T4 1.43 ng/dL (0.93-1.7), thyroglobulin-Ab <10 IU/mL (0-115), antimicrosomal-Ab 18.49 IU/mL (0-34)로 TSH 억제 소견이 확인되었다. 갑상선 초음파 검사에서 좌측 갑상선의 중간부에 30.8×28.7 mm의 크기로 경계가 분명한 혼합 에코성 결절이 보였으며 결절 내부로 미세석회화와 부분적인 저에코 병변을 포함한 결절이 관찰되었다(Fig. 1A and B). 결절의 우측으로 level VI 부위 20.7 mm 크기의 음향음영 및 다중반사를 동반한 혼합성 음영의 병변이 관찰되었다(Fig. 1C and D). 타병원에서 시행한 흉부 전산화단층촬영 검사상 불균질하게 조영 증강되는 좌측 갑상선 결절과 함께 결절의 우측으로 고음영 병변이 관찰되었다(Fig. 2). 경부 전산화단층촬영 검사와 세침흡인검사를 계획하였으나 환자의 거부로 시행하지 못하였고, 수술적 치료 원하여 이비인후과로 의뢰되었다.
Preoperative ultrasound images. A and B: 30.8×28.7 mm sized well-defined heterogenous echoic nodule with microcalcification in left thyroid lobe. C and D: 20.7 mm sized ill-defined hypoechoic lesion with posterior acoustic shadowing in right level VI.
Axial view of contrast enhanced chest CT scan showed that about 6.5×4.5×5.5 cm sized ill-defined enhanced left thyroid mass and about 1.7 cm sized hyperattenuated lesion in right level VI (arrow).
초음파 소견과 해당 부위의 자주 재발하는 통증, 혈액 검사상 보인 TSH 억제 소견과 결절의 크기가 증가하는 증상으로 제4 새열낭종 및 갑상선염을 동반한 갑상선암에 대한 감별을 필요로 하였으며, 환자의 수술적 치료에 대한 요구를 고려하에 좌측엽에 대한 완성형 갑상선절제술(completion thyroidectomy) 및 우측 6 구역(level VI) 부위 종물 제거술을 진행하였다. 전신마취하에 전경부의 과거 갑상선 수술 반흔을 따라 수평으로 피부를 절개하고 광경근(platysma muscle) 하 피부 피판 거상을 시행하였다. 우측 흉골설골근과 흉골갑상근을 외측으로 견인 후 조심스럽게 박리한 뒤, 과거 우측엽 절제술 부위에 초음파상 혼합성 음영의 병변으로 보이던 주변 조직과 심한 유착을 동반한 종괴성 병변을 발견하여 동결절편검사를 시행하였으나 인체조직이 아닌 이물소견이 보여 해당 병변을 완전 절제하였다. 종물은 피막에 둘러싸인 선홍색의 납작한 모양이었으며, 내부에 흰색 내용물을 포함하고 있었다. 이후 우측 종괴성 병변과 인접해있던 갑상선 좌엽을 제거하고 경부 공간 내 남은 이물이 없는 것을 확인 후 수술을 종료하였다. 양측의 반회후두신경 손상은 없었다. 제거된 우측 6구역의 조직 모양이 수술장갑과 유사함을 인지하여 병리과에 보고하였고 병리 보고상 인체 조직이 아닌 이물임을 확인하였다(Fig. 3). 병리조직 검사상 갑상선 좌측엽은 육아조직(granulation tissue)이 동반된 결절성 과증식(nodular hyperplasia)으로 보고되었다. 수술 후 후두경상 성대기능은 정상이었으며 환자는 합병증 없이 퇴원하였다. 수술 2개월 후 측정한 갑상선 호르몬 검사상 정상치로 조절되었으며, 저자들이 우려하였던 법적 분쟁 없이 내분비내과 에서 정기적으로 추적 관찰 중이다.
고 찰
이비인후과 수술 후 발생하는 수술과 관련한 잔류 이물은 비부비동 수술 후에 패킹의 재료로 사용하는 비강 충전재와 구강과 및 인후두 수술에 사용하는 수술재료가 주를 이루나 간혹 경부절개 수술 시 사용하였던 거즈 또는 수술용 바늘과 같은 소형 수술기구 등이 남을 수 있다. 특히 주요 기관들이 밀집되어 있고 근막으로 둘러싸여 있는 두경부의 해부학적 구조를 고려할 때 접혀 있는 잠재적인 공간(potential space)이 많아 수술 시 적극적으로 공간을 개방하여 확인을 필요로 하며, 최근 내시경-로봇 수술이 도입됨에 따라 수술재료 또는 기구의 잔류를 예방하기 위한 수술계수가 안전한 수술만큼이나 중요하다고 할 수 있다.
이물의 진단은 수술력이나 외상에 대한 자세한 병력 청취 및 이학적 검사와 초음파(ultrasonography) 또는 전산화단층촬영(CT) 등의 영상검사를 통해 이루어지며 경부 내 이물의 가능성을 염두에 두고 진단적 접근을 하는 것이 중요하다. 수술부위의 잔류 이물은 전산화단층촬영 등의 방사선 검사에서 저감쇠(low attenuation) 종괴, 고감쇠 종괴 또는 이들이 섞여 있는 혼합형태의 비특이적인 소견을 보일 수 있다[5-8]. 수술 후 초음파 역시 이를 진단하는 데 유용하며 본 증례와 같이 강한 후방 음영을 동반한 고음향 병변을 보이거나 저음향 부위를 포함한 혼합음향소견으로 나타날 수 있으며, 화농화 되면 내부에 물결모양 또는 줄무늬 모양을 동반한 저음향 종괴가 비교적 명확한 경계로 관찰될 수 있다[6,7,9].
Bani-Hani 등[5]의 보고에 의하면 몸에 남겨진 이물질은 몸 안에서 화학 작용을 통해 분해되지 않을 시 병리학적으로 2가지 형태의 이물질 반응을 일으킨다. 하나는 삼출성(exudative) 염증반응으로 농양을 형성하여 통증, 발열과 같은 증상을 일으키거나 피부로 누공(fistula)을 형성할 수 있다. 다른 하나는 섬유소성(fibrinous) 염증반응으로 유착과 피막화를 통해 육아종을 형성하여 본 증례처럼 촉지되는 종괴의 형태로 나타날 수 있으며 중대한 임상 증상을 일으키지는 않는다. 섬유소성 염증반응은 해당 병변의 조직 생검이 진단에 결정적일 수 있으나 본 증례에서는 환자 거부로 진행하지 못하였음은 아쉬운 점이라 할 수 있다. 수술 후 병리 소견은 육아조직이 동반된 결절성 과증식으로 보고되었고, 이전 수술 부위의 종물은 외부물질로 판명되었다. 아직 이물과 관련되어 발생한다는 사례는 보고되고 있지 않으나, 표피 성장 인자(epidermal growth factor)가 갑상선 비대 자극에 관여할 것이라고 제기되는 것을 생각해보면 이물 반응에 의한 지속적인 염증반응이 갑상선종의 발생에 영향을 끼쳤을 수 있다고 추측해 볼 수 있다[10-12].
첫 수술을 시행한 의료기관의 폐업으로 현재의 시점에서 수술용 장갑의 손가락 부위가 잔류하게 된 정확한 원인을 확인할 수는 없지만, 수술 시 술자의 손가락 부위에 장갑이 찢겨 일부가 남았거나 수술용 라텍스 장갑(latex glove)의 손가락부위를 잘라 배액관 대용으로 사용하였을 수 있으며[13] 이를 제거하는 과정에서 잔류하였을 가능성을 추정할 수 있다. 본 증례를 후향적으로 고찰해 보자면 간헐적 통증과 압통을 고려할 때 제4 새열낭종 및 갑상선염을 의심하여 이물만 제거 후 좌측 갑상선종은 절제 없이 관찰하였을 수도 있었고, 이 경우 기존에 보인 임상증상 및 갑상선 호르몬 수치의 변화는 호전되었을 가능성에 대한 합리적인 의심을 해볼 수 있다. 다만, 좌측엽의 미세석회화를 동반한 결절로 인해 악성종양에 대한 가능성을 배제하기 힘들었던 점은 당시 이물을 종양성 병변으로 오인하게 하는 가장 주요한 요인이었으며, 이 때문에 진단 및 치료 목적의 수술을 계획하였음은 본 증례의 가장 아쉬운 부분이라고 할 수 있다.
Acknowledgements
None
Notes
Author contributions
Writing—original draft: Beomsoo Kim. Writing—review & editing: Yeongrok Lee, Hyeon Woo Lee, Jae Hong Park.
