![]() |
![]() |
AbstractEmpty nose syndrome is a rare complication caused by excessive removal of normal tissues after nose surgery. The main symptoms of empty nose syndrome are paradoxical nasal obstruction, dryness, crust and dyspnea. Medical treatments such as irrigation, humidification, and ointment are not very effective, so surgical treatments to reconstruct the normal nasal cavity using implant materials are often considered. If the implant is not properly inserted, the symptoms persist and the implant must be removed again, resulting in the only donor site complications. Therefore, it is essential to treat the implant well and insert it precisely. Here we describe a surgical procedure to manage implant materials using autologous costal cartilage in the form of block, diced, and crushed cartilage for augmentation technique.
서 론빈코 증후군은 정상적인 비강 생리의 장애를 유발하는 코수술 후 드물게 발생하는 합병증으로 알려져 있다. 원인은 주로 비갑개를 과도하게 절제한 후 의인성으로 발생하며, 증상은 역설적인 코 막힘, 비강 내 건조감, 딱지, 악취, 호흡곤란 등이 주로 나타난다. 빈코 증후군의 치료로 생리식염수 세척, 가습, 연고 도포 등의 비수술적 치료를 먼저 시행하게 되며 이에 반응이 없는 경우 비강 내 구조물을 재건하는 수술적 치료를 고려해볼 수 있다[1]. 비중격연골, 이개연골 등의 자가연골을 비중격 또는 비강저에 넣어 비강 내 용적을 줄이는 술식을 주로 사용하며 최근에는 빈코증후군의 병태생리를 고려한 생체공학물질을 이식물로 사용하기도 한다[2]. 빈코 증후군의 치료에서 늑연골이 이개연골보다 우수한 결과를 보였다는 보고가 있으며, 잘게 자른 연골(diced cartilage)을 이식물로 사용한 증례도 보고된 바 있다[3,4]. 최근 비성형술에서 비배 융비술(dorsal augmentation)에서 잘게 자른 연골 및 압착한 연골(diced and crushed cartilage)이 자주 사용되고 있으며 성공적인 결과를 보이고 있다[5-7].
이식물을 제대로 삽입하지 않으면 환자의 증상은 지속되고 삽입한 이식물을 다시 제거해야 하며 공여부(donor site)의 합병증만 생기게 된다. 한 번의 수술로 적절하게 이식물을 잘 처치하여 정교하게 삽입하는 것이 빈코 증후군 치료에서 가장 중요하다. 한 번에 원하는 크기를 재단하여 충분한 재건을 하는 데 어려움이 있고, 이식물을 조작하고 삽입하는 과정에서 반복적으로 이식물을 넣었다 빼면서 점막 손상을 일으킬 수 있다. 그래서 부분적으로 재건하고 반대쪽 정상 구조와 비교하며 융비술을 통하여 추가적으로 재건하는 것이 도움이 된다.
이에 저자들은 빈코 증후군 환자에서 기존의 하비갑개가 존재하였던 비강의 하외측(inferolateral)에 자가 늑연골을 블록 형태(block)로 부분적으로 재건을 하고 잘게 자른 늑연골(diced costal cartilage) 및 압착한 늑연골(crushed costal cartilage)을 의학용 풀로 섞은 이식물을 내측(medial)에 삽입하여 융비(augmentation)를 시행하는 술식을 소개하고자 한다.
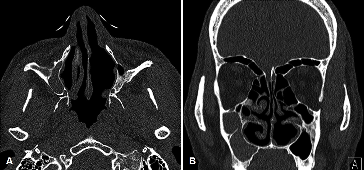
방 법수술 전 평가수술 전 평가과정에서 비내시경 검사를 통해 환측 하비갑개가 건측에 비해 심한 결손과 위축이 있는지 확인하고 정확한 문진을 통해 코 수술 과거력을 파악하였다(Fig. 1). 알레르기 검사, 후각검사를 시행하였으며 증상의 정도를 평가하기 위한 sino-nasal outcome test (SNOT-22) 설문지를 시행하였다. 전산화단층촬영(CT)을 통해서 환측 하비갑개가 건측에 비해 결손된 부분이 있는지, 다른 해부학적 이상이 없는지 다시 확인하였다(Fig. 2). 빈코 증후군의 진단에 도움이 되는 cotton test를 시행하였으며 생리식염수를 적신 솜을 비강 내에 넣어둔 상태에서 증상이 호전되는지 확인하였다.
도안 및 설계전신마취를 시행하였고 일반적인 비내시경 수술과 같이 기구를 준비하고 환자 자세를 조정하였으며, 늑연골 채취를 위해 흉부를 노출할 수 있도록 드랩을 시행하였다. 비내시경을 통해 비강 내 하외측부에 이식물을 삽입할 공간을 확인하고 비강저에 절개부위를 디자인하였다. 1:100000 에피네프린과 2% 리도카인 혼합용액을 통해 국소마취를 시행한 후 15번 blade를 이용하여 절개를 시행하였다. Freer 거상기, boive 등을 이용하여 점막하 박리를 시행하였으며 재건을 위한 공간을 충분히 확보하였다. 수술용 자를 통하여 재건에 필요한 연골의 크기를 측정하였다.
늑연골 채취 및 삽입7번 늑막에서 재건에 필요한 늑연골을 충분히 채취하였다. 해부학적 지표들을 촉지하여 표시한 후 절개선을 디자인하여 7번 늑막에서 재건에 필요한 늑연골을 충분히 채취하였다. 기흉(pneumothorax)의 합병증 여부를 확인하기 위해 채취한 공여부에 생리식염수를 채운 후 기계환기를 통해 발살바 조작(Valsalva maneuver)을 시행하였다. 이상소견이 없는 것을 확인하고 절개부위를 비흡수성 봉합사(Dermalon 3-0; Covidien, North Haven, CT, USA)로 봉합하였다.
늑연골의 재단채취한 늑연골을 이식에 가장 적합한 3가지 형태로 재단하였다. 먼저, 블록 형태로 비강에서 측정한 적당한 크기로 재단하였다(block costal cartilage). 남은 늑연골을 10번 blade와 dermatome blade를 통해 2×2 mm 크기로 잘게 자른 후(diced costal cartilage), 나머지 늑연골을 10번 blade를 통해 얇게 자른다. 얇게 자른 연골을 연골 분쇄기에 넣고 mallet으로 압착시킨다(crushed costal cartilage). 반 원통형으로 자른 3 cc 시린지에 잘게 자른 늑연골과 압착한 늑연골을 넣고, 의학용 풀을 넣고 다른 반 원통형으로 자른 3 cc 시린지로 눌러 고정하였다. 새로 만든 융비 이식물을 블록형태의 늑연골과 같은 길이로 재단을 하였다(Fig. 3).
이식물 삽입먼저 블록 형태의 이식물을 박리한 비강의 하외측부에 삽입하였다. 반대편 정상 비강 구조와 비교하면서 잘게 자른 늑연골 및 압착한 늑연골을 의학용 풀로 섞어 만든 융비 이식물을 블록형태로 이식된 늑연골의 내측에 삽입하여 융비술(augmentation)을 시행하였으며 매끈하게 점막이 재건된 것을 확인하였다(Fig. 3).
결 과수술 후 외래에 방문하여 패킹을 모두 제거하였으며 비내시경 검사상 수술 전과 비교하여 비강 용적이 좁아지고 매끈한 점막으로 재건된 것을 확인할 수 있었다. 수술 후 1개월 외래 추적 관찰에서 코 막힘, 건조감, 딱지의 증상은 모두 호전되었으며 SNOT-22 설문지에서도 호전을 확인하였다. 수술 후 3개월 외래 추적 관찰 후 치료를 종결하였다(Fig. 4).
고 찰빈코 증후군의 병태생리는 해부학적 구조, 공기흐름 분석, 점막 상태 등으로 다양하게 해석되고 있지만, 최근 체계적인 검토 논문(systemic review)에서도 여전히 불분명한 것으로 나타났다. 빈코 증후군 환자에서 불안, 우울감 및 과호흡 증후군의 빈도가 유의미하게 높은 것으로 나타났다[8]. 빈코 증후군은 코 수술 후 생길 수 있는 드문 합병증이지만 객관적 검사와 주관적 증상의 일치가 이뤄지지 않고 진단이 어렵다. 그리고 수술적 치료 후에 의인성으로 발생하는 경우가 많아 환자와의 신뢰관계가 손상된 경우가 많고 빈코 증후군 환자들이 우울감과 불안이 주로 동반되어 치료에 어려움이 많다.
빈코 증후군의 이식물질로 여러 인공물질에 대한 연구가 활발히 진행되고 있지만 감염, 탈출, 생체 적합성 등의 문제로 자가 연골의 선호도가 여전히 높은 상태이다[2]. 아울러 최근 자가 연골을 이용한 비성형 술식의 발달로 자가 이식 물질을 채취하는 것에 대한 부담이 줄어들었고 자가 연골 이식을 통한 긍정적인 결과들이 많이 보고되고 있다[9,10]. 빈코 증후군에서 과거 수술에서 비중격 성형술을 함께 시행한 경우가 많아 비중격 연골 존재 여부가 명확하지 않고 비중격 연골의 양이 부족한 경우가 많다. 이개연골을 이용할 경우 충분한 양을 채취하지 못하거나 모양을 제대로 만들지 못하는 단점이 있다. Jung 등[3]의 연구에서 늑연골이 둥글고 충분한 양을 채취할 수 있으며 하비갑개의 구조와 같이 원하는 모양으로 만들 수 있다는 장점을 보고한 바 있다. 환자에 따라 재건이 필요한 모양과 크기, 증상에 따라 이식물을 결정하고 적절하게 채취하는 것이 중요하며, 각 연골들을 부작용 없이 자유자재로 채취하여 재단할 수 있는 것이 수술적 치료에서 필수적이다. 이식물을 한 번에 블록 형태로 넣는 것이 이상적일 수 있으나, 정확한 크기를 한 번에 만드는게 현실적으로 어려움이 있으며, 큰 이식물을 한 번에 삽입하기 위해 절개선이 커질 수 있다. 그리고 이식물 크기를 조정하기 위해 여러 번 넣었다가 빼서 다시 재단하는 과정이 수술 시간을 길게 하고 점막의 손상을 일으킬 수 있다. 따라서 본 술식에서 블록 형태로 부분적으로 재건하여 흡수율을 줄이고 결과물에 따라 필요한 만큼을 재단하여 추가적으로 융비술을 하는 것이 환자 맞춤형으로 적절하게 치료할 수 있을 것으로 생각된다.
빈코 증후군 환자에서 공기역학적 흐름의 차이를 전산화하여 비교한 논문에 따르면 비강 기류 뿐만 아니라 점막의 기능이 빈코 증후군의 증상을 일으키며, 하비도에 융비를 시행한 후 기류가 제대로 복원된 것을 확인할 수 있었다[11-13]. 본 술식을 통해 점막 손상을 줄이면서 하비도 기류의 흐름을 복원하는 것이 빈코 증후군의 증상을 개선하는 데 도움이 될 것으로 생각된다. 3가지 형태(block, diced, crushed)로 늑연골을 재단해서 블록 형태로 먼저 재건을 한 후 점막과 닿는 부분을 부분적으로 융기하는 형식의 수술 방법이 술후 성공률을 높일 수 있는 방법들 중 하나가 될 것이라고 저자들은 제안하는 바이다.
Supplementary MaterialThe Data Supplement is available with this article at https://doi.org/10.3342/kjorl-hns.2022.00584.
NotesAuthor Contribution Conceptualization: Sang Jae Lee, Hyung Gyun Na. Data curation: Sang Jae Lee, Yoon Seok Choi. Formal analysis: Chang Hoon Bae, Hyung Gyun Na. Investigation: Yoon Seok Choi, Chang Hoon Bae. Methodology: Sang Jae Lee, Hyung Gyun Na. Project administration: Yong-Dae Kim, Chang Hoon Bae. Resources: Yong-Dae Kim, Si-Youn Song. Supervision: Hyung Gyun Na. Visualization: Sang Jae Lee, Si-Youn Song. Writing—original draft: Sang Jae Lee. Writing—review & editing: Sang Jae Lee, Hyung Gyun Na. Fig. 1.Pre operative nasal endoscopic view shows defect and atrophy at left inferior turbinate compared with right inferior turbinate. Right (A) and left (B). Fig. 2.Pre operative CT scan shows defect and atrophy at left inferior turbinate compared with right inferior turbinate. Axial (A) and coronal (B). Fig. 3.Inferior turbinate reconstruction procedures with autologous costal cartilage graft. Block insertion at left nasal floor (A), augmentation graft with diced and crushed costal cartilage mixed with glue (B), and intra operative nasal endoscopic view shows well-reconstructed and regular surface at left inferior turbinate (C). *indicates the location where the reconstruction was done. REFERENCES1. Chhabra N, Houser SM. The diagnosis and management of empty nose syndrome. Otolaryngol Clin North Am 2009;42(2):311-30, ix.
2. Gordiienko IM, Gubar OS, Sulik R, Kunakh T, Zlatskiy I, Zlatska A. Empty nose syndrome pathogenesis and cell-based biotechnology products as a new option for treatment. World J Stem Cells 2021;13(9):1293-306.
3. Jung JH, Baguindali MA, Park JT, Jang YJ. Costal cartilage is a superior implant material than conchal cartilage in the treatment of empty nose syndrome. Otolaryngol Head Neck Surg 2013;149(3):500-5.
4. Chang CF. Using platelet-rich fibrin scaffolds with diced cartilage graft in the treatment of empty nose syndrome. Ear Nose Throat J. In press 2021.
5. Tasman AJ. Dorsal augmentation-diced cartilage techniques: The diced cartilage glue graft. Facial Plast Surg 2017;33(2):179-88.
6. Cakmak O, Buyuklu F. Crushed cartilage grafts for concealing irregularities in rhinoplasty. Arch Facial Plast Surg 2007;9(5):352-7.
7. Lee YH, Choi YS, Bae CH, Song SY, Kim YD, Na HG. Crushed septal cartilage-covered diced cartilage glue (CCDG) graft: A hybrid technique of crushed septal cartilage. Aesthetic Plast Surg. In press 2021.
8. Kanjanawasee D, Campbell RG, Rimmer J, Alvarado R, Kanjanaumporn J, Snidvongs K, et al. Empty nose syndrome pathophysiology: A systematic review. Otolaryngol Head Neck Surg 2022;167(3):434-51.
9. Ma J, Cai L, Wang K, Wang C, Li X, Zhao X, et al. [Costal cartilage for rhinoplasty]. Chinese Journal of Plastic Surgery 2016;32(1):25-8.
10. Boccieri A, Marano A. The conchal cartilage graft in nasal reconstruction. J Plast Reconstr Aesthet Surg 2007;60(2):188-94.
11. Li C, Farag AA, Maza G, McGhee S, Ciccone MA, Deshpande B, et al. Investigation of the abnormal nasal aerodynamics and trigeminal functions among empty nose syndrome patients. Int Forum Allergy Rhinol 2018;8(3):444-52.
|
|
|||||||||||||||||||||||||||||||||||||||||

![]() |
![]() |