| Home | E-Submission | Sitemap | Editorial Office |  
top_img
Korean Journal of Otorhinolaryngology-Head and Neck Surgery Search > Browse Articles > Search



A Case of Pulsatile Tinnitus Related to Idiopathic Intracranial Hypertension ( 9278 times )
Jong-Won Bae, Kyu-Yup Lee, Myung Hoon Yoo, Da Jung Jung
Korean J Otorhinolaryngol-Head Neck Surg. 2020;63(9):422-426.   Published online August 14, 2020
DOI: https://doi.org/10.3342/kjorl-hns.2020.00052
                        
kjorl-hns-2020-00052f1.jpgkjorl-hns-2020-00052f2.jpgt1-kjorl-hns-2020-00052.png
Otology
Pulsatile Tinnitus Related with Prominent Venous Plexus: Case Report and Literature Review ( 17701 times )
Hwaejoon Jung, Jeong-Rok Kim, Shin Hye Kim, Jae-Jun Song
Korean J Otorhinolaryngol-Head Neck Surg. 2017;60(1):38-43.   Published online January 21, 2017
DOI: https://doi.org/10.3342/kjorl-hns.2016.16803
                           Cited By 1
thum_kjorl-hns-2016-16803f1.gifthum_kjorl-hns-2016-16803f2.gifthum_kjorl-hns-2016-16803f3.gifthum_kjorl-hns-2016-16803f4.gifthum_kjorl-hns-2016-16803f5.gif
Pulsatile Tinnitus due to Intracranial Dural Arteriovenous Fistula after Head Trauma by a Golf Ball. ( 15728 times )
Yong Jun Choi, Se In Choi, Jae Jin Song, Joo Hyun Park
Korean J Otorhinolaryngol-Head Neck Surg. 2015;58(8):589-593.
DOI: https://doi.org/10.3342/kjorl-hns.2015.58.8.589
      
A Case of Dural Arteriovenous Fistula Involving Deep Vein to Brain Stem Treated by Transarterial Embolization. ( 5650 times )
Do Youn Kim, Young Wook Cho, Hong Ju Park, Dae Chul Suh
Korean J Otorhinolaryngol-Head Neck Surg. 2012;55(10):651-654.
DOI: https://doi.org/10.3342/kjorl-hns.2012.55.10.651
      
Surgical Treatment of Spontaneous Meningocele of the Temporal Bone Causing a Pulsatile Tinnitus. ( 3743 times )
Han Dong Kang, Sun Min Park, Sae Young Kwon, Chang Woo Kim
Korean J Otorhinolaryngol-Head Neck Surg. 2011;54(4):308-311.
DOI: https://doi.org/10.3342/kjorl-hns.2011.54.4.308
      
A Case of Pulsatile Tinnitus from Dehiscent High Jugular Bulb Treated by Reconstruction of the Hypotympanum. ( 2373 times )
See Ok Shin, Young Eun Moon, Seung Du Yoo, Min Sang Kim
Korean J Otorhinolaryngol-Head Neck Surg. 2008;51(8):751-754.
      
A Case of Pulsatile Tinnitus by Sigmoid Sinus Diverticulum. ( 6732 times )
Woo Ram Son, Sang Yeol Park, Se Hwan Hwang, Hyun Seok Lee
Korean J Otorhinolaryngol-Head Neck Surg. 2008;51(8):734-737.
      
A Case of Pulsatile Tinnitus with High Jugular Bulb Treated by Ligation of Internal Jugular Vein. ( 4015 times )
Shi Nae Park, Kyoung Ho Park, Dong Jae Im, Sang Won Yeo
Korean J Otorhinolaryngol-Head Neck Surg. 2007;50(12):1152-1156.
      
A Case of Therapeutic Percutaneous Embolization of Spontaneous Arteriovenous Fistulas with Pulsatile Tinnitus Involving the Branches of the Left External Carotid Artery. ( 2420 times )
Sang Heon Lee, Yong Joo Yoon, Seung Young Mun, Seung Cheol Choi
Korean J Otorhinolaryngol-Head Neck Surg. 2002;45(4):404-407.
      
Tinnitus Caused by Traumatic Posterior Auricular Artery-Internal Jugular Vein Fistula. ( 3440 times )
Sung Won Chae, Jae Hoon Cho, Han Kyu Suh, Soon Jae Hwang
Korean J Otorhinolaryngol-Head Neck Surg. 2001;44(1):101-104.
      
A Case of the Pulsatile Tinnitus due to Post-traumatic Arteriovenous Fistula Involving Superficial Temporal Artery Treated with Percutaneous Embolization. ( 3236 times )
See Young Park, Sang Chul Kim, Kyung Soo Lee, Ki Jae Lee
Korean J Otorhinolaryngol-Head Neck Surg. 2000;43(6):667-669.
      
Six Cases of Glomus Tumor. ( 2228 times )
Jeong Kueon Nam, Tae Hyun Yoon, Kwang Sun Lee
Korean J Otorhinolaryngol-Head Neck Surg. 1999;42(11):1370-1375.
      
A Case of Glomus Tympanicum. ( 2050 times )
Hyun Soo Shin, Tae Hyun Yoon, Hee Jong Chang, Jung Kueon Nam
Korean J Otorhinolaryngol-Head Neck Surg. 1998;41(3):401-404.
      
A Case of Jugular Bulb Diverticulum Accompanied with Pulsatile Tinnitus. ( 2835 times )
Ick Soo Choi, In Hee Moon, Byung Hun Jun
Korean J Otorhinolaryngol-Head Neck Surg. 1998;41(1):122-125.
      
An Objective Tinnitus Treated with Percutaneous Embolization in a Fistula of Superficial Temporal Artery ( 1535 times )
Yong Bum Cho, MD1;Haeng Jae Kim, MD1;Goh Wook Lee, MD1;Seong Hun Kim, MD1; and Jae Kyu Kim, MD2;
Korean J Otorhinolaryngol-Head Neck Surg. 1994;37(4):803-6.
      
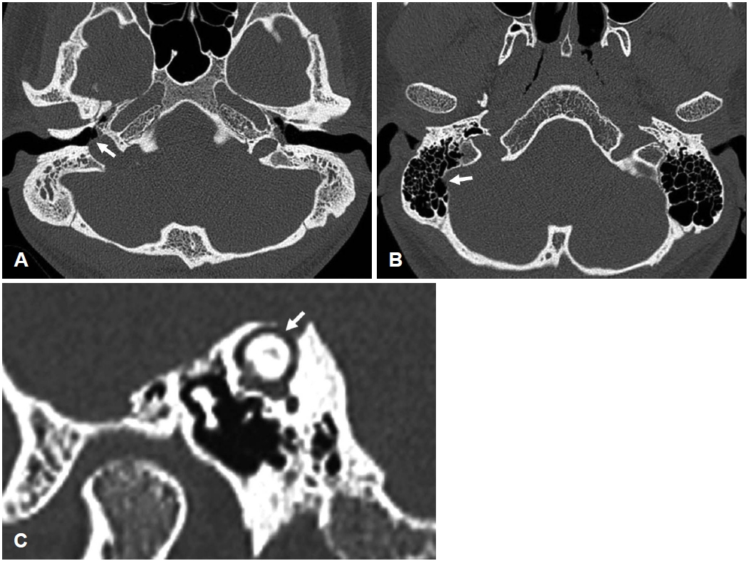
Carotid Artery-Cochlear Dehiscence Presenting With Pulsatile Tinnitus: A Case Report and Review of the Literature ( 440 times )
Ki Hun Jo, Jong Hyun Choi, Joo Yeon Kim, Jae Hwan Kwon
Received October 23, 2025     Accepted December 29, 2025     Published online February 10, 2026
DOI: https://doi.org/10.3342/kjorl-hns.2025.00521    
[Epub ahead of print]
                        
kjorl-hns-2025-00521f1.jpgkjorl-hns-2025-00521f2.jpg
E-Submission
Email Alert
Author's Index
endnote
SCImago Journal & Country Rank
Korean J Otorhinolaryngol-Head Neck Surg 2017;
kjorl-hns.2017.00304
Korean Society of Otorhinolaryngology-Head and Neck Surgery
Scopus
KoreaMed
KoMCI
ScienceCentral
GoogleScholar
Similarity Check
Crossref Cited-by Linking
CrossMark
Funder Registry
ORCID
KOFST
COPE
Editorial Office
Korean Society of Otorhinolaryngology-Head and Neck Surgery
103-307 67 Seobinggo-ro, Yongsan-gu, Seoul 04385, Korea
TEL: +82-2-3487-6602    FAX: +82-2-3487-6603   E-mail: kjorl@korl.or.kr
About |  Browse Articles |  Current Issue |  For Authors and Reviewers
Copyright © Korean Society of Otorhinolaryngology-Head and Neck Surgery.                 Developed in M2PI
Close layer
prev next