| Home | E-Submission | Sitemap | Editorial Office |  
top_img
Epub Ahead-of Print Articles > Browse Articles > Epub Ahead-of Print Articles



Articles in E-pub version are posted online ahead of regular printed publication.

Original Article
Rhinology
Clinical Experience of Zygomatic Arch Fracture Reduction Using Surgical Navigation: A Single-Institution Case Series
SeungHyuk Yang, Hahn Jin Jung
Received May 9, 2025     Accepted June 10, 2025     Published online September 30, 2025
DOI: https://doi.org/10.3342/kjorl-hns.2025.00248    
[Epub ahead of print]
      
How I Do It
Novel Therapeutic Meatoplasty Technique
Hee Won Seo, Sang-Yoon Han, Jae Ho Chung, Seung Hwan Lee
Received June 1, 2025     Accepted June 11, 2025     Published online September 29, 2025
DOI: https://doi.org/10.3342/kjorl-hns.2025.00283    
[Epub ahead of print]
      
Reviews
Clinical Application of Cryotherapy in Intractable Chronic Rhinitis
Se Hwan Hwang
Received July 10, 2025     Accepted July 28, 2025     Published online September 24, 2025
DOI: https://doi.org/10.3342/kjorl-hns.2025.00360    
[Epub ahead of print]
      
Transcanal Endoscopic Stapes Surgery: A Narrative Review
Seongjun Moon, Jin Woong Choi
Received June 12, 2025     Accepted July 25, 2025     Published online September 24, 2025
DOI: https://doi.org/10.3342/kjorl-hns.2025.00311    
[Epub ahead of print]
      
Invasive Fungal Rhinosinusitis: Clinical Features, Imaging Findings, and Treatment Outcomes
Ji Heui Kim
Received June 2, 2025     Accepted July 1, 2025     Published online September 24, 2025
DOI: https://doi.org/10.3342/kjorl-hns.2025.00290    
[Epub ahead of print]
      
Original Articles
Otology
The Impact of Hearing Aid Use on Sound Localization and Speech Recognition in Noise: A Longitudinal Study
Hyo Jung Choi, Yong-Hwi An, Dong Hyun Kim, Jae Hee Lee, Hyun Joon Shim
Received June 20, 2025     Accepted July 25, 2025     Published online September 24, 2025
DOI: https://doi.org/10.3342/kjorl-hns.2025.00346    
[Epub ahead of print]
      
Assessing the Effectiveness of a Tablet-Based Hearing Screening Device for School Hearing Screening
Chae-Yeon Yu, Jin Gyun Park, Chang Wook Kang, Jin Kyung Mok, Myung-Whan Suh, Jun Ho Lee, Moo Kyun Park
Received June 14, 2025     Accepted July 7, 2025     Published online September 24, 2025
DOI: https://doi.org/10.3342/kjorl-hns.2025.00332    
[Epub ahead of print]
      
How I Do Its
Single Port Hairline Approach Thyroidectomy
Ji Won Kim, Myung Woul Han
Received May 19, 2025     Accepted July 7, 2025     Published online September 24, 2025
DOI: https://doi.org/10.3342/kjorl-hns.2025.00262    
[Epub ahead of print]
      
Hybrid Technique for Inferior Turbinate Surgery
Dong Hyun Kim, Jin Lee, Jae Hoon Lee
Received June 15, 2025     Accepted July 4, 2025     Published online September 3, 2025
DOI: https://doi.org/10.3342/kjorl-hns.2025.00325    
[Epub ahead of print]
                        
kjorl-hns-2025-00325f1.jpgkjorl-hns-2025-00325f2.jpg
Case Reports
Preoperative Ultrasound Prediction and Intraoperative Neuromonitoring for Preservation of a Non-Recurrent Laryngeal Nerve During Thyroidectomy: A Case Report
Chang Heum Han, Jun Seop Kim, Sukjune Byun, Yong Jin Song
Received June 4, 2025     Accepted July 30, 2025     Published online September 3, 2025
DOI: https://doi.org/10.3342/kjorl-hns.2025.00297    
[Epub ahead of print]
                        
kjorl-hns-2025-00297f1.jpgkjorl-hns-2025-00297f2.jpgkjorl-hns-2025-00297f3.jpgkjorl-hns-2025-00297f4.jpg
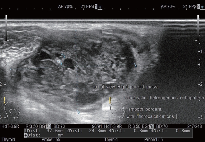
Malignant Peripheral Nerve Sheath Tumor Presenting as a Chronic Parotid Gland Mass: A Case Report
Wilson C. Zuñiga, Ida Marie Tabangay-Lim, Czarina Angelli L. Anastacio
Received November 6, 2024     Accepted June 16, 2025     Published online September 3, 2025
DOI: https://doi.org/10.3342/kjorl-hns.2024.00535    
[Epub ahead of print]
                        
kjorl-hns-2024-00535f1.jpgkjorl-hns-2024-00535f2.jpgkjorl-hns-2024-00535f3.jpgkjorl-hns-2024-00535f4.jpgkjorl-hns-2024-00535f5.jpg
Review
Medical Treatment of Acute Invasive Fungal Rhinosinusitis
Seok-Hwan Chung, Jin-Young Min
Received April 25, 2025     Accepted May 19, 2025     Published online August 6, 2025
DOI: https://doi.org/10.3342/kjorl-hns.2025.00213    
[Epub ahead of print]
                        
kjorl-hns-2025-00213f1.jpgt1-kjorl-hns-2025-00213.png
Original Articles
Head and Neck
Cellular Pleomorphic Adenoma in the Salivary Gland: Diagnostic and Therapeutic Approaches
Subi Oh, Ji Min Na, Junhun Cho, Han-Sin Jeong
Received April 30, 2025     Accepted May 30, 2025     Published online August 6, 2025
DOI: https://doi.org/10.3342/kjorl-hns.2025.00227    
[Epub ahead of print]
                        
kjorl-hns-2025-00227f1.jpgkjorl-hns-2025-00227f2.jpg
Otology
Multisensory Integration in Individuals With Various Hearing Characteristics Using Virtual Reality
Soojin Kang, Il Joon Moon, Hye Yoon Seol
Received April 23, 2025     Accepted June 2, 2025     Published online August 6, 2025
DOI: https://doi.org/10.3342/kjorl-hns.2025.00206    
[Epub ahead of print]
                        
kjorl-hns-2025-00206f1.jpgkjorl-hns-2025-00206f2.jpg
Head and Neck
Intraoperative Laryngeal Nerve Monitoring During Thyroidectomy: Survey for the Current Practices and Patterns of the Korean Society of Head and Neck Surgery
Jihye Kwak, Dongbin Ahn, Sung Jae Heo, Geun-Jeon Kim, Heejin Kim, Dong Won Lee, Kwang Jae Cho
Received April 2, 2025     Accepted May 12, 2025     Published online August 6, 2025
DOI: https://doi.org/10.3342/kjorl-hns.2025.00164    
[Epub ahead of print]
                        
kjorl-hns-2025-00164f1.jpgt1-kjorl-hns-2025-00164.png
Otology
Hearing Loss in the Elderly and Risk Factors Affecting the Condition of Hearing Loss Amongst the Elderly
Ha Nguyen Anh Thu, Nguyen Thanh Vu, Tran Phan Chung Thuy
Received March 6, 2025     Accepted April 28, 2025     Published online August 6, 2025
DOI: https://doi.org/10.3342/kjorl-hns.2025.00129    
[Epub ahead of print]
                        
t2-kjorl-hns-2025-00129.pngt3-kjorl-hns-2025-00129.png
Case Reports
Secondary Adrenal Insufficiency Presenting as Petrified Ear Accompanied by Patulous Eustachian Tube: A Novel Combination
Ji Hyun Bae, Dongwon Yi, Jung Hee Lee, Hyun Min Lee
Received April 8, 2025     Accepted May 27, 2025     Published online August 6, 2025
DOI: https://doi.org/10.3342/kjorl-hns.2025.00185    
[Epub ahead of print]
                        
kjorl-hns-2025-00185f1.jpgkjorl-hns-2025-00185f2.jpgkjorl-hns-2025-00185f3.jpg
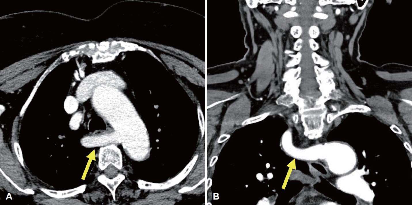
Epithelioid Hemangioendothelioma Arising From the Upper Mediastinum
Gun Ju Kim, Juwon Hwang, Joo Yeon Koo, Joon Kyoo Lee
Received April 2, 2025     Accepted May 29, 2025     Published online August 6, 2025
DOI: https://doi.org/10.3342/kjorl-hns.2025.00171    
[Epub ahead of print]
                        
kjorl-hns-2025-00171f1.jpgkjorl-hns-2025-00171f2.jpgkjorl-hns-2025-00171f3.jpgkjorl-hns-2025-00171f4.jpgkjorl-hns-2025-00171f5.jpg
Original Articles
Otology
Efficacy of Endoscopic Push-Through Perichondrial Myringoplasty Without Tympanomeatal Flap Elevation
Tae Hoon Lee, Soo Jeong Choi, Jiwon Chang, Gi Jung Im, Euyhyun Park
Received March 20, 2025     Accepted April 10, 2025     Published online June 30, 2025
DOI: https://doi.org/10.3342/kjorl-hns.2025.00143    
[Epub ahead of print]
                        
kjorl-hns-2025-00143f1.jpgt1-kjorl-hns-2025-00143.pngt2-kjorl-hns-2025-00143.pngt3-kjorl-hns-2025-00143.pngt4-kjorl-hns-2025-00143.png
Temporal Properties of Vocal Turn-Taking in Parent-Toddler Interactions of Toddlers With Cochlear Implants
Gangeun Lee, Youngmee Lee
Received February 19, 2025     Accepted April 7, 2025     Published online June 30, 2025
DOI: https://doi.org/10.3342/kjorl-hns.2025.00101    
[Epub ahead of print]
                        
kjorl-hns-2025-00101f1.jpgkjorl-hns-2025-00101f2.jpgt1-kjorl-hns-2025-00101.pngt2-kjorl-hns-2025-00101.png
E-Submission
Email Alert
Author's Index
endnote
SCImago Journal & Country Rank
Korean J Otorhinolaryngol-Head Neck Surg 2017;
kjorl-hns.2017.00304
Korean Society of Otorhinolaryngology-Head and Neck Surgery
Scopus
KoreaMed
KoMCI
ScienceCentral
GoogleScholar
Similarity Check
Crossref Cited-by Linking
CrossMark
Funder Registry
ORCID
KOFST
COPE
Editorial Office
Korean Society of Otorhinolaryngology-Head and Neck Surgery
103-307 67 Seobinggo-ro, Yongsan-gu, Seoul 04385, Korea
TEL: +82-2-3487-6602    FAX: +82-2-3487-6603   E-mail: kjorl@korl.or.kr
About |  Browse Articles |  Current Issue |  For Authors and Reviewers
Copyright © Korean Society of Otorhinolaryngology-Head and Neck Surgery.                 Developed in M2PI
Close layer
prev next