내시경적 비강 접근법으로 제거된 비강 내 거대 신경섬유종 1예
A Case of Huge Neurofibroma in the Nasal Cavity Removed by Endoscopic Endonasal Approach
Article information
Trans Abstract
Neurofibroma is a benign peripheral nerve sheath tumor that is rarely found in the sinuses or the nasopharynx. In parituclar, vidian nerve neurofibroma is an extremely rare condition, with only two cases reported in the literature worldwide. A 51-year-old male presented with a mass in his left nasal cavity, incidentally discovered 6 months earlier. Imaging studies, including CT and MRI, revealed a well-defined mass measuring 7.4×5.2×5.3 cm in the left nasal cavity. The mass was successfully resected via an endoscopic endonasal approach using radiofrequency coblation. Histopathologic examination confirmed the diagnosis of neurofibroma. We report the successful resection of a huge neurofibroma derived from the vidian nerve.
서 론
신경섬유종은 말초신경초종에 속하는 양성 종양으로 말초신경초종은 감각신경에서 발생하며 머리, 목, 사지의 굴곡면에서 주로 발견된다. 그러나 부비동이나 비인두에서는 매우 드물게 발생하는 것으로 알려져 있다. 신경섬유종은 상염색체 우성 질환인 신경섬유종증 환자에서 다발성으로 나타날 수 있지만, 신경섬유종증과 무관하게 단발성으로도 발생할 수 있다[1].
익돌관 신경(vidian nerve)은 부교감 신경인 대천추체 신경(greater superficial petrosal nerve)과 교감 신경인 추체 신경(deep petrosal nerve)으로 이루어져 있으며 익돌관을 지나 접형구개신경절(sphenopalatine ganglion)을 형성한 후 눈물샘, 비강의 점액선, 부비동, 구개 등에 분지한다[2].
익돌관 신경에서 발생한 신경섬유종은 매우 드물며 현재까지 전 세계적으로 두 개의 증례가 문헌에 기록되어 있고 국내에서는 보고된 바가 없다. 첫 번째 사례는 내시경적 비강 내 접근법을 통해 신경섬유종을 절제하였으며, 두 번째 사례는 수술적 치료를 받지 않았다[2,3]. 이에 저자들은 51세 남성 환자의 좌측 익돌관 신경에서 발생한 것으로 추정되는 거대 신경섬유종을 내시경적 비강 접근법으로, 성공적으로 제거한 사례를 보고하고자 한다.
증 례
51세 남자 환자가 좌측 비강에서 발견된 종물을 주소로 본원 이비인후과에 내원하였다. 환자는 6개월 전 시작된 좌측 비출혈로 타병원을 처음 방문하였으며 우연히 좌측 비강에서 종물이 발견되어 본원으로 의뢰되었다. 환자는 지적장애 2급으로 일상적인 대화는 가능했으나 정확한 병력 청취에는 어려움이 있었다. 보호자에 의하면 환자는 비폐색과 비루를 호소하였으며 얼굴의 감각 이상이나 안구 건조증은 없었다. 신체 검사에서 피부에 밀크커피색 반점(cafe-au-lait spot)이나 국소 림프절 비대는 관찰되지 않았으며 과거력과 가족력상 특이사항은 없었다. 비내시경 검사상 광택이 나는 백색의 폴립양 종물이 좌측 비강을 가득 채우고 있었다(Fig. 1). 부비동 전산화단층촬영에서 좌측 비강에 약 7.4×5.2×5.3 cm 크기의 경계가 명확하고 조영증강이 잘되지 않은 종물이 관찰되었다. 종물 주변의 뼈는 얇아져 있었으나 골 침범의 소견은 없었으며 좌측 접형동, 사골동, 상악동에 부비동염이 의심되는 저밀도 음영이 관찰되었다(Fig. 2). 부비동 자기공명영상에서 종물은 T1 강조 영상에서 저신호 강도로 나타났으며 T1 조영증강 영상에서는 부분적으로 조영증강된 종물이 관찰되었다. 또한, T2 강조 영상에서는 종물이 고신호 강도로 나타났고 고리 모양의 구조가 고신호 강도로 나타나는 신경 다발 징후(fascicular sign)도 관찰되었다(Fig. 3). 종물에서 조직 생검을 시행하였으며 출혈은 심하지 않았다. 병리검사 결과 신경섬유종이 의심된다는 소견이 보고되었다.
Preoperative contrast-enhanced CT revealed well-defined hypodense mass in the left nasal cavity. The lesion of the nasal cavity showed an expansive growth without bone invasion. Axial view (A), coronal view (B). Both sphenoid sinuses (asterisks), right vidian canal (arrow), and nasal cavity mass (arrowhead).
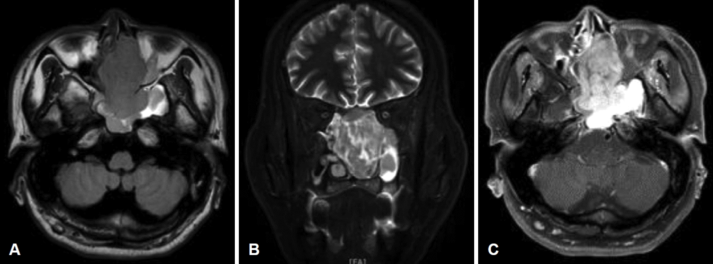
Preoperative MRI images. A and B: The mass showed hypointense on axial T1-weighted image (A) and hyperintense on coronal T2-weighted image (B). C: Axial Gd-enhanced T1-weighted image revealed heterogeneous enhancement of the mass.
이러한 결과들을 종합하여 전신마취하에 내시경적 비강 내 종물 절제술을 시행하기로 계획하였다. 좌측 중비갑개는 종물의 압박으로 인해 매우 얇아져 있었으며 비중격은 우측으로 심하게 만곡된 상태였다. 네비게이션을 사용하여 종물 주변의 해부학적 구조를 확인하면서 전방에서부터 라디오 주파수 코블레이션(radiofrequency coblation)을 사용하여 종물을 제거하였다. 종물의 크기가 커 한 번에 제거하기 어려웠기 때문에 라디오 주파수 코블레이션을 사용하여 크기를 일부 줄이면서 유착된 부위를 확인하며 절제하였다. 좌측 접형동, 사골동, 상악동에서 종물로 인한 이차적인 부비동염 소견이 관찰되었으며 종물은 좌측 접형동의 하외측벽에 부착되어 하비갑개의 전방부까지 확장되어 있었다. 이를 통해 익돌관 신경에서 기원한 것으로 추정할 수 있었다. 절제 중 종물에서 출혈이 발생한 경우에는 라디오 주파수 코블레이션을 이용해 지혈하였다. 종물 제거와 함께 좌측 사골동 절제술 및 접형동 절제술을 시행하였으며 좌측 접형동 골벽의 미란이나 출혈이 있는지 확인한 후 수술을 마쳤다. 수술 중 추정 출혈량(estimated blood loss)은 30 mL였으며 환자는 수술 후 특별한 합병증 없이 다음날 퇴원하였다. 수술 후 조직병리학적 검사상 종양은 얇은 교원질 섬유가 불규칙적으로 증식하고 물결 모양의 핵을 가진 방추형 세포들로 구성되어 있었다. 또한, S-100 단백질에 대한 특수염색 결과 양성 소견을 보여 신경섬유종으로 최종 진단되었다(Fig. 4). 이후 수술 경과 1년까지 눈물 분비 감소나 비강 건조증 등의 추가적인 이상소견 없이 경과 관찰 중이다(Figs. 5 and 6).
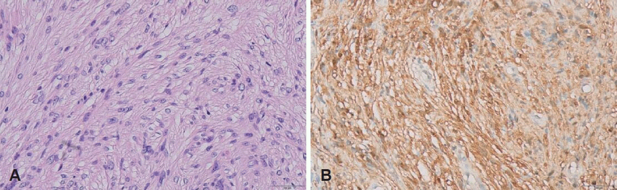
Histologic findings. A: The tumor showed irregular proliferation of thin collagen fibers and spindle-shaped cells with wavy nuclei (hematoxylin and eosin, ×400). B: Positive immunoreactivity for S-100 protein was observed in tumor cells (×400).
고 찰
말초신경초종은 양성 종양인 신경섬유종과 신경초종, 그리고 악성 종양인 신경원성 육종으로 나뉜다. 신경섬유종은 신경섬유의 초에 부착되어 신경에 원형의 백색 덩어리를 형성하는 양성 종양으로 신경섬유종증의 증상 중 하나로 나타날 경우 주로 다발성으로 발생하나 단독으로도 발생할 수 있다. 특히 비강이나 부비동에 발생하는 신경섬유종은 대부분 단독으로 발견된다. 단독으로 발생한 경우는 신경섬유종증의 특징인 밀크커피색 반점이나 가족력을 동반하지 않는다[4]. 일반적으로 비강이나 부비동에서 발생하는 신경섬유종은 삼차 신경의 제1, 2분지에서 기원하는 것으로 알려져 있다[5]. 익돌관 신경에서 유래된 신경섬유종은 매우 드문 것으로 알려져 있으며 전 세계적으로 두 개의 증례가 보고되었다[2,3].
신경섬유종은 크기가 다양하며 천천히 자라고 대체로 무통성이지만 발생 부위에 따라 다양한 임상 증상이 나타날 수 있다[6]. 익돌관 신경은 눈물샘, 비강의 점액선, 부비동, 구개 등으로 분지하므로 익돌관 신경 기능이 저하되면 눈물 분비 감소나 비강 건조증이 발생할 수 있다[7]. 또한, 종양의 압박으로 두통이나 안면 통증, 감각 이상이 나타날 수 있으며 비강 및 부비동을 침범한 경우 다른 종양과 유사하게 비폐색, 비출혈, 비루 등의 비특이적인 증상이 동반될 수 있다[3,8].
부비동 전산화단층촬영에서 신경섬유종은 일반적으로 경계가 뚜렷하고 조영 증강이 적거나 없는 저밀도 음영으로 나타난다. 부비동 자기공명영상(MRI)에서는 T1 강조 영상에서 저신호 강도, T2 강조 영상에서 고신호 강도가 특징적으로 관찰된다. 특히, 중심부가 저신호 강도이고 테두리가 고신호 강도로 나타나는 과녁 징후(target sign)나 저신호 강도로 나타나는 영역 내에 고신호 강도로 보이는 고리 모양의 구조가 관찰되는 신경 다발 징후도 보일 수 있다. 그러나 이러한 징후들은 신경섬유종에만 특이적인 것이 아니며 신경에서 기원한 다른 종양에서도 관찰될 수 있다. 또한, T1 조영증강 영상에서 신경섬유종은 비균질적으로 조영 증강되어 나타난다[9,10]. 전산화단층촬영이나 자기공명영상이 신경섬유종을 진단하는 데 도움이 될 수 있으나 조직병리학적 검사를 통해 확진한다. 신경섬유종의 조직병리학적 특징은 육안으로 피막이 없으며 경계가 불분명하다는 것이다. 광학 현미경 소견으로는 점액질 기질에 호산성의 얇은 교원질 섬유가 불규칙하게 증식되어 있으며 격자 모양의 방추형 신경초 세포가 관찰된다. 각각의 종양 세포는 세포질 경계가 불분명하고 물결 모양의 핵을 가지고 있다. 또한, 면역조직화학염색 중 S-100 단백질, neuron-specific enolase, vimentin에 양성반응을 보인다[5].
감별 진단해야 할 질환으로 신경초종이 있다. 신경초종은 주로 단발성으로 나타나며 피막이 잘 형성되어 있다. 신경섬유종에 비해 악성화되는 경우는 드물지만 출혈성 괴사나 낭성 변성 등 퇴행성 변화를 잘 일으킨다. 신경섬유종이 대체로 무통성인 반면 신경초종은 신경에 가해지는 압력으로 인해 통증을 유발하는 경우가 많다[11].
신경섬유종의 치료는 완전 절제이다. 신경섬유종은 신경초종과 달리 피막이 없기 때문에 주변 조직으로 침윤성이 강하여 국소 절제 시 신경초종에 비해 재발률이 높은 편이지만 완전 절제 후 재발은 드물다[8]. 비내시경 기술과 수술 기구의 발전으로 최근 익돌관 신경 종양에 대한 수술은 대부분 비강을 통한 내시경적 접근법을 사용해 이루어지고 있다. 익돌관 유래 신경섬유종의 경우, 총 보고된 두 건 중 하나에서 내시경적 접근법이 사용되었으며, 익돌관 신경초종의 경우에도 10건 중 7건이 내시경적 방법으로 제거되었다[3,12]. 본 증례에서는 병변의 위치, 크기, 침습성, 환자의 상태, 수술 기구의 사용 가능성 등을 종합적으로 평가하여 수술법을 결정하였다. 수술 전 영상 검사에서 종물이 사골동과 접형동에 국한되어 있고 접형동 골벽의 미란이나 침범이 없는 것을 확인하였다. 이에 따라 비강을 통한 내시경적 접근법을 선택하였고 사골동 절제술 및 접형종 절제술만으로 종물을 충분히 제거할 수 있었다. 종물 제거에는 주로 라디오 주파수 코블레이션을 사용하였다. 라디오 주파수 코블레이션은 편도 및 아데노이드 절제술, 하비갑개 축소술, 혈관섬유종 및 비용종 제거술 등에 널리 활용되는 도구로 전통적인 전기소작술에 비해 상대적으로 낮은 온도(40℃-70℃)에서 작동하여 주위 조직의 손상을 최소화할 수 있다. 반면, 미세절삭기(microdebrider)는 회전 칼날을 이용해 조직을 빠르게 제거할 수 있어 크기가 큰 조직 제거에 효과적이지만 제거 과정에서 혈관이 절단되어 출 혈량이 증가할 가능성이 있으며 이로 인해 수술 시야가 제한될 수 있다. 라디오 주파수 코블레이션은 조직을 응고시키면서 동시에 기화시키는 방식으로 작동하여 미세절삭기에 비해 수술 부위의 출혈을 더욱 효과적으로 조절할 수 있다[13].
본 증례의 환자는 지적장애가 있어 익돌관 신경 저하 증상을 정확하게 문진하는 데 어려움이 있었으나 영상 검사와 수술 중 기원 부위를 확인함으로써 종물이 익돌관 신경에서 유래했음을 추정할 수 있었다. 본 증례에서 발견된 종양은 지금까지 보고된 익돌관 유래 말초신경초종 중 가장 큰 크기로 환자가 비출혈로 타병원을 방문했을 때 우연히 발견되었다. 환자가 지적장애이기 때문에 자신의 증상을 충분히 표현하지 못해 종양이 이처럼 크게 자란 후에야 발견된 것으로 생각된다. 내시경적 비강 접근법을 통해 라디오 주파수 코블레이션을 사용하여 출혈을 최소화하고 시야를 확보하면서 성공적으로 비강 내 거대한 신경섬유종을 완전히 절제할 수 있었다.
Notes
Acknowledgments
This research was supported by the Korea Medical Device Development Fund grant funded by the Korean government (the Ministry of Science and ICT, the Ministry of Trade, Industry and Energy, the Ministry of Health &Welfare, the Ministry of Food and Drug Safety) (project number: RS-2022-00141696).
Author contributions
Conceptualization: Eui-Cheol Nam, Woo Hyun Lee. Funding acquisition: Woo Hyun Lee. Resources Ye-Sol Jung, Young-Joon Ryu. Writing—original draft: Ye-Sol Jung. Writing—review & editing: Woo Hyun Lee.
