Quiz

Article information

Korean J Otorhinolaryngol-Head Neck Surg. 2023;66(12):922-922
Publication date (electronic) : 2023 December 21

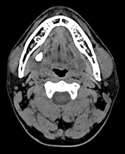
34세 남자 환자가 3개월 전부터 시작된 우측 악하선 부종 및 통증을 주소로 내원하였다. 환자의 증상은 식사시에 심해졌다가 시간이 지나면 호전되는 양상이었으며 내원 당시 이학적 검사상 우측 악하선 주위 부종 이외에 특이소견은 보이지 않았다. 외래에서 촬영한 경부 컴퓨터단층촬영 소견은 다음과 같았다. 이 질환에 대한 설명 중 틀린 것은?

① 이 질환의 80%는 악하선에, 19%는 이하선에, 1%-2%는 설하선과 소타액선에서 발생한다.

② 악하선에 가장 많이 호발하는 이유는 악하선의 타액이 보다 알칼리성이고 점도가 높으며 칼슘염과 인산염의 농도가 높기 때문이다.

③ 컴퓨터단층촬영시에 조영증강은 필요하지 않으나 종양과의 감별이 필요할 때는 시행한다.

④ 구강저에서 만져지고 관입구부에서 2 cm 이내의 원위부에 위치하는 경우에는 구강 내 접근법으로 제거할 수 있다.

⑤ 이하선관은 해부학적으로 관이 더 길고 구경이 크며 중력에 반하여 각이 져 있고 원위부가 수직의 형태이기 때문에 타석증이 잘 발생한다.

정답 및 해설

해 설

타석증은 타액선관에 결석이 생기는 경우로 타액선염을 유발하는 가장 흔한 원인이다.

① 타석증의 80%는 악하선에, 19%는 이하선에, 1%-2%는 설하선과 소타액선에서 발생한다.

② 타석증이 악하선에서 가장 많이 호발하는 이유는 악하선의 타액이 보다 알칼리성이고 점도가 높으며 칼슘염과 인산염의 농도가 높기 때문이다.

③ 타석증을 진단할 때 컴퓨터단층촬영시에 조영증강은 필요하지 않으나 종양과의 감별이 필요할 때는 시행한다.

④ 타석이 구강저에서 만져지고 관입구부에서 2 cm 이내의 원위부에 위치하는 경우에는 구강 내 접근법으로 제거할 수 있다.

⑤ 악하선관은 이하선관에 비해 해부학적으로 관이 더 길고 구경이 크며 중력에 반하여 각이 져 있고 원위부가 수직의 형태이기 때문에 타석증이 가장 잘 발생한다.

참고 문헌: 대한이비인후과학회. 이비인후과학:두경부. 파주: 군자출판사;2018. p.347-8.

Article information Continued