Review
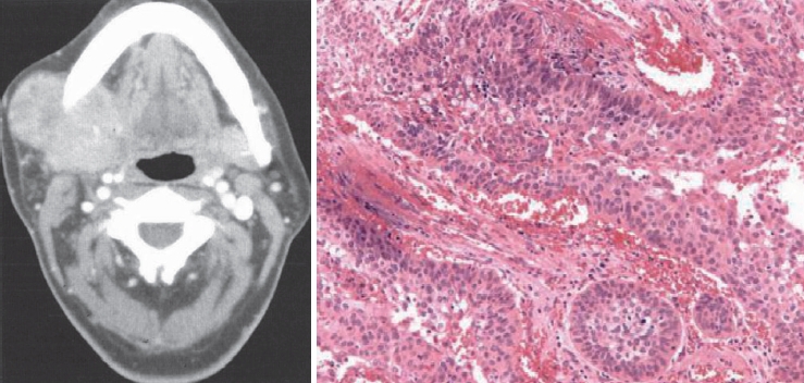
문 1. 30세 여자 환자가 1년 전에 발견한 우측 귀 밑 종물을 주소로 내원하였다. 외래에서 시행한 전산화단층촬영 소견은 다음과 같다. 이 환자에게 수술을 시행한 후 얻은 검체에 대한 병기 소견이다. 이에 대한 설명 중 옮은 것은?
① 이하선에 발생한 양성 종양이기 때문에 수술을 통해 완치되며 추가적인 치료는 필요 없다.
② 타액선 암종의 치료에서는 안면신경 등 중요한 구조물이 많기 때문에 수술 후 안면신경마비 가능성을 설명하고 신경 침범이 의심되는 경우 신경 이식술을 고려한다.
③ 타액선 암종은 방사선 치료와 항암 치료에 반응이 좋기 때문에 주위조직 침범이 의심되면 제거하지 않고 방사선 치료를 병행한다.
④ 타액선 암종은 조직학적 등급에 상관없이 림프절 전이가 드물기 때문에 수술 전 영상검사에서 림프절 전이가 의심되지 않으면 예방적 경부 림프절 절제술을 시행할 필요가 없다.
⑤ 타액선 암종의 수술 범위는 악성도가 높은 경우 이하선 천엽 절제술만으로 충분하다.
문 2. 안면 종물을 주소로 내원한 환자에게 다음과 같은 수술을 시행하였다. 이에 대한 수술 설명 중 옮은 것은?
① 수술 후 나타나는 Frey 증후군을 방지하기 위해 피판을 가능한 얇게 박리하는 것이 좋다.
② 전신마취하에서 시행되며 마취과 의사에게 근육이완제의 사용을 최대한 요청하여 수술 중 환자의 움직임을 방지하여야 한다.
③ 안면신경 박리를 위한 해부학적 치료에는 이주연골, 고실유동봉합, 후이복근의 근육 부착 부위 등을 기준으로 삼아 안면신경의 위치를 가늠할 수 있다.
④ 종양으로 접근을 용이하기 위해서 가능한 종양에 가장 가까운 안면 피부에 절개를 가한다.
⑤ 수술 중 대이개신경을 보존하면 수술 후 안면 신경 마비의 발생 가능성을 감소시킬 수 있으므로, 가능한 보존에 주의를 기울여야 한다.
Otology
문 1. 이명과 수면장애에 대한 설명 중 옳지 않은 것은?
① 이명 환자의 불만사항 중 가장 많은 것 중 하나는 수면장애이다.
② 수면장애와 이명 사이의 정확한 관계가 규명되지는 않았지만, 수면장애와 이명 모두에서 co-morbidity rate과 cognitive behavior therapy (CBT)에서 두 질환의 관계에 대해 연관성이 보인다.
③ 우리 나라의 이명 환자는 매년 약 2.3%씩 증가하고 있는 추세이다.
④ 이명이 지속되면 피로, 스트레스, 불면증을 유발할 수 있으며 우울증, 불안장애, 인지장애 등 심리적 장애로도 나타날 수 있다.
⑤ 이명의 원인을 분명하게 설명하는 모델은 “neurophysiological” 모델로만 설명된다.
문 2. 다음 중 만성중이염에 대한 설명과 그 수술에 대한 설명이다. 다음 중 옳지 않은 것은?
① 만성 중이염은 고막결손과 중이 병변에 의한 난청 및 이루를 주증상으로 한다.
② 만성 중이염에 대한 수술적 치료로써 시행되는 유돌절제술은 비가역적 유돌부 병변의 제거와 청각재건을 목적으로 한다.
③ 제1형 고실성형술은 고막 재생을 통해 반복되는 중이 염증을 예방하고, 소리에너지를 이소골을 통해 내이로 효율적으로 전달함으로써 술후 청력개선을 목표로 한다.
④ 유돌절제술은 만성중이염 치료로써 흔히 시행되는 술식으로, 천공된 고막과 이소골 재건을 위해 유돌절제술이 단독적으로 시행된다.
⑤ 만성 중이염에서 고막천공이 발생할 경우 주로 전음성 난청을 보이게 된다.
Head and Neck
정답 및 해설
Review
문 1. 답 ②
해 설 참고 문헌: 대한이비인후과학회. 이비인후과학:두경부. 파주: 군자출판사;2018. p.359-73.
문 2. 답 ③
해 설 참고 문헌: 대한이비인후과학회. 이비인후과학:두경부. 파주: 군자출판사;2018. p.359-73.
Otology
문 1. 답 ⑤
해 설 이명 환자의 불만사항은 수면장애가 가장 많았고, 다른 연구에서도 유병률이 56.9%에 달해 가장 많이 언급되는 문제였다. 수면장애와 이명 사이의 정확한 관계가 규명되지는 않았지만, 수면장애와 이명 모두에서 상당한 공동질환률과 인지행동치료(CBT)에서 두 질환의 관계에 대해 연관성이 보인다. 국민건강보험공단은 매년 2.3%씩 증가하는 이명 환자를 치료하고 검사하는 데 총 270억 원을 사용하고 있다. 이명이 지속되면 피로, 스트레스, 불면증을 유발할 수 있으며 우울증, 불안장애, 인지장애 등 심리적 장애로도 나타날 수 있다. 일반적으로 청력 손실과 관련이 있지만, 이명의 정확한 원인은 불분명하다. 최근에는 이명 “신생리학” 모델이 엄격하게 연구되고 있다.
참고 문헌:
Park KH, Lee SH, Koo JW, Park HY, Lee KY, Choi YS, et al. Prevalence and associated factors of tinnitus: Data from the Korean National Health and Nutrition Examination Survey 2009-2011. J Epidemiol 2014;24(5):417-26.
Saunders JC. The role of central nervous system plasticity in tinnitus. J Commun Disord 2007;40(4):313-34.
Gomaa MAM, Elmagd MHA, Elbadry MM, Kader RMA. Depression, anxiety and stress scale in patients with tinnitus and hearing loss. Eur Arch Otorhinolaryngol 2014;271(8):2177-84.
문 2. 답 ④
해 설 ① 만성 중이염은 고막결손과 중이 병변에 의한 난청 및 이루를 주증상으로 한다.
② 이에 대한 수술적 치료로써 시행되는 유돌절제술은 비가역적 유돌부 병변의 제거와 청각재건을 목적으로 한다.
③ 그 중 제1형 고실성형술은 고막 재생을 통해 반복되는 중이 염증을 예방하고, 소리에너지를 이소골을 통해 내이로 효율적으로 전달함으로써 술후 청력개선을 목표로 한다.
④ 유돌절제술은 만성중이염 치료로써 흔히 시행되는 술식으로 유돌절제술만 단독적으로 시행되는 경우도 있으나, 대부분 천공된 고막과 파괴된 이소골 재건을 도모하고자 고실성형술을 동반한다.
⑤ 만성 중이염에서 고막천공이 발생할 경우 주로 전음성 난청을 보이게 된다.
참고 문헌:
Brackmann DE. Tympanoplasty with mastoidectomy: Canal wall up procedures. Am J Otol 1993;14(4):380-2.
Lade H, Choudhary SR, Vashishth A. Endoscopic vs microscopic myringoplasty: A different perspective. Eur Arch Otorhinolaryngol 2014;271(7):1897-902.
Pfammatter A, Novoa E, Linder T. Can myringoplasty close the air-bone gap?. Otol Neurotol 2013;34(4):705-10.
Rhinology
문 1. 답 ②
해 설 미각장애가 있는 환자에서 미각검사와 후각검사를 동시에 시행하는 것이 좋으며, 미각검사는 미각의 4가지 기본 성질에 대해서 검사를 시행한다. 즉, 단맛의 자당(sucrose), 짠맛의 소금, 신맛의 구연산, 쓴맛의 키니네 혹은 카페인 등이다. 매운 맛의 경우 미각의 기본 성질이 아니며 통각으로 생각된다.
참고 문헌: 대한이비인후과학회. 이비인후과학:비과. 파주: 군자출판사;2018. p.160.
문 2. 답 ③
해 설 두부손상 시 미각장애의 경우 후각손상에 비해 빈도가 낮은 편이다. 또한, 예후도 후각소실에 비해 좋은 것으로 알려져 있으며, 단맛이 가장 먼저 회복된다고 한다. 말초성신경손상의 경우 측두골골절 혹은 중이수술 시 고삭신경(chorda tympani nerve), 두경부 수술 시 설신경(lingual nerve)손상 가능성이 있다. 설신경 손상 후에도 7-32개월에 문합술을 시행하면 미각기능이 회복될 수 있다.
참고 문헌: 대한이비인후과학회. 이비인후과학:비과. 파주: 군자출판사;2018. p.159.
Head and Neck
문 1. 답 ②
해 설 Flap의 venous congestion이 발생하면 울혈로 인해 blue 또는 purple 색깔을 띄고 팽창하는 양상을 보이며 capillary refill이 2초 이내로 빠르게 관찰된다. 온도는 경우에 따라 다르지만 혈류장애가 발생하면 차갑게 변하며, 변연에서 출혈이 많은 경향을 보이게 된다. 정맥 울혈이 의심되면 피판의 재생을 위하여 조기에 재관류 수술해야 한다.
문 2. 답 ①
해 설 하마종은 타액의 일부가 연조직 내 고이는 낭종으로 상피세포가 없는 가성 낭종이다. 절개배농은 단지 증상을 완화시키는 방법에 불과하고 낭종 내 상피가 없으므로 조대술은 시행하기 어렵다. 원인이 되는 분비선을 절제하여야 하기 때문에 하마종의 원인인 설하선 절제가 가장 재발율을 낮추는 방법이라 할 수 있다.












