Review
문 1. 다음 중 음성장애 환자의 자기보고식 평가도구(patient-reported outcome measures)에 해당하지 않는 검사 방법은?
① Voice fatigue index (VFI)
② Voice handicap index (VHI)
③ Voice Symptom Scale (VoiSS)
④ Consensus Auditory-Perceptual Evaluation of Voice (CAPE-V)
⑤ Thyroidectomy-related Voice and Symptom Questionnaire (TVSQ)
문 2. VHI의 설명으로 옳은 것은?
① 점수 측정 방식은 visual analogue scale이다.
② 기능, 신체, 정서적 측면 등 총 3개의 하부 영역으로 구성되어 있다.
③ 점수가 낮을 수록 음성장애로 인한 일상의 불편이 큰 것을 의미한다.
④ 응답에 걸리는 시간적 부담을 감소시킨 축약형 문항으로 VHI-30이 있다.
⑤ 후두의 양성성대점막 질환에 의한 음성장애에만 사용 가능한 제한점이 있다.
문 3. 직업 또는 사회 생활에서 발생하는 음성 장애를 측정하는 데 특화되어 있는 자기보고식 평가도구는?
① Voice fatigue index (VFI)
② Voice Symptom Scale (VoiSS)
③ Voice Catastrophization Index (VCI)
④ Vocal Tract Discomfort scale (VTDS)
⑤ Voice Activity and Participation Profile (VAPP)
문 4. 다음 중 표준점수를 산출하여 평가하는 자기보고식 평가도구는?
① Voice handicap index (VHI)
② Voice Symptom Scale (VoiSS)
③ Voice Catastrophization Index (VCI)
④ Vocal Tract Discomfort scale (VTDS)
⑤ Voice-related Quality of Life (VQOL)
Otology
문 1. 메니에르병으로 진단받은 41세 여자 환자가 일년 동안의 내과적 치료를 하였으나 호전되지 않았다. 우측은 40 dB HL, word recognition score는 70%였고, 좌측은 정상이었다. 우측을 수술을 시행한다면 어떤 수술을 시행하겠는가?
① 내림프낭 감압술(endolymphatic sac decompression)
② 구형낭천자술(cochleosacculotomy)
③ 후반고리관 폐쇄술(posterior semicircular canal obliteration)
④ 단신경 절제술(singular neurectomy)
⑤ 미로절제술(labyrinthectomy)
문 2. 현미경을 이용하는 것과 비교하여 내시경을 이용한 중이 수술의 장점으로 다음 중 옳은 것은?
① 술자로 하여금 양손을 자유롭게 사용할 수 있다.
② 수술 시야가 넓으며, 양안시를 제공한다.
③ 유양동 내에 병변이 있으면 동시 유양동 수술이 가능하다.
④ 깊이감각이 좋고, 열원에 의한 손상 가능성이 적다.
⑤ 중이강 내에 원거리에 위치한 곳까지 접근할 수 있다.
Rhinology
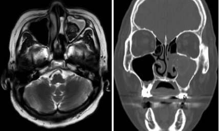
문 1. 79세 여자 환자가 좌측 비강 내 종물 소견으로 내원하였고, 이후 촬영한 CT 소견과 수술실 소견은 다음과 같다. 이 질환에 대해 옳은 것은?
① Alternaria가 주된 원인 균주이다.
② 진균에 대한 면역학적 반응이 주된 발병 기전이다.
③ 균사가 조직 내로 침범하는 침습성 형태의 부비동염이다.
④ 상악치아의 근관치료도 이 질환 발생과 관련이 있을 수 있다고 알려져 있다.
⑤ 국소 또는 전신 항진균제 투여가 필요하다.
문 2. 77세 여자 환자가 좌측 비강 내 용종 및 부비동염으로 의뢰되었다. 이 환자의 외부병원 MR 및 CT 소견은 다음과 같다. 환자의 치료와 관련하여 옳은 것은?
① 우선적으로 항생제, 코세척 및 국소 스테로이드제 치료를 시도한다.
② 치료는 내시경을 이용해 균사덩어리를 완전히 제거하는 것이다.
③ 부비동 환기를 회복시켜 점액섬모운동이 회복되어도 재발할 수 있으며, 20% 이상에서 재발한다고 알려져 있다.
④ 진균구를 완전히 제거하기 위해 경하비도 개방술, 견치와 천자 또는 상악동 근치술이 필수적이다.
⑤ 수술 후 국소 또는 전신 항진균제 사용이 필요하다.
Head and Neck
문 1. 구강 작열 증후군에 대한 설명 중 옳은 것은?
① 구강의 통증을 주 호소로 하는 구강의 국소적인 질환이므로 영양 결핍, 호르몬 변화 등과는 상관이 없다.
② 일종의 말초신경병증이기 때문에 pregabalin과 gabapenin, amitriptyline 등 중추 신경계에도 작용하는 약들은 사용할 수 없다.
③ 다른 원인에 의한 이차적 증상을 감별하기 위하여 혈액검사, 측두하악관절 검사, 영상검사 등을 시행해 볼 수 있다.
④ 작열감이 심할 때는 3-5분간 capsaicin을 입안에 물고 혀 점막으로 흡수되도록 하여 급성 작열 증상을 완화해볼 수 있다.
⑤ 대부분 원인이 명확한 속발성으로 선행요인을 찾아내기 위한 검사들이 가장 중요하고, 인지행동치료는 효과가 없다.
문 2. 두경부 편평세포암의 PET-CT 영상검사에 대한 설명으로 옳은 것은?
① 두경부암의 방사선 치료 후 추적 관찰 시 PET-CT의 경우 수술 후 염증, 반응성 림프절 등으로 인한 위양성은 흔치 않아 술 후 초기 6개월 내에 많이 시행한다.
② PET-CT는 구강암의 경우 보철물에 의한 간섭현상 등으로 종양의 크기, 위치 등을 알기 어려울 경우가 많다.
③ PET-CT는 CT/MRI에 비해 비교적 해상도가 뛰어나기 때문에, 두경부암의 초기 병기 설정으로 PET-CT를 처방할 경우 다른 영상 검사를 생략해도 무방하다.
④ 두경부암의 PET-CT 촬영 시 양측 편도 및 양측 신장에 uptake가 관찰되는 경우 전이를 강하게 의심해야 한다.
⑤ PET-CT에서 사용되는 standardized uptake value (SUV) 값은 비교를 통한 종양의 예후나 치료 반응을 도움이 되며, 종양의 괴사가 진행할수록 증가하는 경향을 보인다.
정답 및 해설
Review
문 1. 답 ④
해 설 CAVE-V는 평가자가 환자의 음성을 듣고 평가하는 도구이다.
문 2. 답 ②
해 설 VHI는 총 4점 척도(0-3점)의 리커트 척도를 사용하는 측정 방법으로 기능, 신체, 정서적 측면 등 총 3개의 하부영역에서 30개 문항의 질문이 있으며 120점 만점으로 측정한다. 응답에 걸리는 시간적 부담을 감소하기 위하여 10개의 문항으로 구성된 VHI-10도 임상에서 많이 사용되고 있다. 점수가 높을수록 음성장애로 인한 일상생활의 불편이 큰 것을 의미하며, 후두암, 근긴장성 발성장애, 연축성 발성장애 등 다양한 질환에 이한 음성의 장단기 변화를 측정하는 데 가장 널리 사용되는 방법이다.
문 3. 답 ⑤
해 설 VAPP는 기존의 음성장애지수와 달리 음성장애로 인해 직장에서 겪는 어려움에 관한 문항이 추가되어 있어, 일상 활동에서 발생하는 제한(activity limitation)과 실제로 활동에 참여하는 데서 나타나는 제약(participation restriction)을 분리하여 평가할 수 있다.
문 4. 답 ⑤
해 설 대부분의 자기보고식 평가도는 리커트 척도를 사용하여 총점 측정 방식이나, VQOL과 VAPP는 표준점수 산출 방식이다.
Otology
문 1. 답 ①
해 설 지속적인 약물 치료에도 반응하지 않는 경우에는 다양한 종류의 비약물적 치료를 시도해볼 수 있다. 대표적으로 내림프낭 감압술(endolymphatic sac decompression)은 1927년 Portmann에 의해 처음으로 소개된 이후로 전 세계적으로 흔하게 시행되어 오고 있으나, 이 술식이 어떤 기전으로 전정 기능 회복에 도움이 되는지에 대해서는 명확히 밝혀진 바가 적다. 상승된 내림프낭의 압력을 감소시키는 것이 주된 기전으로 보고되며, 이를 통해 내림프 수종 및 내이의 손상을 예방하게 된다. 내림프낭 감압술은 어지럼은 조절하며 내이 기능은 유지하여 말초 전정 기능과 청력을 보존할 수 있다는 장점이 있다. 그러나 수술 자체가 침습적인 치료라는 한계가 있고, 약 2% 정도에서 수술 부위 감염이나 염증으로 인한 청력 소실이 발생한다고 보고된다. 현재까지 이 수술적 치료의 효과에 대해서는 다양한 의견이 있는 상황이다. 이와 반대로 말초 전정 기능을 제거하는 치료 방법으로 미로절제술(labyrinthectomy)이 있다. 미로절제술은 청력이 나쁜 경우(>80 dB, <20%) 적응증이 될 수 있지만, 양측성 메니에르병의 경우에는 시행하기 어려우므로 일측성 메니에르병에 주로 시행된다.
참고 문헌: 대한이비인후과학회. 이비인후과학:이과. 개정2판. 파주: 군자출판사;2018. p.819-31.
문 2. 답 ⑤
해 설 내시경을 이용하여 중이 수술을 하게 되면 수술 현미경을 이용하여 수술을 시행할 때보다 훨씬 넓은 시야를 확보할 수 있어 잘 보이지 않는 중이 내부의 확인이나 병변의 제거에 도움을 받을 수 있다. 단점으로는 한 손을 사용하여 수술을 진행하여야 되므로 수술 술기를 익히는데까지 시간이 상당히 소요되며, 유양동 내에 병변이 있으면 내시경만을 가지고 수술을 시행하기 어렵다. 또한 내시경에서 발생하는 열로 인한 내이 손상의 가능성이 있다.
참고 문헌: 대한이비인후과학회. 이비인후과학:이과. 개정2판. 파주: 군자출판사;2018. p.468-71.
Rhinology
문 1. 답 ④
해 설 진균구는 진균성 부비동염 중 발생빈도가 가장 높으나 양호한 경과를 보이는 질환으로 균사가 조직 내 침범없이 비부비강 내에 밀집 축척되어있는 상태이다. 면역기능이 정상인 경우가 대부분이며 항진균제 사용은 필요하지 않다. 상악치아의 근관치료와도 관련이 있는 것으로 알려져 있다.
참고 문헌: 대한이비인후과학회. 이비인후과학:비과. 개정2판. 파주: 군자출판사;2018. p.312-3.
Park GY, Kim HY, Min JY, Dhong HJ, Chung SK. Endodontic treatment: A significant risk factor for the development of maxillary fungal ball. Clin Exp Otorhinolaryngol 2010;3(3):136-40.
문 2. 답 ②
해 설 진균구 증례이며, 수술 후 국소 또는 전신 항진균제 사용이 필요하지 않다. 부비동 환기를 회복시켜 점액섬모운동이 회복되면 재발은 드물어 약 1% 이하에서 재발하는 것으로 보고되어 있다. 상악동의 구석에 존재하여 기구가 미치지 못하는 진균구는 강한 식염수세척으로 대부분 제거가 가능하다. 식염수세척에도 제거가 어려운 경우 경하비도 개방술, 견치와 천자 등의 방법을 병용할 수 있다.
참고 문헌: 대한이비인후과학회. 이비인후과학:비과. 개정2판. 파주: 군자출판사;2018. p.312-3.
Head and Neck
문 1. 답 ③
해 설 구강작열 증후군은 비타민과 아연등 영양결핍, 호르몬 변화, 당뇨, 갑상선기능 저하증과 관련이 있다. 구강 작열감 증후군의 발병 기전은 신경병적 상태에서 기인한 것으로 추정되고 있으며, 증상 발현에 중추신경계와 말초신경계가 관여함을 제시하고 있어 pregabalin과 gabapenin, amitriptyline 등을 사용해 볼 수 있다. 1 mg clonazepam을 하루 세 번 구강 점막으로 흡수되도록 하여 전신 부작용 없이 증상을 완화할 수 있다. 대부분 원인이 명확하지 않은 원발성이며, 병력청취가 가장 중요하고, 증상호전이 없는 경우 인지행동치료를 시행하기도 한다.
참고 문헌: Flint P, Haughey B, Lund V, Robbins K, Thomas JR, Lesperance M, et al. Cummings otolaryngology head and neck surgery. 7th ed. Elsevier;2020. p.196.
문 2. 답 ⑤
해 설 두경부암의 방사선 치료 후 위양성은 초기 6개월에 많이 발생하기 때문에 위양성과 재발, 잔존 종양을 잘 감별하여야 한다. MRI, CT 등이 보철물에 의한 간섭현상이 생길 수 있다. PET-CT는 다른 MRI, CT 등에 비해 해상도가 뛰어나지 않아 다른 영상검사들을 같이 시행하여야 하며, 상호 보완적인 검사로 병기설정에 단독으로 시행하지 않는다. 양측 편도, 후두, 침샘, 방광, 신장등은 PET-CT 시 영상신호가 증가되어 보일 수 있으며, 이를 전이로 오인해서는 안된다. PET-CT에서 사용되는 SUV 값은 종양예후나 치료 반응을 예측하는 데 도움을 줄 수 있다.
참고 문헌: Flint P, Haughey B, Lund V, Robbins K, Thomas JR, Lesperance M, et al. Cummings otolaryngology head and neck surgery. 7th ed. Elsevier;2020. p.97-8.












