영상유도수술 시스템을 이용한 협골궁 골절 수술의 임상적 경험: 단일 기관 25예 분석
Clinical Experience of Zygomatic Arch Fracture Reduction Using Surgical Navigation: A Single-Institution Case Series
Article information
Trans Abstract
Background and Objectives
Zygomatic arch fractures are common facial injuries that may lead to facial asymmetry and functional impairment. Recently, minimally invasive techniques, such as the Gillies approach, have been widely adopted to treat the fractures. This study aimed to evaluate the clinical outcomes of applying an image-guided navigation system using the Gillies approach for the reduction of isolated zygomatic arch fractures.
Subjects and Method
A retrospective review was performed for 25 patients who underwent zygomatic arch fracture reduction using the Gillies approach assisted by an image-guided navigation system at a single tertiary center over the past 10 years. The precise positioning of the reduction instrument and the restored anatomical contour of the zygomatic arch were verified intraoperatively using the navigation system. Preoperative symptoms, including facial asymmetry and trismus, were recorded, and postoperative outcomes were assessed using 3D CT imaging at 3 months postoperatively.
Results
Most fractures occurred on the left side and were most frequently caused by slipdown injuries. All patients showed satisfactory cosmetic and functional outcomes. Trismus observed preoperatively in 13 patients was resolved in all cases. No postoperative complications, such as facial nerve palsy or infection were noted. Based on postoperative CT evaluation, reduction outcomes were classified as good in 16 cases and moderate in 9 cases.
Conclusion
The use of an intraoperative image-guided navigation system along with the Gillies approach enabled accurate and safe reduction of zygomatic arch fractures. The navigation system allowed real-time confirmation of instrument positioning and anatomical contour restoration, potentially improving surgical precision and outcomes.
서 론
협골궁은 안면의 윤곽과 미용적인 균형 유지에 중요한 역할을 하며, 해부학적으로 돌출된 구조로 인해 외부 충격에 의해 쉽게 골절된다[1]. 기존에는 협골궁 골절의 정복을 위해 외부 절개를 동반한 접근법이 주로 사용되었으나, 안면 신경 손상과 반흔 형성 등의 우려가 있었다[2]. 이에 따라 최근에는 조직 손상을 최소화하고 미용적 결과를 개선할 수 있는 최소 침습적 수술 방법이 점차 시도되고 있으며, 대표적인 방법으로 Gillies 접근법이 널리 사용되고 있다[3]. 본 기관에서는 Gillies 접근법을 이용하여 협골궁 골절을 정복한 임상 경험을 이전에 보고한 바 있으며[4], 이 방법은 간단하면서도 안면 신경의 손상 없이 안전하게 정복이 가능한 수술로 알려져 있다.
최근 다양한 안면 외상 골절 수술에서 영상유도수술 시스템을 이용하여 수술의 정확성과 안전성을 향상시켰다는 연구 결과들이 보고되고 있다[5-7]. 영상유도수술 시스템은 수술 중 기구의 위치를 실시간으로 추적하고 해부학적 구조를 시각화함으로써, 다양한 수술에서 정확성과 안전성을 향상시키는 데 기여하고 있다[6,7]. 특히 복잡한 안면 골절에서 정복의 정확도를 높이고, 안면 신경 등의 해부학적 구조물의 손상을 최소화하는 데 효과적이라는 보고들이 있다[8].
협골궁 단독 골절에서 Gillies 접근법으로 수술을 시행하는 경우, 수술 중 정복 정도를 육안이나 촉진만으로 평가해야 하므로 정확한 정복 여부를 판단하기 어려운 한계가 있었다[9]. 이러한 점을 보완하고자 본 기관에서는 Gillies 접근법에 영상유도수술 시스템을 접목하여 수술 중 기구의 위치와 골절편의 정복 상태를 실시간으로 확인하여 수술의 정확성과 안전성을 향상시킬 수 있도록 하였다.
본 논문에서는 지난 10년간 본원에서 영상유도수술 시스템을 이용하여 시행한 협골궁 골절 수술 25예에 대한 임상적 경험을 보고하고, 이 기술의 안전성과 수술 효율성 향상에 대한 가능성을 고찰하고자 한다.
대상 및 방법
본 연구는 2015년부터 2024년까지 10년간 충북대학교병원 이비인후과에 내원하여 협골궁 단독 골절로 진단받고, 영상 유도수술 시스템을 접목한 Gillies 접근법을 이용하여 수술을 받은 25명의 환자를 대상으로 후향적으로 분석한 연구이다. 모든 환자는 외상 후 촬영한 안면부 3D 전산화단층촬영을 통해 협골궁 단독 골절로 진단되었으며, 동일한 수술자에 의해 수술이 시행되었다. 환자의 의무기록과 영상학적 검사를 검토하여 성별, 나이, 수상 원인 및 부위, 손상 당시 개구 장애 및 기타 동반 증상을 후향적으로 분석하였다. 수술까지의 시간, 수술 시간, 수술 후의 비대칭 정도 및 정복 성공 여부, 개구 장애 등의 증상 호전, 안면 마비 발생 여부 등 수술 결과에 대해서도 조사하였다. 본 연구는 본원의 임상시험윤리위원회 심의를 승인받았다(IRB No. 2018-01-002).
수술은 모두 전신마취하에 시행되었으며, Gillies 접근법을 이용하여 측두부 모발선에서 약 2-3 cm 상방에 1 cm 정도의 절개를 가한 후, 심층 측두근막과 측두근 사이의 해부학적층을 따라 박리하였다. 이후 피부 및 심층 측두근막을 함께 거상한 뒤, 협골궁 아래로 Boies 기자 등의 기구를 삽입하여 골절 부위를 정복하였다. 이때 안면 신경은 박리 층을 따라 함께 거상되므로 신경 손상 없이 접근이 가능하였다. 모든 수술에서는 영상유도수술 시스템(Scopis Hybrid Navigation; Scopis, GmbH)을 활용하여, 수술 기구의 3 차원적 위치와 골절편의 정복 상태를 실시간으로 확인하였다. 정복 전 수술자는 협골궁 골절의 가장 함몰된 부위에 영상유도수술 시스템 프루브를 삽입하여 위치한 뒤, 영상유도수술 시스템의 3차원 영상에서 프루브의 위치가 해부학적으로 정확한 삽입 지점에 도달했는지, 따라서 그 위치에서 정복을 시행하면 되는지를 확인하였다. 정복이 완료된 이후에는 정복된 위치에 프루브를 위치함으로써, 협골궁의 윤곽이 정상측과 비교해 정확히 복원되었는지를 실시간으로 평가하였다. 정복 후 내부 고정은 시행하지 않았으며, 정복 후에는 열가소성 부목(aqua plastic splint)을 이용하여 협골 부위에 외부 고정을 1주일간 유지하였다.
모든 환자에 대해 수술 직후, 그리고 수술 후 약 3개월 경과 시점에서 안면부 3D 전산화단층촬영을 촬영하여 정복 정도를 평가하였다. 골절편이 해부학적으로 정복되어 좌우 대칭이 명확하게 유지된 경우 good, 소폭의 골편 전위가 남았으나 임상적으로 기능적 또는 미용적 문제가 없는 경우 moderate, 그리고 정복이 불충분하거나 비대칭이 뚜렷하게 남은 경우 poor로 정의하였다.
결 과
본 연구에는 총 25명의 협골궁 단독 골절 환자가 포함되었으며, 이 중 남성은 21명, 여성은 4명이었다(Table 1). 평균 연령은 53.92세였고, 골절 부위는 좌측이 14예, 우측이 11예로 좌측이 더 많았다. 수상 원인은 낙상이 가장 많았으며, 그 외에 교통사고 및 폭행이 있었다(Fig. 1).
환자들은 외상 직후 대부분 안면부의 함몰 변형이나 비대칭을 주된 증상으로 호소하였으며, 이 중 13예(전체의 52%)에서는 개구 장애가 동반되었다. 시력 이상, 안구 운동 장애, 감각 저하 등의 기타 신경학적 증상은 동반되지 않았다.
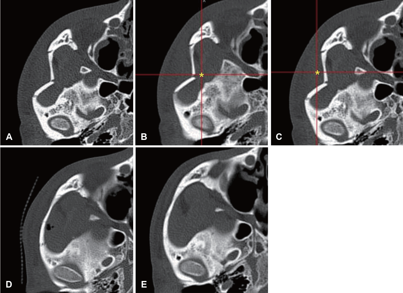
모든 환자는 외상 후 평균 8.12일, 최저 1일에서 최고 34일에 수술을 받았으며, 수술 시간은 평균 43.6분이었다. 수술은 영상유도수술 시스템을 접목한 Gillies 접근법으로 시행되었으며, 모든 증례에서 정복 기구의 삽입 위치 및 골절편의 정복 상태를 수술 중에 실시간으로 확인하였다(Fig. 2).
Representative case. A: Preoperative axial CT. B: Intraoperatively, the navigation pointer is indicating the most depressed area (asterisk) of the zygomatic arch. C: Intraoperatively, the navigation pointer is indicating the position of the reduced zygomatic arch (asterisk) after reduction. D: Immediate postoperative axial CT. E: Postoperative 3-month axial CT with good alignment.
수술 전 개구 장애가 있었던 환자 13예 전원에서 수술 후 증상이 해소되었으며, 안면 신경 마비나, 감염 등의 수술 관련 합병증은 관찰되지 않았다. 또한 정복 실패로 인한 재수술 사례도 없었다. 안면부 3차원 전산화단층촬영을 통해 평가한 정복 결과는 good은 19예, moderate는 6예, poor는 0예였다(Fig. 3).
고 찰
협골궁 골절은 안면부 외상 중 해부학적 특징으로 인해 빈도가 높은 골절로, 정복 실패 시 안면 비대칭, 개구 장애 등의 기능적, 미용적 문제를 야기할 수 있다[10]. 전통적으로는 외부 절개를 통한 관혈적 접근을 통해 골절 부위를 직접 노출시키고 정복하는 방식이 사용되어 왔으나, 이 방법은 절개 범위가 넓고 안면 신경 손상이나 반흔 형성의 위험이 동반된다는 단점이 있다[11].
이러한 점을 보완하기 위해 최근에는 피부 절개를 최소화하고 해부학적 구조를 보존할 수 있는 최소 침습적 수술이 선호되고 있으며, 특히 Gillies 접근법은 협골궁 골절에 대해 널리 사용되는 대표적인 최소 침습적 접근 방식이다[10]. Gillies 접근법은 심층 측두근막과 측두근 사이의 해부학적 층을 따라 기구를 삽입하여 간접적으로 협골궁을 정복하는 방식으로, 안면 신경의 손상 위험이 낮고 수술 흉터를 최소화할 수 있다는 장점이 있다[3]. 본원에서는 이미 Gillies 접근법을 이용한 협골궁 골절 정복술의 임상적 유용성에 대해 과거 연구를 통해 보고한 바 있으며, 해당 연구에서 Gillies 접근법을 이용한 수술은 높은 정복 성공률과 낮은 합병증 발생률을 보인 것으로 나타났다[4].
한편, 최근 안면부 골절 수술에서는 수술 중 정확한 기구 위치 확인 및 정복 결과의 평가를 위해 영상유도수술 시스템의 적용이 활발히 이루어지고 있다[12]. 복잡한 안와 골절이나 골편 정복이 정밀하게 요구되는 수술에서도 이미 그 유용성이 입증되고 있으며, 수술 중 실시간으로 해부학적 구조 및 기구의 위치를 3차원적으로 시각화할 수 있어 수술의 정확도와 안정성을 높일 수 있다[13]. 본 연구에서는 Gillies 접근법이라는 최소 침습적 수술법에 영상유도수술 시스템을 접목함으로써, 기구 삽입 위치의 정확성 확인과 골절편의 정복 정도를 수술 중 실시간으로 평가할 수 있었다. 특히 협골궁의 가장 함몰된 부위에 정복 기구가 정확히 위치하였는지를 확인할 수 있었고, 정복 후 협골궁의 해부학적 윤곽이 정상 측과 비교하여 대칭되도록 회복되었는지를 즉시 평가할 수 있었다. 이는 기존의 촉진이나 육안 평가에 의존하던 방식의 한계를 보완하는 수단이 될 수 있을 것으로 생각된다.
Gillies 접근법을 보완하기 위한 방법으로, 초음파 등을 이용한 실시간 정복 상태의 확인이 기존 보고된 바 있다[14,15]. 추가적인 방사선 노출 없이 정복 상태를 평가할 수 있는 장점이 있으나, 미세한 골절 변위나 해부학적 윤곽을 평가하는데 초음파의 해상도는 제한이 있는 것이 사실이며, 안면골 구조의 복잡성으로 인해 널리 사용되지는 않고 있다. 또한, 정복 후 수술장 내에서의 portable X-ray나 전산화단층촬영을 시행한 보고들이 있으나, 이는 정복 전에 정확하고 안전한 위치에의 확인이 불가하다는 점에서 영상유도수술 시스템에 비해서는 한계가 있다고 생각된다.
본 연구에서 시행된 25예 모두에서 수술 중 영상유도수술 시스템을 적용하였고, 수술 전 개구 장애를 보인 환자에서도 증상의 완전한 호전을 확인하였다. 또한 정복 실패로 인한 재수술 사례나 안면 신경 마비와 같은 수술 관련 합병증은 관찰되지 않았고, 수술 후 안면부 3차원 전산화촬영을 이용한 평가에서도 대부분의 환자에서 골절편이 해부학적으로 잘 정복되어 좌우 대칭이 명확하게 유지된 결과를 보였다.
이와 같이, 영상유도수술 시스템의 사용은 단순한 정복 정확도 향상뿐만 아니라, 수술자의 술기 안정성 확보 측면에서도 임상적 유용성이 있다. Gillies 접근법은 안면 신경의 손상을 최소화하기 위하여 고안된 접근 방법이지만, 영상유도수술 시스템이 없을 경우에는 정확한 해부학적 층인지 확인이 불가하고, 이에 수술자의 불안이 동반될 수 있다. 본 연구에서는 영상유도수술 시스템을 통해 정복 전 기구가 정확한 해부학적 층에 위치함을 실시간으로 확인함으로써, 골절편 부위에 자신 있게 접근할 수 있었고, 안면신경 손상에 대한 우려도 감소하였다. 수술 전 별도의 영상유도수술 시스템 사용을 위한 전산화단층촬영이 필요하다는 점, 장비 조작 시간 및 수술 비용 증가 등의 제한점도 존재하지만, 이러한 단점은 수술 정확성과 안정성 향상을 통해 상쇄될 수 있을 것으로 판단된다.
본 연구는 영상유도수술 시스템을 적용한 수술 증례만을 대상으로 한 관찰적 분석으로, Gillies 접근법 단독 수술과의 직접적인 비교가 이루어지지 못하였다는 한계가 있다. 향후에는 비교군을 포함한 전향적 연구 설계를 통해 안면골 골절 수술에서의 영상유도수술 시스템의 정량적 효과를 검증할 필요가 있겠다.
결론적으로, 기존 Gillies 접근법에 영상유도수술 시스템을 접목함으로써 협골궁 골절에 대해 보다 정확하고, 안전한 정복이 가능하였다. 향후에는 보다 많은 증례 및 기존의 수술법과의 비교를 통한 추가 연구가 이루어질 필요가 있을 것으로 생각된다.
Notes
Acknowledgments
None
Author Contribution
Conceptualization: Hahn Jin Jung. Supervision: Hahn Jin Jung. Visualization: Seung-Hyuk Yang. Writing—original draft: SeungHyuk Yang. Writing—review & editing: Hahn Jin Jung.
