원발성 갑상선 림프종에 대한 임상적 고찰
Clinical Characteristics of Primary Thyroid Lymphoma
Article information
Trans Abstract
Background and Objectives
Primary thyroid lymphoma is rare in thyroid cancer and also in extranodal lymphoma. As such, there has been only a few studies done on this rare disease, and this study evaluated its clinical characteristics and prognosis.
Subjects and Method
A retrospective review was conducted on 18 patients who were treated for primary thyroid lymphoma between January 2006 and December 2021. We investigated clinical, radiologic, pathologic findings, treatment modalities and prognosis.
Results
The study involved 18 patients, all of whom were confirmed through histopathological assessments via thyroidectomy (5/18), core needle biopsy (12/18), and incisional biopsy (1/18). Among these, three patients were male, while 15 were female, with a mean age of 66.4±8.78 (49-82). The most common symptom was a palpable neck mass (8/18). The most common pathologic type was diffuse large B cell lymphoma (9 patients), followed by mucosaassociated lymphoid tissue lymphoma (6 patients). At the time of diagnosis, 3 (20.0%) 8 (53.3%), 0, and 4 (26.7%) number of patients were found in Stage I, II, III and IV, respectively. Twelve patients received chemotherapy and three patients received radiation therapy. Three patients were lost to follow-up without treatment.
Conclusion
Primary thyroid lymphoma should be included in differential diagnosis when making a diagnosis for rapid growing thyroid nodule. Core needle biopsy is considered as first line pathologic diagnostic tool due to limitation of fine needle cytology.
서 론
원발성 갑상선 림프종은 전체 갑상선 종양의 4%-5%를 차지하는 매우 드문 암으로 외래에 처음 내원했을 때 의심하기 쉽지 않은 종양이다[1]. 일반적인 갑상선 암의 경우 초음파검사의 민감도는 86%-95%, 특이도는 52%-94%로 보고되며, 암을 시사하는 앞뒤가 긴 모양, 침상 혹은 불규칙한 경계, 고형 성분의 현저한 저에코, 미세 및 거대 석회화 등의 특징적인 소견이 있어 진단에 용이하다[2]. 또한 초음파를 이용한 세침흡인검사는 갑상선 암을 진단하는 데 가장 효율적인 검사로서 정확도는 95%까지 보고된다[3]. 반면에 원발성 갑상선 림프종 환자들은 임상적으로 갑상선 기능 저하가 있거나, 하시모토 갑상선염과 같은 원인으로 갑상선 호르몬 치료를 받고 있는 경우가 많으며, 하시모토 갑상선염을 가진 환자에서 67-80배 이상 발생율이 높다고 알려져 있다[4,5]. 이런 상황에서 세침흡인검사는 원발성 갑상선 림프종과 하시모토 갑상선염의 병리학적 유사성으로 60%밖에 진단하지 못한다고 알려져 있어, 정확한 진단을 위해 핵침조직검사나 갑상선 절제술이 필요한 경우가 많다[6].
이와 같이 원발성 갑상선 림프종은 매우 드물 뿐 아니라 영상의학적 또는 조직학적로 초기에 진단하는 것이 쉽지 않다. 이에 본 연구에서는 본원에서 원발성 갑상선 림프종으로 진단 및 치료받은 환자의 인구학적 특성, 영상 및 병리 소견, 진단 방법, 그리고 치료와 예후를 정리, 분석하여 향후 빠른 진단 및 치료에 도움을 주고자 시행하였다.
대상 및 방법
본 저자들은 2006년 1월부터 2021년 12월까지 한양대학교병원, 한양대학교 구리병원에서 조직병리검사에서 원발성 갑상선 림프종으로 진단받은 환자를 대상으로 의무기록을 이용하여 후향적 연구를 진행하였으며 갑상선이 원발병소가 아닌 1예는 제외하였다.
대상자의 성별, 나이, 기저질환, 주증상, 영상의학적 소견 및 병리검사 방법 및 그 결과, 질환의 병기 및 치료와 예후에 대하여 조사하였다. 통계학적 분석에는 SPSS (22.0; IBM corp., Armonk, NY, USA)를 사용하였으며 Kaplan Meier method를 사용하여 무병생존율(disease free survival rate)과 질병특이생존율(disease specific survival rate)을 분석하였다. 본 연구는 본원의 기관생명윤리위원회(Institutional Review Board)의 승인을 받았다(HUGH-2023-07-025-002).
결 과
환자의 특성 및 주증상
총 18명의 원발성 갑상선 림프종 환자가 포함되었다. 18명 중 남성은 3명(16.7%), 여성은 15명(83.3%)이었으며, 내원 당시 평균 나이는 66.4±8.78세였다. 기저질환으로 고혈압 7명(38.9%), 당뇨 1명(5.6%)이 있었으며 6명(33.3%)에서 갑상선 기능저하증이 동반되었다. 평균 체질량지수는 23.97±4.48이었으며, 흡연자는 1명(5.6%), 음주력은 3명(16.7%) 있었다. 주증상으로는 전경부의 만져지는 종물을 주소로 한 환자가 8명(44.4%)으로 제일 많았으며, 우연히 발견된 무증상 환자가 4명, 이외 애성 3명, 이물감 2명, 비인두 림프조직 증식으로 인한 삼출성 중이염 때문에 발생한 난청 1명이 있었다. 이들의 평균 추적 관찰 기간은 61.8±47.9개월이었다(Table 1).
영상의학적 및 병리학적 소견
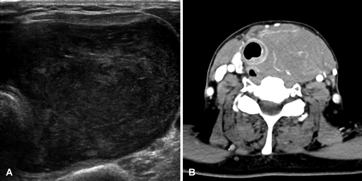
초음파를 촬영한 18명의 환자에서 16명(88.9%)은 저에코의 종물, 2명(11.1%)은 비균질한 종물 소견을 보였고, 경부 컴퓨터단층촬영(CT)을 시행한 16명의 환자에서 비균질한 조영증강 양상을 보인 환자가 4명(25.0%), 갑상선외 조직 침범은 6명(37.5%), 종양내 낭성 변화 1명(6.3%), 석회화 동반 2명(12.5%), 괴사를 동반한 경우는 1명(6.3%), 경부 림프절 침범을 동반한 경우가 10명(62.5%)이었으며 갑상선 내 다발성인 경우가 1명(6.3%) 있었다(Table 2 and Fig. 1). 갑상선 내 종물의 크기는 평균 장경 48.5±26.0 (12.0-100.0) mm였으며, 양전자방출단층촬영(PET-CT)은 14명의 환자에서 시행되었으며, 모든 예에서 과대사 소견을 보였다.
Computed tomographic and ultrasound findings of primary thyroid lymphoma. About 5.1×6.4×10.0 cm sized huge hypoechoic mass in ultrasonography and it was homogenously enhanced in CT scan.
초기 진단을 위해 갑상선 종물에서 세침흡인검사를 먼저 시행했던 8명의 환자에서 림프종 의증 3명(37.5%), 하시모토 갑상선염 3명(37.5%), 양성 여포성 결절 1명(12.5%), 진단 불가능 1명(12.5%)으로 보고되었다. 림프종이 의심되었던 3명과 진단 불가능 했던 1명은 확진을 위해 갑상선 절제술 1명, 절개생검 1명, 핵침조직검사를 2명 시행하였다. 하시모토 갑상선염으로 진단된 3명과 양성 여포성 결절로 진단된 1명은 영상의학적 검사에서 갑상선 종물의 크기가 크며 비교적 균질한 저에코종물이 관찰되어 림프종이 의심되었기 때문에 진단을 위해 2명은 갑상선 절제술, 2명은 핵침조직검사를 시행하였다.
나머지 10명 중 8명은 세침흡인검사 없이 핵침조직검사를 시행받았으며, 2명은 영상의학적 검사에서 림프종이 강하게 의심되고 비대한 갑상선 종물로 인해 주위조직 및 신경을 압박하여 발생한 애성, 연하곤란 등의 증상이 있어 갑상선 절제술을 먼저 시행하였다. 이상으로 18명의 환자의 확진이 된 조직검사 방법을 정리하면, 갑상선절제술 5명(27.8%), 핵침조직검사 12명(66.7%), 절개생검 1명(5.6%)이었다.
조직검사 결과로는 diffuse large B cell lymphoma (DLBL) 9명(50.0%), mucosa-associated lymphoid tissue (MALT) lymphoma 6명(33.3%), mantle cell lymphoma 1명(5.56%), peripheral T cell lymphoma 1명(5.56%) 그리고 small lymphocytic lymphoma/chronic lymphocytic leukemia (SLL/CLL) 1명(5.56%)이었으며, 동반된 갑상선 질환으로 하시모토 갑상선염이 6명(33.3%), 아급성 육아종 갑상선염 1명(5.6%)이었다(Table 2).
병기, 치료방법 및 예후
진단 시 환자들의 병기는 치료를 받지 않은 3명의 환자를 제외하고 I기 3명(20.0%), II기 8명(53.3%), III기는 없었으며, IV기 4명(26.7%)이었다.
치료는 항함화학요법을 받은 환자가 12명(66.7%)이었고 방사선치료를 받은 환자는 3명(16.7%)이었다. 항암화학요법을 받은 환자 중에서는 rituximab, cyclophosphamide, hydroxydaunomycin, vincristine, and prednisone (R-CHOP)이 10명(55.6%)으로 제일 많았으며, 그 외에도 cyclophosphamide, vincristine, and prednisone (CVP) 1명(5.6%), cyclophosphamide, vincristine, adriamycin, and dexamethasone (CVAD) 1명(5.6%)이었다. 치료 후 완전 관해된 환자는 11명(73.3%), 부분 관해는 1명(6.7%), 치료 중 사망 2명(13.3%), 반응이 없는 경우 1명(6.7%)이었다. 치료 후 완전 관해 되었다가 재발한 경우가 1명(6.7%)이었다(Table 3).
5년 질병 특이 생존율은 86.2%였고, 5년 무병 생존율은 78.3%였다(Fig. 2).
고 찰
원발성 갑상선 림프종은 남녀비 1:3-4 정도로 여자에 많고 평균 60대에 진단된다고 한다[1]. 본 연구에서도 남자 3명, 여자 15명으로 1:5로 여자에게서 많았으며 평균연령도 66.4±8.8로 기존에 알려진 바와 큰 차이가 나지 않았다. 주증상으로는 빠르게 커지는 무통성의 갑상선 종물이 흔하며, 이로 인한 주위 조직 및 신경 압박으로 발생하는 애성, 연하곤란 등의 증상도 발생할 수 있다고 알려져 있다[7]. 본 연구에서도 주증상으로 무통성의 경부 종물을 주소로 한 환자가 8명(44.4%)으로 제일 많았고, 무증상으로 우연히 발견된 환자도 4명(22.2%), 애성 3명(16.7%), 이물감 2명(11.1%), 난청 1명(5.6%) 있었다.
원발성 갑상선 림프종의 영상의학적 특징으론 초음파에서 후방 증강이 있는 균질한 저에코 종괴 소견과 컴퓨터단층촬영(CT)에서 주변조직의 침범 없이 균일하게 조영되는 종괴로, 종양 내 석회화, 낭성 변성, 괴사를 거의 동반하지 않는다고 알려져 있다[8-12]. 본원에서 초음파를 시행한 18명의 환자 중에서 16명(88.9%)이 저에코의 종물 소견을 보여 기존 연구와 비슷한 결과였으나, 2명은 비균질한 에코발생도를 보이는 결절로 관찰되었다. CT에서는 비균질한 조영증강 양상을 보인 환자가 4명(25.0%) 있었으며, 6명(37.5%)이 갑상선 외 조직 침범 소견을 보였고 3명(18.8%)이 종양내 낭성, 석회화 및 괴사동반 소견을 보여 전형적이지 않은 양상을 보인 환자들도 있었다. 10명의 환자에서 경부 림프절 종대가 함께 관찰되었으나 갑상선 병변이 가장 우세하였기 때문에 원발성 갑상선 림프종으로 진단할 수 있었다. 18명의 환자 중 8명(44.4%)은 세침흡인검사를 먼저 시행하였으나 3명(37.5%)에서만 림프종을 의심할 수 있었다. 이는 원발성 갑상선 림프종과 하시모토 갑상선의 조직병리학적 유사성 때문인 것으로 보이며 이로 인해 세침흡인검사의 역할은 제한적일 것으로 사료된다[6]. 이들은 결국 확진을 위한 조직검사가 필요했으며 4명은 핵침조직검사, 3명은 갑상선 절제술, 1명은 절개 생검을 통해 확진되었다. 핵침조직검사를 시행한 12명 모두 악성 림프종이 확진되어 추가적 조직검사가 필요하지 않았다. 대부분의 갑상선 결절 진단을 위한 가이드라인에서는 갑상선 종물에 대한 1차 검사로 세침흡인검사를 추천하며 핵침조직검사는 보완적인 방법으로 평가되나, American Association of Clinical Endocrinologists, British Thyroid Association, 그리고 대한갑상선영상의학회의 진료지침에서는 갑상선 림프종, 미분화 갑상선암 및 전이암이 의심되는 경우에는 핵침조직검사를 추천하고 있다[13-15]. 따라서 임상적으로 원발성 갑상선 림프종이 의심되는 경우 핵침조직검사를 우선하여 시행하는 것이 바람직하다고 사료된다. 단, 바늘이 지나가는 자리에 암세포가 착상될 수 있으며, 혈관이 풍부한 부위에선 출혈의 위험성이 있음을 유념해야 한다.
원발성 갑상선 림프종의 대부분은 B세포 기원의 비호지킨 림프종으로 DLBL이 제일 흔하며 MALT 림프종의 extranodal marginal zone B cell lymphoma도 흔한 아형이며 호치킨 림프종은 드물다[4]. 본 연구에서도 DLBL이 9명으로 제일 많았으며 MALT 림프종이 6명으로 2번째였다. 이외 mantle cell lymphoma, peripheral T cell lymphoma, SLL/CLL이 각각 1명씩 있었다.
원발성 갑상선 림프종의 치료는 조직학적 유형에 따라 다르지만 CHOP을 조합한 항암화학요법에 일반적으로 빠르게 반응한다고 알려져 있으며[16,17], DLBL은 3cycle의 R-CHOP이 표준치료로 사용되고 있다[18,19]. 경부에 국한된 초기병기의 MALT 림프종은 방사선 치료 단독으로 효과적인 것으로 보고되고 있다[16,20]. 갑상선 절제술 및 림프절 절제술 같은 수술적 치료는 기도 폐색으로 호흡곤란을 일으키는 경우에 고려할 수 있으며, 수술이 어려운 경우에는 먼저 기도 확보를 위해 기관내 스텐트를 삽입한 후 항암화학요법을 시행한 경우도 있었다[21,22]. 본원에서도 항암화학요법을 시행한 12명의 환자 중 10명(55.6%)이 R-CHOP을 시행받았고, 경부에 국한된 MALT 림프종 환자 3명(16.7%)은 방사선 치료를 받았다.
예후는 병리조직학적 분류와 악성도, 갑상선외 침범 여부에 따라 다르나 5년 생존율은 50% 정도이며, 갑상선 내에 국한된 경우는 85%, 갑상선 외로 침범된 경우는 40% 정도의 생존율을 보인다고 보고된 바 있다[6]. 본 연구에서는 진단 당시 병기가 I기 3명(20.0%), II기 8명(53.3%), III기는 없었으며, IV기 4명(26.7%)이었으며 치료 후 11명(73.3%)은 완전 관해 되었으며 부분 관해는 1명(6.7%), 치료 중 사망 2명(13.3%), 반응이 없는 경우 1명(6.7%)이었고, 치료 후 완전 관해 되었다가 재발한 경우가 1명(6.7%) 있었다.
부분 관해 되었던 환자 1명은 SLL/CLL로 진단되었던 환자로 항암화학요법으로 CVP 4회 받은 후 부분 관해되어 추가로 chlorambucil 복용과 함께 49개월째 관찰 중이다. 치료에 반응이 없었던 환자 1명은 초기 MALT 림프종으로 진단받아 방사선 치료를 받았던 환자로 갑상선절제술을 받고 경과관찰 중이다.
재발은 1명 있었으며 타원에서 mantle cell lymphoma로 진단받고 R-CHOP 시행 후 완전 관해 되었다가 6년만에 본원에서 mantle cell lymphoma 재발로 재진단되어 hyper-CVAD 6회 받고 완전 관해되었던 환자다. 이후 93개월만에 다시 재발하였으며 ibrutinib 치료로 부분 관해를 보였다.
전체 5년 질병 특이 생존율은 86.2%로 양호하였으나 I, II 병기에서는 90.9% 였지만 III, IV 병기에서는 66.7%로 감소하였다.
결론적으로 원발성 갑상선 림프종은 전체 갑상선 종양의 5% 미만의 아주 드문 종양이기 때문에 자칫 진단이 늦어질 수 있지만 초기에 진단되면 생존율을 높일 수 있으므로 감별 진단에 꼭 포함하여야 한다. 특징적인 빠르게 커지는 무통성 종물로 인한 증상과 초음파와 CT에서 보이는 특징적인 소견이 진단에 도움을 줄 수 있으나 예외적인 소견을 보이는 경우가 있어 조직검사로 확진이 필요하다. 세침흡인검사로는 진단에 한계가 있어 핵침조직검사나 절개생검이 확진에 유용할 것으로 사료된다. 본 연구에서 포함된 연구대상자의 숫자가 많지 않다는 한계가 있으나 본 기관에서의 경험을 통해 갑상선 원발성 림프종의 진단 및 치료 과정과 그 예후에 대해 살펴보았다는데 의의가 있다고 사료된다.
Acknowledgements
This research was supported by the Basic Science Research Program through the National Research Foundation of Korea (NRF) funded by the Ministry of Education (2021R1I1A4A01051258).
Notes
Author Contribution
Conceptualization: Yong Bae Ji. Data curation: Byung Joon Yoo, Jun Sung Bahn. Funding acquisition: Yong Bae Ji. Methodology: Yong Bae Ji. Supervision: Yong Bae Ji. Writing—original draft: Byung Joon Yoo. Writing—review & editing: Yong Bae Ji, Chang Myeon Song, Kyung Tae.
