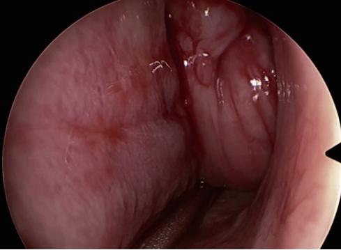
18세 남자 환자가 6개월 전부터 반복되는 우측의 심한 코피와 코막힘을 주소로 내원하였다. 비강 내시경 검사 소견이 아래와 같았다. 다음 환자에서 시행해야 할 검사 및 처치로 가장 적절한 것을 고르시오.
① 외래에서 조직생검
② 혈장 Epstein-Barr virus DNA
③ 조영 증강 CT/MRI
④ 조대술(marsupialization)
⑤ 동시 화학 방사선 요법(concurrent chemoradiation)
18세 남자 환자가 6개월 전부터 반복되는 우측의 심한 코피와 코막힘을 주소로 내원하였다. 비강 내시경 검사 소견이 아래와 같았다. 다음 환자에서 시행해야 할 검사 및 처치로 가장 적절한 것을 고르시오.
① 외래에서 조직생검
② 혈장 Epstein-Barr virus DNA
③ 조영 증강 CT/MRI
④ 조대술(marsupialization)
⑤ 동시 화학 방사선 요법(concurrent chemoradiation)
|

![]() |
![]() |