![]() |
![]() |
AbstractSudden hearing loss rarely presents as an initial manifestation of a hematologic disorder, although it can result from various factors. A 48-year-old male had sudden hearing loss in both ears. The pure tone audiometry and audiometry brainstem response revealed profound hearing loss in both ears. Further examination indicated an elevated leukocyte count, and a temporal bone magnetic resonance image suggested potential bleeding in the cochlear and labyrinth of both ears. Upon consultation with hematologic oncology, chronic myeloid leukemia was diagnosed. Hearing loss in leukemia patients is attributed to leukemic infiltration, hemorrhage, infection, and hyperviscosity. Following treatment using tyrosine kinase inhibitor for chronic myeloid leukemia, the leukocyte count was normalized. However, on the 90th day of treatment, both profound hearing loss persisted. We suspect that the cause of sudden hearing loss may be related to hemorrhage in both cochlear and labyrinth. Accurate diagnosis and treatment are essential for preventing complications.
서 론돌발성 난청은 3개 이상의 연속된 주파수에서 30 dB 이상의 청력감소가 72시간 이내에 발생한 경우로 정의된다. 원인은 감염성, 외상성, 자가면역 질환, 종양 등 다양하며 대다수의 환자에게서 뚜렷한 원인은 확인되지 않는다. 여러 문헌 고찰에서 발병 시 나이, 청력감소의 정도, 청력이 감소된 주파수 영역, 동반된 이과적 증상, 발병 후 치료 시작까지의 시간 등이 예후인자로 작용한다고 알려져있다[1].
만성 골수성 백혈병은 9번, 22번 상염색체의 전위(translocation)를 특징으로 하는 혈액학적 질환으로 약 50%의 환자가 진단 시 증상이 없으며 혈액검사상 우연히 확인된다. 일반적인 증상은 빈혈, 비장비대 등이며 청력감소가 혈액학적 질환에서 초기 증상으로 나타나는 경우는 매우 드물다[2]. 백혈병 환자에게서 청력감소가 발생하는 병인은 복잡하다. 국내에서 이과적 증상을 주소로 내원하여 백혈병으로 진단되어 학회에 보고되고 청력이 회복된 경우는 드물었다[3].
저자들은 갑작스러운 양측 청력감소를 주소로 내원하여 전신 스테로이드 및 고막 내 스테로이드 주사 치료에도 청력 악화를 보였으며 시행한 검사상 만성 골수성 백혈병이 진단된 환자를 경험하였기에 문헌고찰과 함께 이를 보고하고자 한다.
증 례48세 남자가 1주일 전부터 시작된 양측 청력저하로 내원하였다. 회전성 어지러움이 동반되었으며 과거력 및 가족력에서 특이사항은 없었다. 신체진찰상 양측 외이도 및 고막 모두 정상 소견이었으며(Fig. 1), 그 외 이비인후과적 검사에서 특이사항은 없었다. 순음청력역치를 6분법[(500 Hz+1000 Hz×2+2000 Hz×2+4000 Hz)/6]으로 계산했을 때 우측 기도 청력 120 dB, 골도 청력 66 dB, 좌측 기도 청력 51 dB, 골도 청력 34 dB로 우측 고심도 난청(profound hearing loss), 좌측 중등도 난청(moderate hearing loss)이 확인되었다. 양측 돌발성 난청 의증하에 7일 동안 매일 정맥 내 dexamethasone 10 mg 및 양측 고막 내 스테로이드 주입술(우측 6회, 좌측 5회)을 시행하면서 지속적으로 청력검사를 시행했으며 입원 2일째 청성뇌간 유발반응 검사(auditory brainstem response exam)에서 양측 전농을 확인했다(Fig. 2).
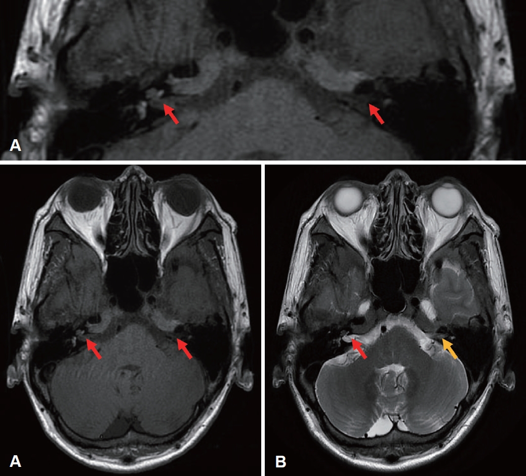
입원 후 시행한 혈액검사상 수두대상포진 바이러스 항체는 음성이었으며 C반응 단백질은 1.09 mg/dL로 약간 증가되어 있었고, 백혈구 699200/mm3, 적혈구 2280/mm3, 혈색소 9.6 g/dL, 헤마토크리트 23.9%, 혈소판 78000/mm3로 백혈구 수치가 현저히 상승했으며 적혈구, 혈색소, 헤마토크리트는 감소해 있었다. 측두골 단층촬영에서는 이상소견이 확인되지 않았으나 T1 강조 자기공명영상 촬영에서 양측 와우, 미로 내에서 고강도 신호, T2 강조 자기공명영상 촬영에서 좌측 와우, 미로 내 저강도 신호가 확인되어 inner ear hemorrhage 를 시사하는 소견이었다(Fig. 3).
백혈구 감별계산에서 분절호중구(segmented neutrophils) 95.3%, 림프구(lymphocytes) 1.7%, 단핵구(monocytes) 1.4%, 호산구(eosinophils) 1.0%, 호염구(basophils) 11.9%로 분절 호중구, 호염구가 증가했고 림프구, 단핵구, 호산구는 감소했다. 말초 혈액 도말검사에서 띠중성구(band neutrophils) 8%, 골수구(myelocytes) 45%, 전골수구(premyelocytes) 4%, 미성숙 세포(immature cell) 1%로 증가되었으며 혈액 응고검사에서는 activated partial thromboplastin time (aPTT) 36.8초, prothrombin time (PT) 16.1초로 연장되었고 lactate dehydrogenase (LDH)는 192 U/L로 정상 수치였다. 상기 결과로 백혈병 의심하에 혈액종양내과로 의뢰되었고 골수검사에서 cellularity 90% 및 유전자 검사에서 필라델피아(Philadelphia) 염색체가 확인되어 만성 골수성 백혈병으로 진단되었다.
혈액종양내과 협진하에 hydroxycarbamide (3000 mg/day), allopurinol (100-300 mg/day)을 18일, desatinib (100 mg/day)을 복용하였으며, 치료 후 20일째 백혈구 수치는 699200/mm3에서 5470/mm3로 감소했고, 발병 3개월 후에도 순음청력검사에서 우측 기도청력 120 dB, 골도청력 72 dB, 좌측 기도청력 120 dB, 골도청력 72 dB로 지속적인 전농 소견을 확인했다(Fig. 1).
고 찰돌발성 난청에서 스테로이드 치료에도 청력의 호전이 보이지 않는 경우 다른 원인을 의심, 감별해 볼 필요성이 있음을 의미하고 적극적인 검사를 통해 가능한 원인을 선별해야 한다. 혈액검사를 통해 자가면역질환을 감별하고 전산화단층 촬영, 자기공명영상 촬영을 통해 혈관장애, 내림프장애, 외상성, 선천성기형, 종양성질환에 대한 평가를 할 수 있다[4]. 면밀한 병력 청취를 통해 이독성 약제 사용 병력 또한 놓치지 말아야하며 백혈병 역시 감별해야 할 질환 중 하나이다. 백혈병 환자의 경우 16%-40%에서 이과적 증상을 확인할 수 있고[5] 급성 골수성 백혈병(acute myeloid leukemia), 급성 림프구성 백혈병(acute lymphocytic leukemia)에서 흔히 유발하는 것으로 알려져 있으나, 만성 백혈병에서도 이과적 증상을 유발할 수 있다고 알려져 있다[3,6-10]. 청력감소를 보이는 백혈병 환자에게서 측두골 조직병리학적 소견은 와우 내 종양세포의 침윤, 출혈, 감염, 고점도 증후군 등으로 설명된다[3,9]. 본 환자에게서 초기 혈액검사상 백혈구 수치가 699200/mm3로 확인되었으며 뇌 자기공명영상 촬영에서 양측 와우, 미로 내 출혈 소견이 관찰되었다. 국내에서 돌발성 난청으로 내원하여 백혈병을 진단받은 경우는 매우 드물다. 국외 증례 및 본 논문의 증례 1건을 추가하여 청력감소를 주호소로 내원하여 만성 골수성 백혈병으로 진단된 총 10예의 문헌고찰을 했고 10명 중 남성이 7명, 여성이 3명이며 진단시 연령은 평균 41.5세이다. 모든 환자들에게서 백혈구 증가증(hyperleukocytosis)이 나타났으며 한 케이스에서만 치료 후 청력 호전을 확인했다(Table 1) [3,10-12].
만성 골수성 백혈병 환자의 기존 치료는 환자의 상태에 따라 적절한 타이로신 키나아제 억제제(tyrosine kinase inhibitor)를 사용하는 것이다. 약제 사용에 따른 합병증을 예방하기 위해 allopurinol을 사용하여 종양 융해 증후군을 예방할 수 있으며 타이로신 키나아제 억제제 사용에도 관해에 이르지 못하는 경우 동종 조혈모세포이식을 고려한다[13].
반면 돌발성 난청의 표준적인 치료는 전신 스테로이드 치료와 고막 내 스테로이드 주사로 전신 스테로이드 치료는 내이의 염증과 부종을 감소시켜 돌발성 난청을 개선시키는 것으로 알려져 있으며[1] 약 78%에서 청력 개선 효과를 보이고 고막 내 스테로이드 주사는 전신 스테로이드에 비해 바깥림프(perilymph)에 더 높은 스테로이드 농도를 유지시켜 국소적인 염증 및 부종 조절에 도움이 된다[1]. 본 증례 환자의 경우 돌발성 난청의 표준적 치료와 동일하게 하루 dexamethasone 10 mg의 전신 스테로이드 치료 및 고막 내 스테로이드 주입술(우측 6회, 좌측 5회)을 시행하였다.
만성 골수성 백혈병 환자에서 백혈구 치환술을 통해 백혈구 수치가 485100/mm3에서 294200/mm3로 감소하며 청력의 개선을 확인한 다른 문헌을 참고했을 때[3] 본 증례의 환자 또한 고점도 증후군, 내이의 출혈로 인한 미세혈관의 폐색을 청력감소를 유발하는 기전 중 하나로 고려할 수 있었다[3,14]. 백혈병 환자에게서 출혈은 혈소판의 이상, 응고인자의 이상, 혈관벽의 비정상적인 기능 등으로 발생할 수 있으며 만성 골수성 백혈병 환자의 약 30%에서는 혈소판 수치가 정상이더라도 혈소판의 기능 결함으로 인해 중대한 출혈이 발생할 수 있다[15].
본 환자의 경우 뇌 자기공명영상 결과 양측 모두 와우, 미로 내 출혈 소견을 확인했고, 백혈구 치환술을 시행받지 않았음에도 타이로신 키나아제 억제제 투여 후 백혈구 수치의 감소를 확인했다. 그러나 청력은 발병 90일째 전농 지속 소견을 확인하여 인공와우 이식수술 예정이다. 만성 골수성 백혈병과 같은 혈액암 환자들에게서 청력저하가 지속 또는 악화되는 경우 인공와우 이식수술을 고려할 수 있다. 수술 진행 시기에 대한 명확한 가이드라인은 제시된 바 없지만 환자의 컨디션, 항암치료에 따른 부작용, 면역저하 상태에 의한 감염 위험성 등을 고려하여 결정한다[16]. 와우, 미로 내 출혈 또는 감염이 와우 골화(cochlear ossification)의 위험인자이기 때문에 수술 전 충분한 평가가 필요하다[16,17].
결론적으로, 저자들은 돌발성 난청을 주소로 내원한 환자에서 혈액 검사를 통해 백혈병으로 진단한 증례를 경험하였다. 환자의 측두골 자기공명영상 소견에서는 기존 문헌에서 돌발적인 난청을 동반한 백혈병 환자 측두골 조직병리소견인 와우 내 종양세포의 침윤, 출혈, 감염, 고점도 증후군과 부합되는 양측 와우, 미로 내 출혈 의심 소견을 확인할 수 있었다. 본 증례는 혈액학적 검사와 골수 검사를 통한 즉각적인 진단 및 치료를 통해 만성백혈병의 혈액학적 안정화를 체험한 증례로, 돌발적인 난청을 초기 증상으로 백혈병이 진단되는 경우는 매우 드물지만, 백혈병의 치명률 및 합병증을 고려시 즉각적인 진단과 치료는 전반적인 예후에 중요할 수 있다. 또한, 본 증례를 통해 돌발성 난청의 진단시 생략하기 쉬운 혈액검사 및 측두골 자기공명영상의 확인은 동반 질환에 의한 난청을 감별하는 데에 도움이 될 수 있음을 알 수 있다.
NotesAuthor contributions Conceptualization: Da Jung Jung. Data curation: Jigon Son, Da Hyun Chung. Funding acquisition: Da Jung Jung. Investigation: Da Hyun Chung. Methodology: Jigon Son, JI HYUN SONG. Project administration: Da Jung Jung. Resources: JI HYUN SONG. Supervision: Da Jung Jung. Validation: Da Hyun Chung. Visualization: Jigon Son. Writing—original draft: Jigon Son. Writing—review & editing: Da Jung Jung. Fig. 2.A case of 48-year-old male who visited our clinic with bilateral hearing loss. A: The air conduction threshold defined as the weighted four-frequency pure tone average was 120 dB in the right ear and 51 dB in the left ear on admission. B: There was no analyzable wave response in auditory brainstem response exam on second day of hospitalization. Fig. 3.MR images. A: Axial image of T1-weighted MR using contrast shows high signal intensity of both cochlear and semicircular canals (red arrow). B: Axial image of T2-weighted MR using contrast shows decreased signal intensity of left cochlear or labyrinth (yellow arrow). Table 1.Clinicopathological characteristics of CML patients presenting hearing impairment
REFERENCES1. Kuhn M, Heman-Ackah SE, Shaikh JA, Roehm PC. Sudden sensorineural hearing loss: a review of diagnosis, treatment, and prognosis. Trends Amplif 2011;15(3):91-105.
2. Jabbour E, Kantarjian H. Chronic myeloid leukemia: 2022 update on diagnosis, therapy, and monitoring. Am J Hematol 2022;97(9):1236-56.
3. Chae SW, Cho JH, Lee JH, Hwang SJ. [Sudden hearing loss in chronic myelogenous leukemia implicating hyperviscosity syndrome]. Korean J Otorhinolaryngol-Head Neck Surg 2001;44(9):990-2, Korean.
4. Schreiber BE, Agr up C, Haskard DO, Luxon LM. Sudden sensorineural hearing loss. Lancet 2010;375(9721):1203-11.
6. Terao K, Cureoglu S, Schachern PA, Paparella MM, Morita N, Nomiya S, et al. Pathologic correlations of otologic symptoms in acute lymphocytic leukemia. Am J Otolaryngol 2011;32(1):13-8.
7. Williams CK, Ogan O. Chronic myeloid leukemia associated with impairment of hearing. Br Med J (Clin Res Ed) 1985;290(6483):1705.
8. Paparella MM, Berlinger NT, Oda M, el-Fiky F. Otological manifestations of leukemia. Laryngoscope 1973;83(9):1510-26.
9. Cass ND, Gubbels SP, Portnuff CDF. Sudden bilateral hearing loss, tinnitus, and vertigo as presenting symptoms of chronic myeloid leukemia. Ann Otol Rhinol Laryngol 2018;127(10):731-4.
10. Diao M, Tian F, Sun J. Sudden sensorineural hearing loss as the first manifestation of chronic myeloid leukaemia: case report. J Laryngol Otol 2014;128(11):1015-7.
11. Acar GO, Acioğlu E, Enver O, Ar C, Sahin S. Unilateral sudden hearing loss as the first sign of chronic myeloid leukemia. Eur Arch Otorhinolaryngol 2007;264(12):1513-6.
12. Tandon S, Yadav S, Gupta R, Nityanand S. Sudden onset hearing and visual loss: an unusual presenting manifestation of chronic phase chronic myeloid leukaemia. J Clin Images Med Case Rep 2021;2(3):1133.
13. Hochhaus A, Saussele S, Rosti G, Mahon FX, Janssen JJWM, Hjorth-Hansen H, et al. Chronic myeloid leukaemia: ESMO clinical practice guidelines for diagnosis, treatment and follow-up. Ann Oncol 2017;28(suppl 4):iv41-51.
14. Vakkalanka S, Ey E, Goldenberg RA. Inner ear hemorrhage and sudden sensorineural hearing loss. Am J Otol 2000;21(5):764-5.
15. Bick RL, Strauss JF, Frenkel EP. Thrombosis and hemorrhage in oncology patients. Hematol Oncol Clin North Am 1996;10(4):875-908.
|
|
|||||||||||||||||||||||||||||||||||||||||||||||||||||||||||||||||||||||||||||||||||||||||||||||||||||||||||||||||||||||||||||||||||||||||||||||||||||||||||||||||||||||||||||||||||||||||

![]() |
![]() |