Quiz

Article information

Korean J Otorhinolaryngol-Head Neck Surg. 2025;68(1):48-48
Publication date (electronic) : 2025 January 23

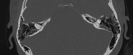
기저질환이 없는 24세 여환이 1년 전부터 발생한 우측 이명을 주소로 내원하였다. 이명은 박동성으로 심장박동과 일치하였으며 밤에 조용하게 누워있을 때, 고개를 왼쪽으로 돌릴 때 커지는 양상이었다. 환자의 측두골 전산화단층촬영 검사결과는 다음과 같다. 이 질환에 대한 설명으로 옳은 것은?

① 이명이 심장 박동과 일치하지 않을 수 있다.

② 경부 압박 및 고개 회전시 이명이 변화하지 않아야 한다.

③ 치료로는 coil embolization 등 혈관중재치료가 일반적이다.

④ 내과적 대사성질환 감별을 위해 complete blood count (CBC), thyroid function test (TFT) 등 혈액검사를 시행한다.

⑤ 물 폐쇄 검사(water occlusion test)로 근육경련성 이명과 감별이 가능하다.

정답 및 해설

해 설 우측 S자 정맥 피열(sigmoid sinus dehiscence)에 연관된 혈관성 이명 증례이다. 혈관성 이명은 반드시 환자의 심장 박동과 일치하는 이명이어야 하며, 저음역이명에 의한 차폐 효과로 저음역에 가성 감각신경성 난청이 관찰되기도 한다. 병변측 경정맥 부위 압박으로 이명이 줄어들거나 소실되고, 고개 회전 시 경정맥 혈류량이 변화하므로 병측으로 회전시 감소, 병변 반대측으로 회전시 이명의 크기가 증가하는 경향을 보인다. 빈혈, 갑상선기능 항진 등 내과적 질환에 의해 악화되므로 감별하여야 하며, 물 폐쇄 검사로 공기 펄스 기전과 와류 전도 기전을 감별하여 치료 방침 결정에 참고한다. 보존적 요법에 반응하지 않는 경우 vascular resurfacing이 가장 일반적인 치료 방법이다.

참고 문헌: 대한이과학회. 이과학. 서울: 세종의학;2022. p.661, 672-3.

대한이비인후과학회. 이비인후과학:이과. 개정2판. 파주: 군자출판사;2018. p.888-9.

Article information Continued