Self-Test Examination

Article information

Korean J Otorhinolaryngol-Head Neck Surg. 2025;68(11):504-508
Publication date (electronic) : 2025 November 25

Review

문 1. 급성 침습성 진균성 부비동염(acute invasive fungal rhinosinusitis, AIFRS)은 빠르게 진행할 수 있는 치명적인 감염이다. 다음 중 AIFRS의 발생 위험이 높아지는 주요 요인이나 위험군에 해당하지 않는 환자는?

① 조혈모세포 이식(hematopoietic stem cell transplantation)을 받은 환자

② 혈액암으로 인해 호중구 감소증을 겪고 있는 환자

③ 불균형한 식습관을 가지고 있는 30대 성인 알레르기 비염 환자

④ 장기 이식 후 면역억제 치료를 받고 있는 환자

⑤ 잘 조절되지 않는 당뇨병 환자

문 2. 급성 침습성 진균성 부비동염(AIFRS)의 병태생리와 주요 원인균에 대한 설명 중 옳은 것은?

① AIFRS는 초기 진단 및 치료가 지연되더라도 사망률에 큰 차이가 없다.

② AIFRS의 주요 원인균은 Aspergillosis와 Mucorales이며, 두 진균 모두 혈관 침습 및 조직 괴사는 유발하지 않는다.

③ Mucormycosis는 voriconazole에 대한 선천적인 내성을 가지고 있지 않아, voriconazole이 1차 치료제로 권장된다.

④ Aspergillosis의 주된 원인균으로는 A. fumigatus, A. flavus, A. niger 등이 있으며, 이 중 A. fumigatus가 가장 흔하다.

⑤ AIFRS의 감염 기전은 주로 환경적 노출보다는 숙주의 면역 기능 저하에만 국한된다.

문 3. 급성 침습성 진균성 부비동염(AIFRS)의 주요 원인균인 Aspergillosis와 Mucormycosis에 대한 최신 1차 항진균제 치료 전략을 비교한 설명으로 가장 적절한 것은?

① 두 감염 모두에 대해 liposomal amphotericin B (L-AmB)가 유일한 1차 치료제로 사용되어야 한다.

② 침습성 Aspergillosis 감염이 확진된 경우, voriconazole이 1차 치료제로 권장된다.

③ Mucormycosis 감염의 경우, voriconazole과 amphotericin B에 내성을 보이므로 posaconazole 또는 isavuconazole을 1차 치료제로 선택해야 한다.

④ Aspergillosis 감염에서 azole 내성이 확인되더라도 L-AmB는 효과가 없어 대체 단독 치료제로 사용될 수 없다.

⑤ Mucormycosis 환자에게 amphotericin B와 triazole 계열 약물의 병합 요법은 생존율 향상에 탁월한 효과가 입증되어 초기 치료로 강력히 권장된다.

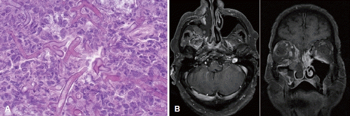
문 4. 58세 남성 환자가 3일 전부터 시작된 심한 우측 안면 통증, 비폐색, 시력 저하를 주소로 내원하였다. 환자는 10년 전 제2형 당뇨병 진단을 받았으나 혈당 조절이 불량한 상태였다. 비내시경 검사상 좌측 중비갑개와 비중격 점막 일부에서 검은색의 괴사 조직(necrotic lesion)이 관찰되었으며 조직검사 결과는 A와 같으며 MRI 검사 결과는 B와 같다. 이 환자의 가장 적절한 치료 원칙은 무엇인가?

① Voriconazole 정맥주사 단독 요법

② Posaconazole 경구 투여와 함께 스테로이드 고용량 정맥주사 및 괴사 조직의 적극적인 수술적 절제

③ L-AmB 정맥주사 투여와 괴사 조직의 적극적인 수술적 절제

④ Fluconazole 경구 투여와 함께 혈관 조영술을 통한 색전술 시행

⑤ Caspofungin 약물 단독 투여

Otology

문 1. 내시경을 이용한 중이 수술(endoscopic middle ear surgery)의 주요 장점으로 가장 거리가 먼 것은?

① 고막 전방 및 고실 전벽 부위 시야 확보가 용이하다.

② 절개 범위를 줄여 외이도 변형을 최소화할 수 있다.

③ 수술 중 출혈에 대한 조작이 더 용이하다.

④ 수술 시간 단축이 가능하다.

⑤ 고막 및 중이의 미세 구조를 확대 관찰할 수 있다.

문 2. Infant-Toddler Meaningful Auditory Integration Scale (IT-MAIS)이 주로 평가하는 영역으로 옳은 것은?

① 어휘량과 문장 구조 이해

② 청각적 주의력과 환경음 반응, 청취 행동의 의미화

③ 조음 정확도 및 운율 패턴

④ 구화(oral articulation) 능력

⑤ 비언어적 인지 발달

Rhinology

문 1. 협골궁 골절 시 정복을 위해 Gillies 접근법을 시행할 시 접근하는 해부학적 공간으로 옳은 것은?

① 피부와 진피 사이 공간

② 진피와 표층 측두근막 사이 공간

③ 표층 측두근막과 심층 측두근막 사이 공간

④ 심층 측두근막과 측두근 사이 공간

⑤ 측두근 내측 공간

문 2. 협골궁 골절에 대한 설명으로 올바른 것은?

① 협골궁 골절 정복술 후 내부 고정이 반드시 필요하다.

② 협골궁 골절 정복술 시 일반적으로 사용되는 접근법에서 접근하는 공간 내 안면신경이 위치하여 안면신경 손상의 위험이 높아 주의하여야 한다.

③ 협골궁 골절은 7-10일이 지나면 골화가 시작되므로 14일 이내에 정복을 시행하여야 한다.

④ 협골궁 골절에 사용하는 Gillies 접근법의 경우 절개 시 심측두동맥을 피하여 절개를 가해야 한다.

⑤ 협골궁은 비교적 약한 뼈로 협골 전두 봉합선(zygomaticofrontal suture line)이나 그 전후의 두곳에서 골절되어 골절편이 내측으로 전위되면서 함몰한다.

Head and Neck

문 1. 다음 중 갑상선 절제술 중 시행되는 수술 중 후두신경감시(intraoperative laryngeal nerve monitoring, IOLNM)에 대한 설명으로 옳은 것은 무엇인가?

① IOLNM은 근전도 신호(electromyography)를 이용하여 반회후두신경(recurrent laryngeal nerve)의 해부학적 위치만을 확인하는 데 사용된다.

② 국내에서는 모든 갑상선 수술에서 IOLNM이 건강보험 급여로 전면 적용된다.

③ 본 조사에서 전체 응답자의 약 95%가 IOLNM을 사용하고 있었으며, 이 중 절반 이상은 선택적으로 사용하였다.

④ 국제 표준 지침(INMSG)에서는 IOLNM 술기를 4단계로 제시하고 있다.

⑤ 반회후두신경 신호 소실(loss of signal)이 발생한 경우 대부분 수술을 중단하였다.

문 2. 국제신경감시장치연구그룹(International Neural Monitoring Study Group, INMSG)에서 제시한 IOLNM 표준 지침의 수술 중 단계에 포함되지 않는 것은?

① 수술 전 미주신경 자극(V1)

② 되돌이후두신경 초기 자극(R1)

③ 갑상선 절제 후 RLN 자극(R2)

④ 수술 후 후두경 검사(L2)

⑤ 수술 중 경부 초음파검사 시행(U1)

정답 및 해설

Review

문 1. 답 ③

해 설 급성 침습성 진균성 부비동염은 주로 면역이 저하된 환자, 즉 조혈모세포 이식 환자, 장기 이식 환자, 혈액암 환자 및 당뇨병 환자에서 발생한다. 특히, 호중구 감소증이 있는 환자는 진균에 대한 방어 능력이 감소하여 감염 위험이 높아지며, 스테로이드 사용 또한 발생률을 증가시키는 요인 중 하나이다. ③번은 면역이 저하된 상태에 해당하지 않으므로 AIFRS의 주요 위험군이 아니다.

문 2. 답 ④

해 설 ① AIFRS는 빠른 조직 괴사 및 혈관 침습을 특징으로 하며, 조기 치료가 이루어지지 않을 경우 높은 사망률을 보인다.

② AIFRS는 빠른 조직 괴사 및 혈관 침습을 특징으로 한다. 주요 원인균인 Aspergillosis와 Mucorales는 혈관 침습을 통해 조직 괴사 및 전신 감염을 유발한다.

③ Aspergillosis와 달리, Mucormycosis는 voriconazole에 대한 선천적 내성을 나타낸다. 따라서 Mucormycosis의 1차 치료제로는 L-AmB가 권장된다.

④ Aspergillosis의 주요 원인균은 A. fumigatus, A. flavus, A. niger 등이며, 이 중 A. fumigatus가 가장 흔하다.

⑤ AIFRS의 감염 기전은 면역 억제, 환경적 노출, 혈관 침습의 세 가지 주요 요소로 설명될 수 있다.

문 3. 답 ②

해 설 ① AIFRS의 일반적인 1차 치료제는 L-AmB이나, Aspergillosis의 경우 voriconazole도 1차 치료제로 권장된다.

② Voriconazole은 침습성 Aspergillosis 감염의 1차 치료제로 권장된다. 무작위 대조 연구에서 voriconazole 투여 그룹이 amphotericin B 그룹보다 더 높은 성공적인 치료 결과를 보였다.

③ Mucormycosis는 voriconazole에 내성을 가지므로, L-AmB가 1차 치료제로 우선 사용되며, posaconazole과 isavuconazole은 대체 치료제로 고려될 수 있다.

④ Azole 내성이 확인된 경우, L-AmB가 대체 단독 치료제로 사용될 수 있다.

⑤ 병합 항진균 치료는 일반적으로 권장되지 않으며, AIFRS 환자의 다양한 원인균을 대상으로 한 여러 연구에서 polyene과 triazole의 병합 치료가 생존율을 유의미하게 향상시키지 못했다.

문 4. 답 ③

해 설 이 환자는 잘 조절되지 않는 당뇨병이라는 AIFRS의 주요 위험 인자를 가지고 있으며, 증상, 검사결과상 Mucormycosis의 소견이다.

1) Mucormycosis 1차 약물: Mucormycosis는 voriconazole에 대한 선천적 내성을 나타내므로, 1차 치료제로는 L-AmB가 권장된다. ①번의 voriconazole은 부적절하다.

2) 치료 원칙: AIFRS의 치료는 강력한 항진균제 요법과 감염 부위의 괴사 조직을 적극적으로 제거하는 수술적 절제가 반드시 병행되어야 한다.

3) ②번의 스테로이드 사용은 면역 기능을 억제하여 AIFRS의 발생률을 증가시키는 요인 중 하나이므로, 이 상황에서 고용량 스테로이드는 적절하지 않다.

4) ⑤번의 Echinocandins 계열은 일반적으로 AIFRS의 1차 치료제로 권장되지 않는다.

Otology

문 1. 답 ③

해 설 내시경 수술은 한 손에 내시경을 잡고 다른 손으로 조작하므로 출혈 제어나 양손 조작에는 불리하다. 나머지는 내시경 접근의 대표적인 장점이다.

참고 문헌: 대한이비인후과학회. 이비인후과학:이과. 개정2판. 파주: 군자출판사;2018. p.469-70.

문 2. 답 ②

해 설 IT-MAIS는 3개 영역(1) 소리에 대한 주의력 및 반응, 2) 환경음·음성 인식, 3) 의미 있는 청취 행동)을 중심으로 청각 자극이 아동의 행동에 의미 있게 통합되었는가를 평가한다.

참고 문헌: 대한이비인후과학회. 이비인후과학:이과. 개정2판. 파주: 군자출판사;2018. p.767.

Rhinology

문 1. 답 ④

해 설 Gillies 접근법은 측두근과 심층 측두근막 사이 해부학적 층을 따라 기구를 삽입하여 협골궁을 정복하는 방식이다.

참고 문헌: Yang SH, Jung HJ. Clinical experience of zygomatic arch fracture reduction using surgical navigation: a single-institution case series. Korean J Otorhinolaryngol-Head Neck Surg 2025;68(11):476-80.

대한이비인후과학회. 이비인후과학:비과. 개정2판. 파주: 군자출판사;2018. p.723.

문 2. 답 ③

해 설 ① 협골궁 주위 주변근육과 연조직의 지지구조가 존재하여 골절 정복 후 보통 더 이상의 골절고정은 필요없다.

② 협골궁 골절 정복술 시 측두근과 심층 측두근막 사이 해부학적 층을 따라 접근하므로, 안면신경은 박리 층을 따라 함께 거상되므로 신경 손상 없이 접근이 가능하다.

④ 협골궁 골절의 구외 접근법 중 가장 많이 이용되는 Gillies 접근법은 이륜의 전방, 상방 2.5 cm에서 전상방에서 후바방으로 천측두동맥을 피해서 1.5-2 cm의 절개를 가한다.

⑤ 협골궁은 비교적 약한 뼈로, 주로 협골 측두 봉합선(zygomaticotemporal suture line)이나 그 전후의 두 곳에서 골절되어 골절편이 내측으로 전위되면서 함몰한다.

참고 문헌: Yang SH, Jung HJ. Clinical experience of zygomatic arch fracture reduction using surgical navigation: a single-institution case series. Korean J Otorhinolaryngol-Head Neck Surg 2025;68(11):476-80.

대한이비인후과학회. 이비인후과학:비과. 개정2판. 파주: 군자출판사;2018. p.721, 723.

Head and Neck

문 1. 답 ③

해 설 본 연구에 따르면, 대한두경부외과학회 회원 59명 중 94.9%가 IOLNM을 사용하고 있었으며, 이 중 62.7%는 선택적으로, 32.3%는 일괄적으로 사용하였다. 이는 건강보험 급여 기준의 제한으로 인해 선택적 사용이 우세함을 보여준다.

참고 문헌: Kwak J, Ahn D, Heo SJ, Kim GJ, Kim H, Lee DW, et al. Intraoperative laryngeal nerve monitoring during thyroidectomy: survey for the current practices and patterns of the Korean Society of Head and Neck Surgery. Korean J Otorhinolaryngol-Head Neck Surg 2025;68(11):481-91.

문 2. 답 ⑤

해 설 INMSG 표준 지침에서는 IOLNM 절차를 다음 6단계로 정의한다: 1) 수술 전 후두경 검사(L1), 2) 수술 전 미주신경 자극(V1), 3) RLN 초기 자극(R1), 4) 갑상선 절제 후 RLN 자극(R2), 5) 수술 종료 후 미주신경 자극(V2), 6) 수술 후 후두경 검사(L2). 경부 초음파검사는 포함되지 않는다.

참고 문헌: Kwak J, Ahn D, Heo SJ, Kim GJ, Kim H, Lee DW, et al. Intraoperative laryngeal nerve monitoring during thyroidectomy: survey for the current practices and patterns of the Korean Society of Head and Neck Surgery. Korean J Otorhinolaryngol-Head Neck Surg 2025;68(11):481-91.

Randolph GW, Dralle H; International Intraoperative Monitoring Study Group; Abdullah H, Barczynski M, Bellantone R, et al. Electrophysiologic recurrent laryngeal nerve monitoring during thyroid and parathyroid surgery: international standards guideline statement. Laryngoscope 2011;121 Suppl 1:S1-16.

Article information Continued